




















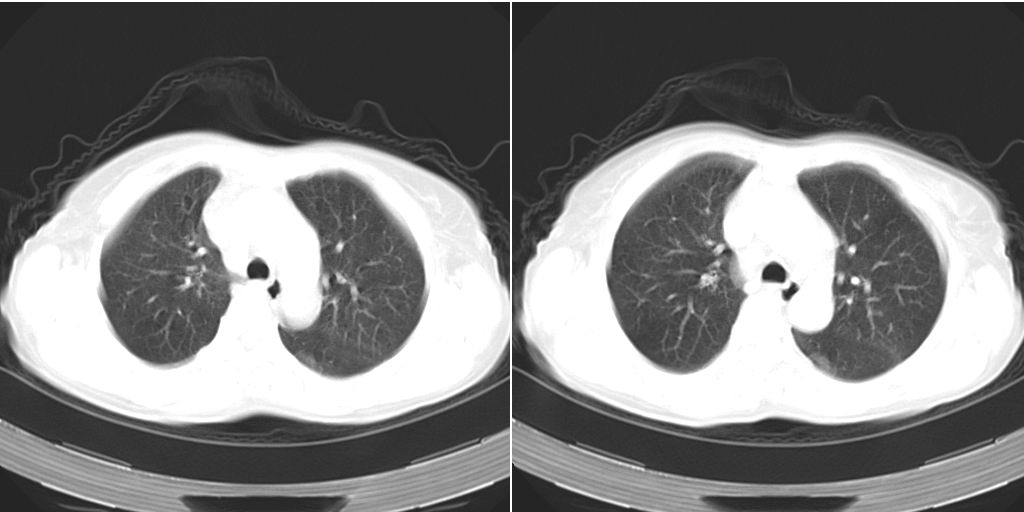
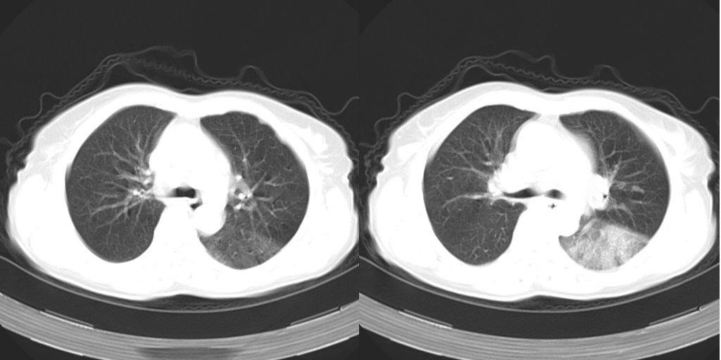
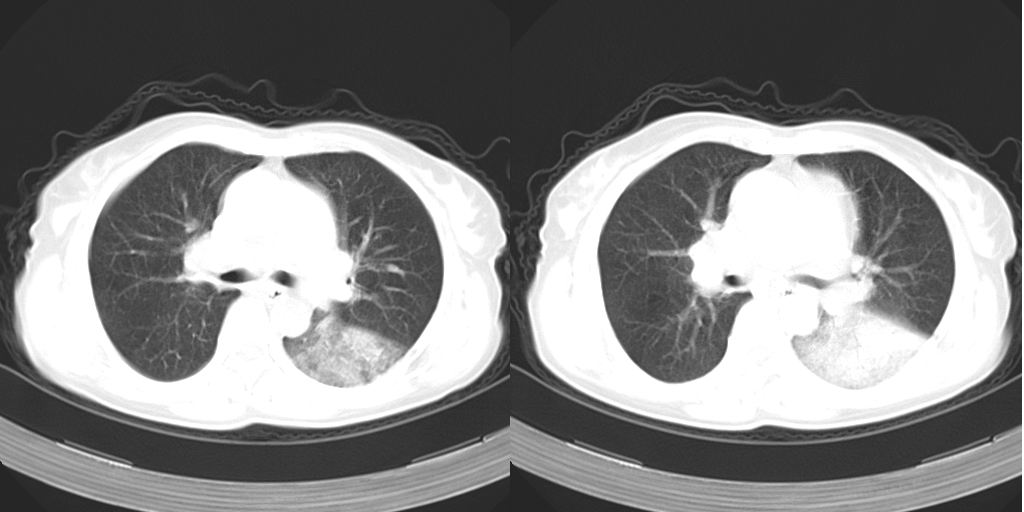
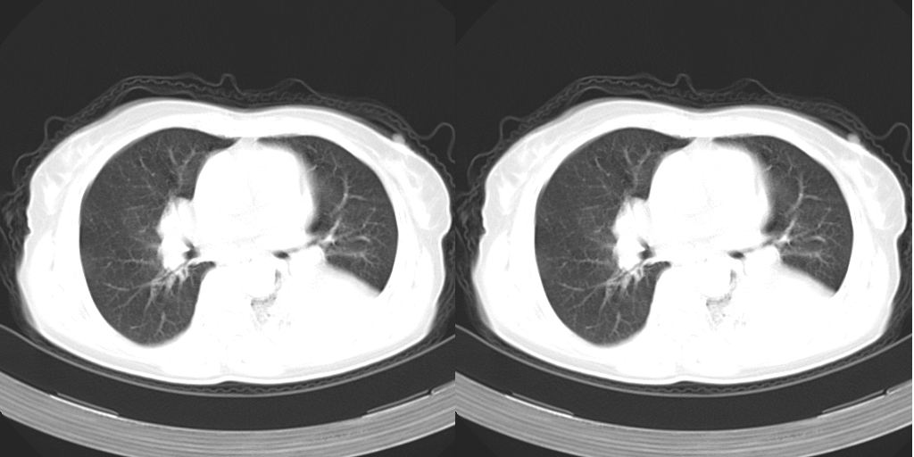
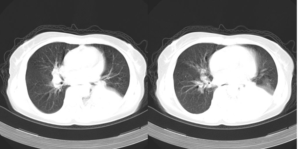
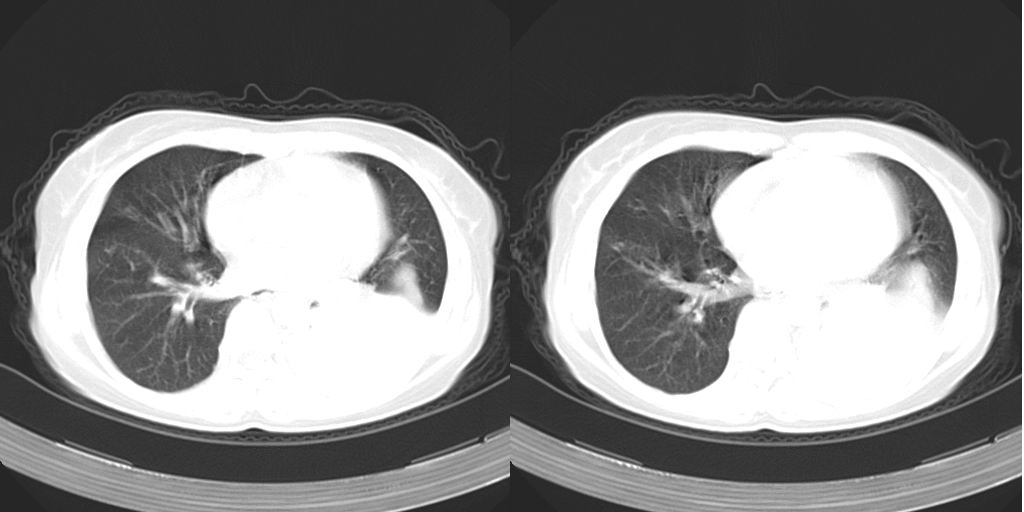
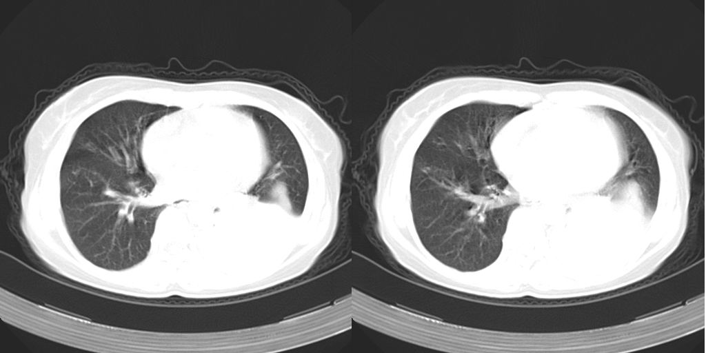
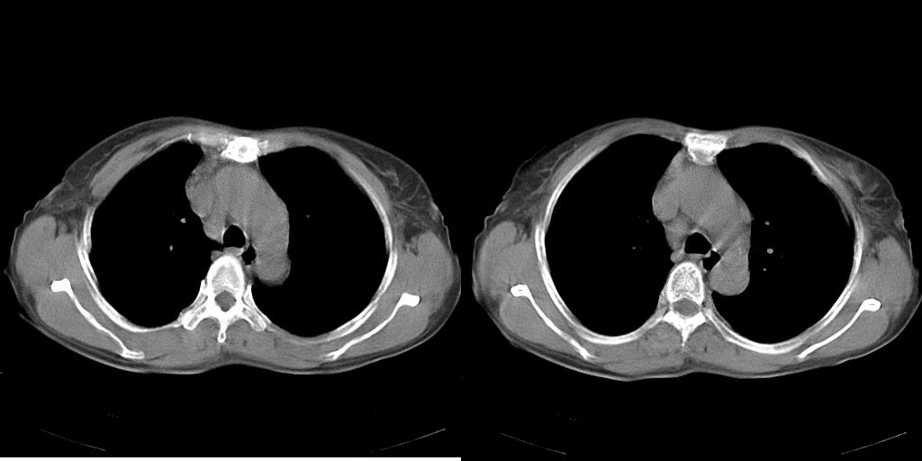
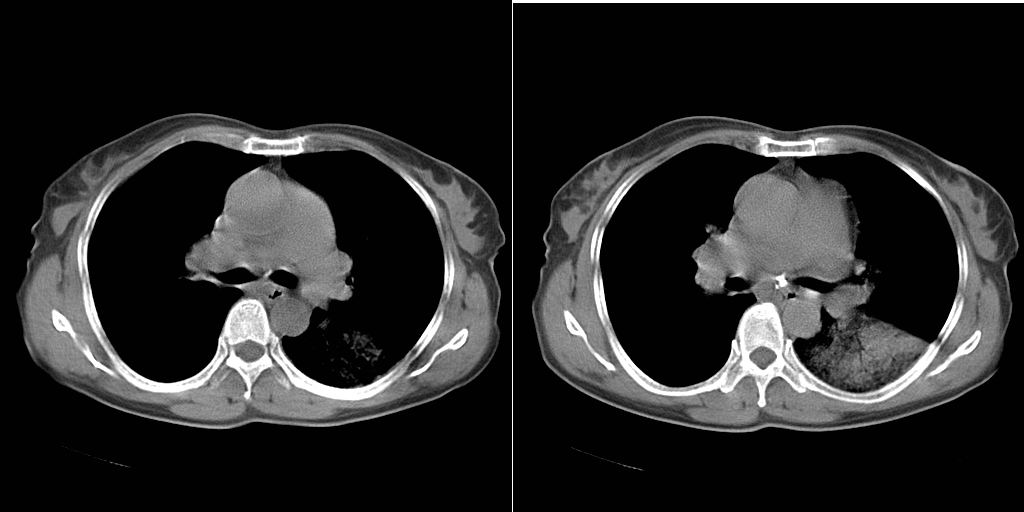
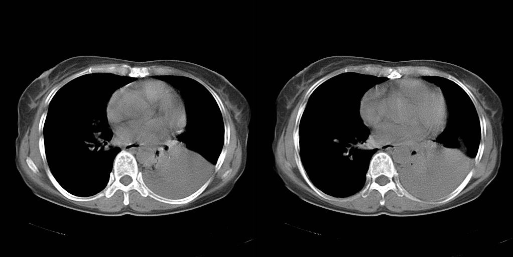
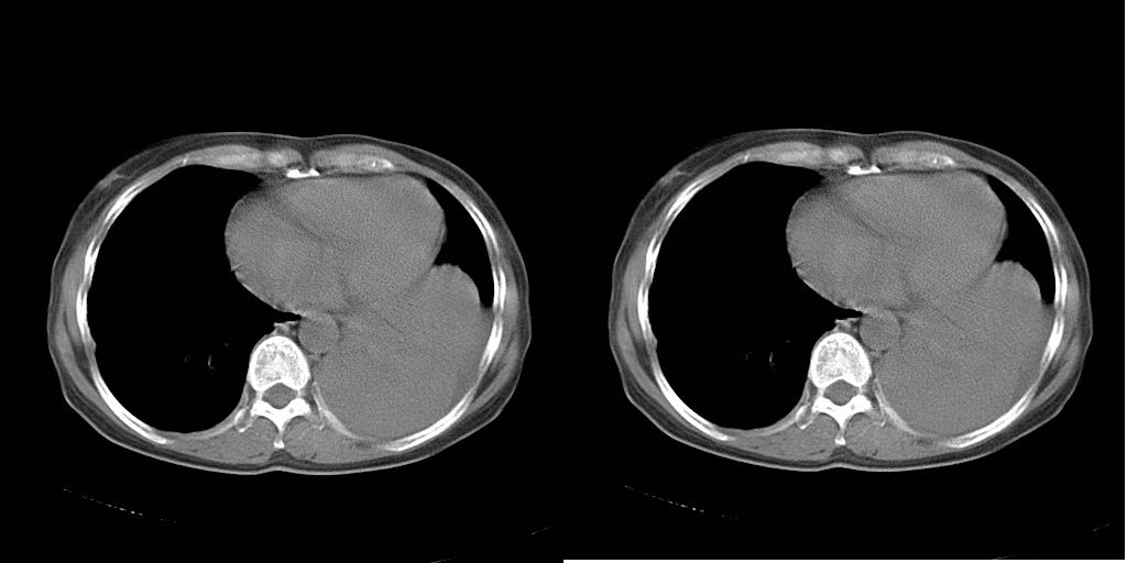
以下是引用dyqct在2007-1-23 15:01:00的发言:[br]左肺下叶实变、略萎陷,近肺门下部密度不均。上腔静脉后及隆突前见肿大淋巴结。余未见异常。[br]考虑:1、左肺下叶中心型肺癌伴肺不张、纵隔淋巴结转移;[br] 2、建议增强扫描并做任意平面重建确定肿块范围及支气管受累情况。
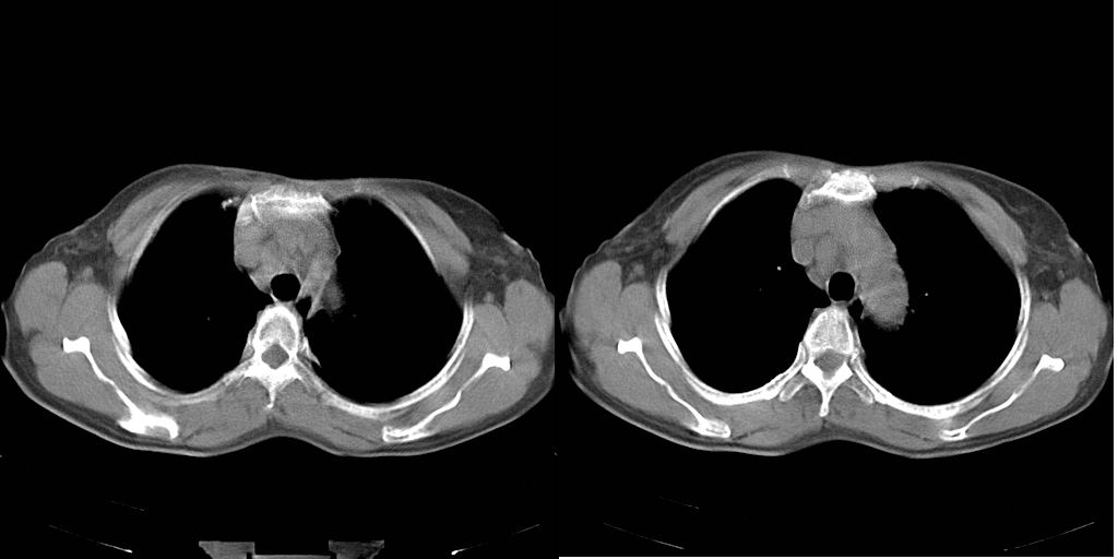
以下是引用dyqct在2007-1-23 15:01:00的发言:[br]左肺下叶实变、略萎陷,近肺门下部密度不均。上腔静脉后及隆突前淋巴结太多了,左下叶气管边窄、截断。余未见异常。[br]考虑:1、左肺下叶中心型肺癌伴肺不张、纵隔淋巴结转移;[br] 2、建议增强扫描并做任意平面重建确定肿块范围及支气管受累情况。
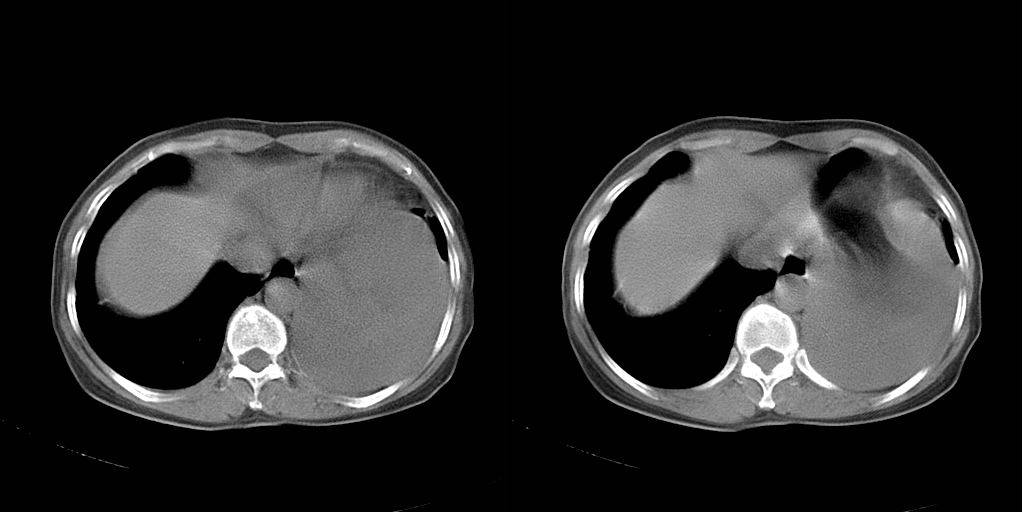
以下是引用yqcdt在2007-1-23 15:01:00的发言:[br]左肺下叶实变、略萎陷,近肺门下部密度不均。上腔静脉后及隆突前见肿大淋巴结。余未见异常。[br]考虑:1、左肺下叶中心型肺癌伴肺不张、纵隔淋巴结转移;[br] 2、建议增强扫描并做任意平面重建确定肿块范围及支气管受累情况。
以下是引用hhcckk在2007-1-23 15:32:00的发言:[br][br]
以下是引用同在2007-1-23 19:59:00的发言:[br]左肺下叶中央型肺癌伴肺不张及纵隔淋巴结转移.
以下是引用dyqct在2007-1-23 15:01:00的发言:[br]左肺下叶实变、略萎陷,近肺门下部密度不均。上腔静脉后及隆突前见肿大淋巴结。余未见异常。[br]考虑:1、左肺下叶中心型肺癌伴肺不张、纵隔淋巴结转移;[br] 2、建议增强扫描并做任意平面重建确定肿块范围及支气管受累情况。

以下是引用同在2007-1-23 19:59:00的发言:[br]左肺下叶中央型肺癌伴肺不张及纵隔淋巴结转移.
| 欢迎光临 医影在线 (http://bbs.radida.com/bbs/) | Powered by Discuz! X3.2 |