













以下是引用守望可可西里在2007-1-24 17:54:00的发言:[br][br]
以下是引用守望可可西里在2007-1-24 17:54:00的发言:[br][br]
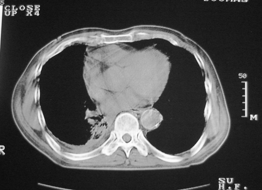
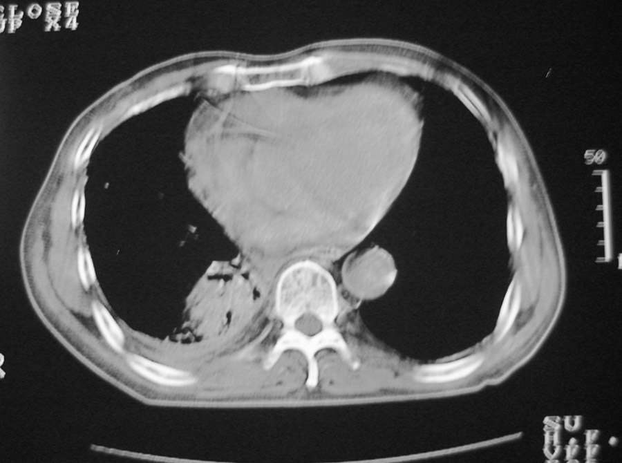
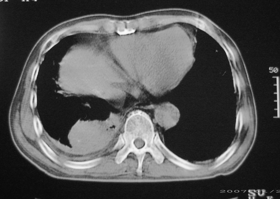
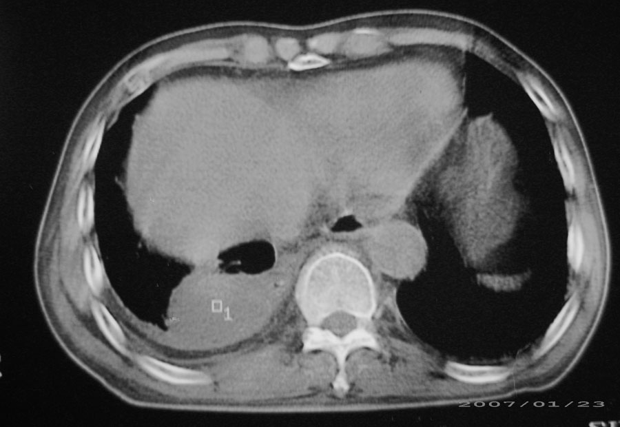
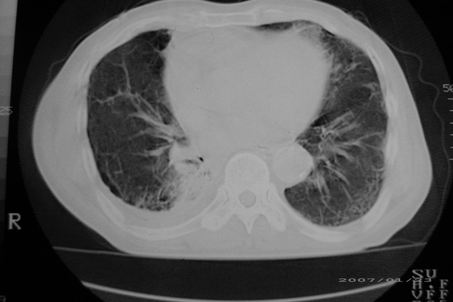
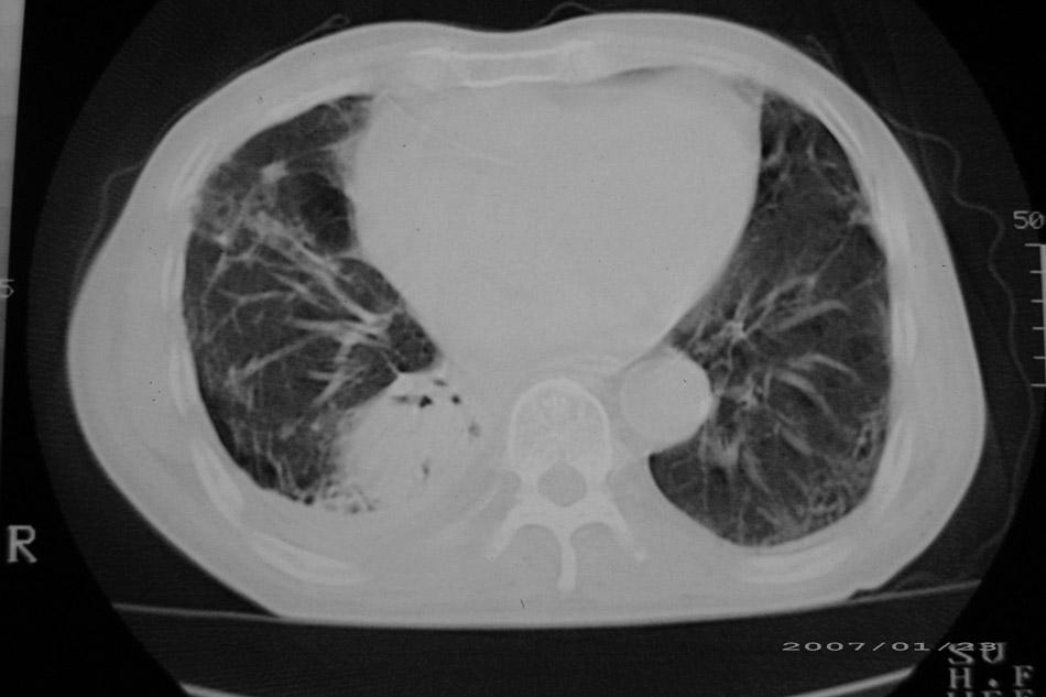
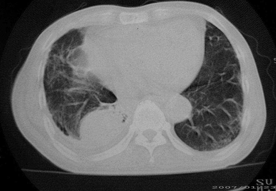
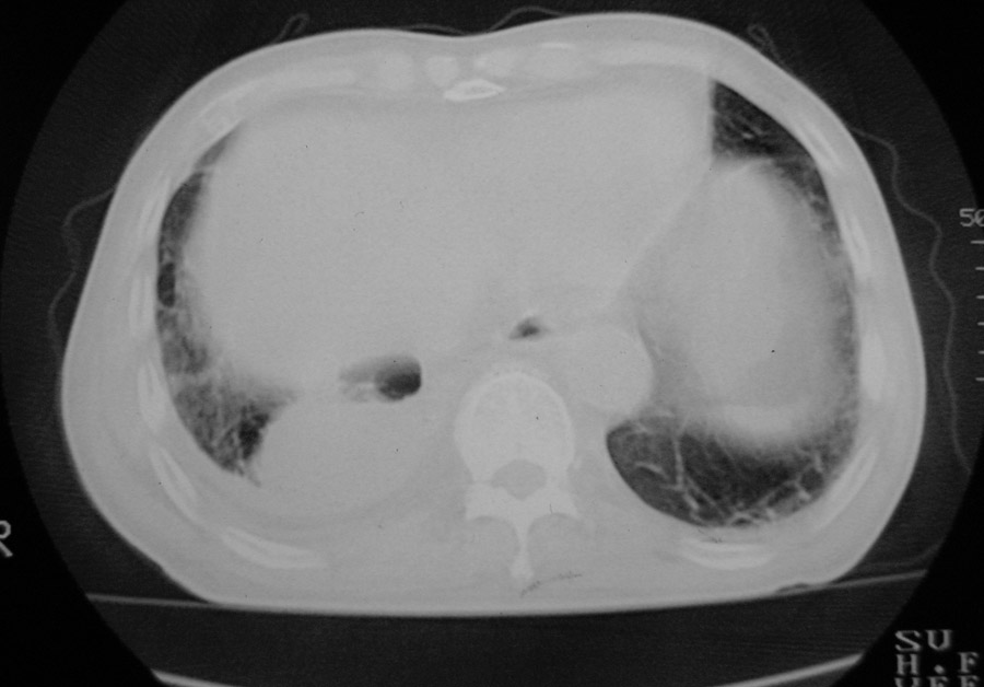
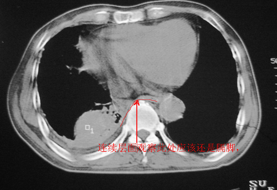
以下是引用hhcckk在2007-1-24 18:11:00的发言:[br]病灶周围胸膜反应比较明显,考虑炎症可能性大点,病人年龄较大,病灶成块状,肿瘤也不能排除,可可西里老师看片子的确很仔细,隔离肺暂时我觉得证据的说服力不大,上下层面显示条状影范围较长,可能是增厚的胸膜,可以做个增强鉴别一下
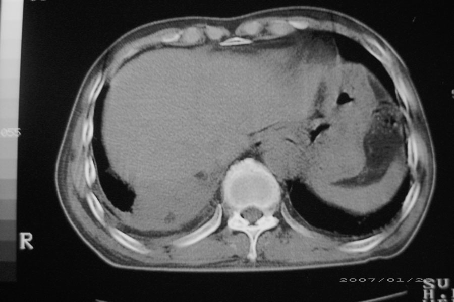
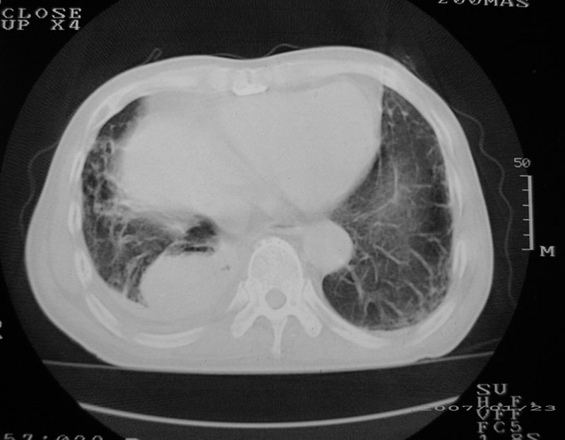
以下是引用天南地北在2007-1-24 18:00:00的发言:[br]1:右下肺内基底段类椭圆性肿快影:考虑1:右下球形肺炎2:右下肺隔离症,建议抗炎治疗后复查。[br]2:右肺及左下肺感染,右侧少量胸腔积液。
| 欢迎光临 医影在线 (http://bbs.radida.com/bbs/) | Powered by Discuz! X3.2 |