




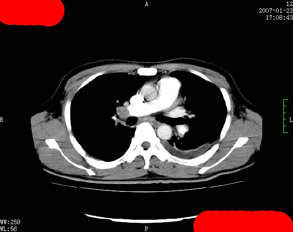
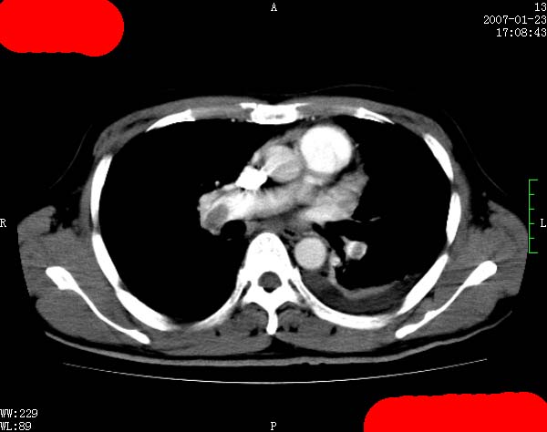
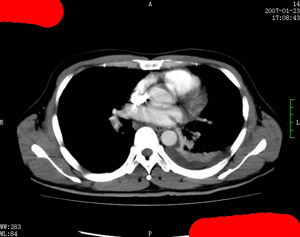
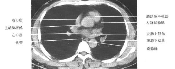
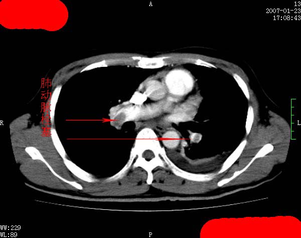
以下是引用jiangjing在2007-1-24 23:35:00的发言:[br]支持 增强扫描见右肺动脉干、左下肺动脉见充盈缺损。印象为:1、右肺动脉干、左下肺动脉栓塞。 2、左侧胸腔积液合并左肺下叶被动性肺不张。
以下是引用卜一在2007-1-25 6:22:00的发言:[br]以下是引用jiangjing在2007-1-24 23:35:00的发言:[br]支持 增强扫描见右肺动脉干、左下肺动脉见充盈缺损。印象为:1、右肺动脉干、左下肺动脉栓塞。 2、左侧胸腔积液合并左肺下叶被动性肺不张。 [br]
以下是引用rjg199343在2007-1-24 23:22:00的发言:[br]增强扫描见右肺动脉干、左下肺动脉见充盈缺损。印象为:1、右肺动脉干、左下肺动脉栓塞。 2、左侧胸腔积液合并左肺下叶被动性肺不张。
以下是引用影象王在2007-1-25 10:16:00的发言:[br]肺栓塞。确实典型!
| 欢迎光临 医影在线 (http://bbs.radida.com/bbs/) | Powered by Discuz! X3.2 |