









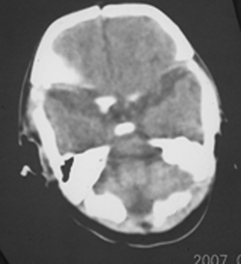
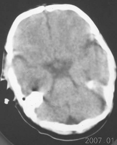
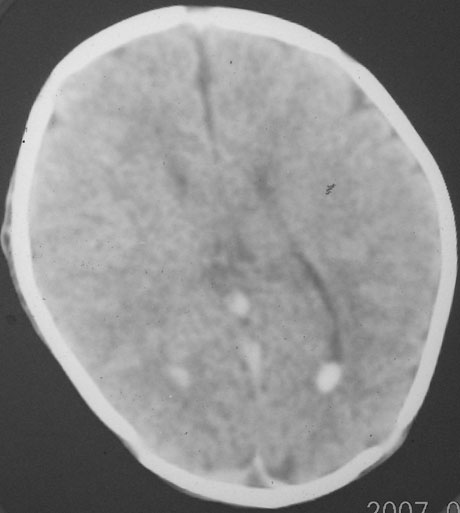
以下是引用jiangjing在2007-1-24 23:31:00的发言:[br]纵裂池、小脑幕、双侧脑室内高密度影,符合脑室、蛛网膜下腔出血
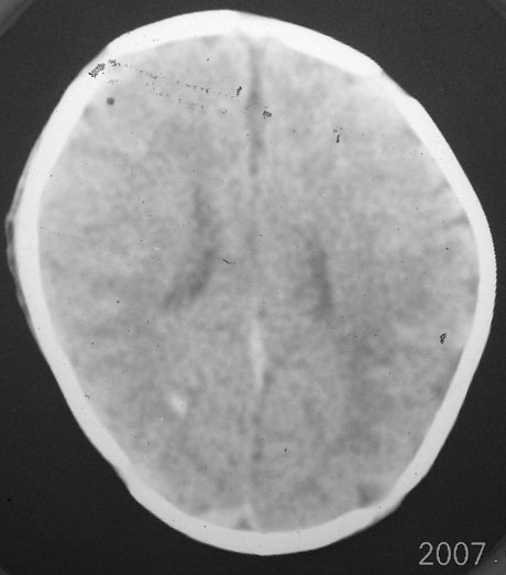
以下是引用jiangjing在2007-1-24 23:31:00的发言:[br]纵裂池、小脑幕、双侧脑室内高密度影,符合脑室、蛛网膜下腔出血
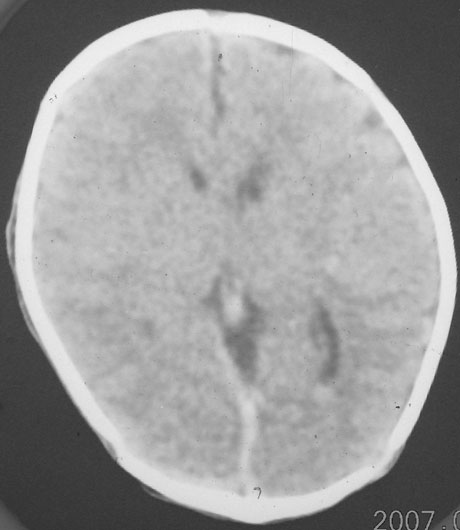
以下是引用rjg199343在2007-1-24 23:08:00的发言:[br]纵裂池、小脑幕、双侧脑室内高密度影,符合脑室、蛛网膜下腔出血。
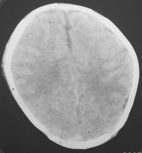
以下是引用jiangjing在2007-1-24 23:31:00的发言:[br]纵裂池、小脑幕、双侧脑室内高密度影,符合脑室、蛛网膜下腔出血

| 欢迎光临 医影在线 (http://bbs.radida.com/bbs/) | Powered by Discuz! X3.2 |