








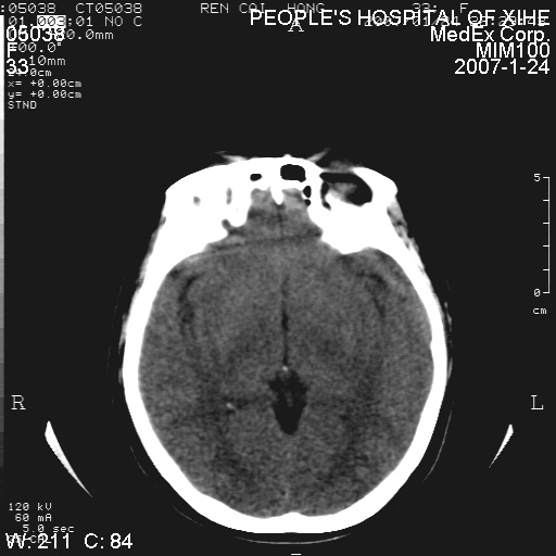
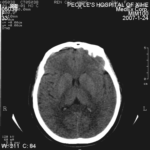
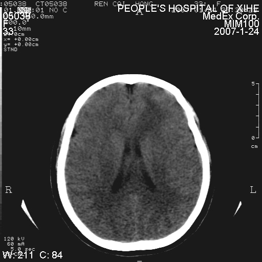
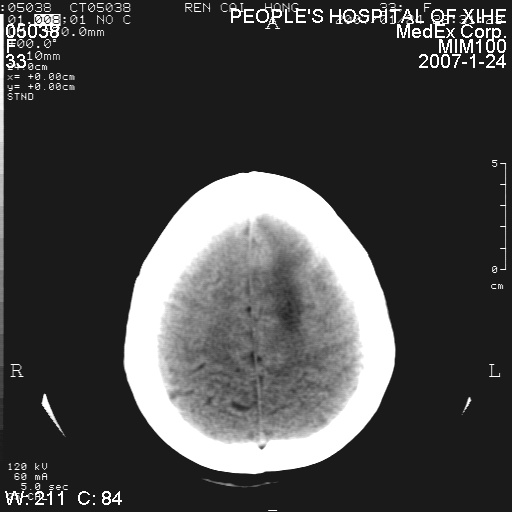
以下是引用卜一在2007-1-25 6:40:00的发言:[br]左侧额叶囊实混杂性病灶,多考虑胶质细胞瘤(ⅱ-ⅲ级),建议增强检查。[br]支持!
以下是引用wwwwtyy在2007-1-25 0:27:00的发言:[br]胶质瘤可能性大,不除外脑白质病变,建议强化
以下是引用xclzq_910在2007-1-25 12:41:00的发言:[br]左额叶条片状低密度灶,考虑占位,建议增强
以下是引用守望可可西里在2007-1-25 0:13:00的发言:[br]左侧额叶囊实混杂性病灶,多考虑胶质细胞瘤(ⅱ-ⅲ级),建议增强检查!
| 欢迎光临 医影在线 (http://bbs.radida.com/bbs/) | Powered by Discuz! X3.2 |