医影在线

标题: CT6216:肺内病变! [打印本页]

作者: lgdvd    时间: 2007-1-25 08:01
标题: CT6216:肺内病变!
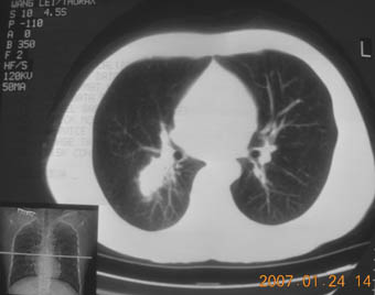
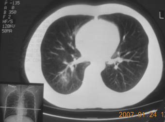
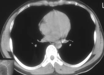
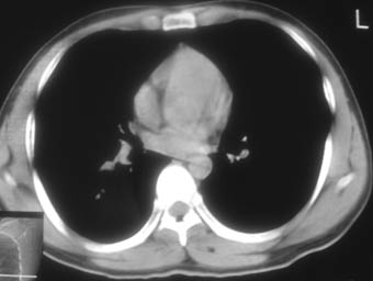
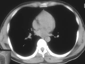
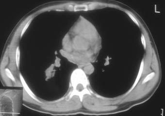
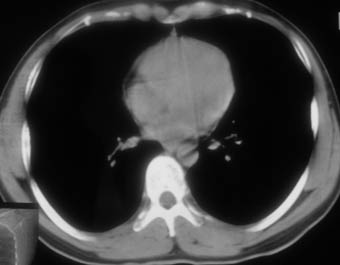
锁骨骨折复查,发现肺内高密度影,行ct检查。
  男性,35岁,无任何感觉,无明显发热感冒病史。












[本贴已被 翁志蓬 于 2007-1-25 0:06:45 修改过]

作者: lgdvd    时间: 2007-1-25 08:05
标题: 回复:肺内病变!
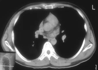
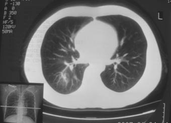
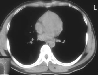
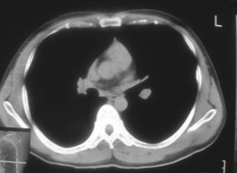
纵隔窗!








作者: wwwwtyy    时间: 2007-1-25 08:09
信息太少,考虑炎性实变,抗炎治疗后复查吧
作者: 卜一    时间: 2007-1-25 14:45
血管畸形?陈旧病灶?
作者: 狙击手    时间: 2007-1-25 17:52
病灶呈条片样变,边缘模糊,首先抗炎,然后复查。
作者: 同    时间: 2007-1-25 18:07
考虑炎症,建议抗炎治疗后复查.
作者: 影象王    时间: 2007-1-25 18:15
考虑慢性炎症,结核待排,建议抗炎治疗后复查。
作者: cjhct5516    时间: 2007-1-25 19:10
标题: 回复:ct6216:肺内病变!
以下是引用影象王在2007-1-25 10:15:00的发言:[br]考虑慢性炎症,结核待排,建议抗炎治疗后复查。

作者: 天南地北    时间: 2007-1-25 20:21
病灶多形态:考虑结核可能性大
作者: wj2039    时间: 2007-1-25 20:40
考虑慢性炎症,结核待排,建议抗炎治疗后复查。
作者: 嫉风笑月    时间: 2007-1-25 21:31
炎性假瘤?
抗炎治疗后复查
作者: xclzq_910    时间: 2007-1-25 21:43
病灶呈条片样变,边缘模糊,首先抗炎,然后复查
作者: liaoqiang    时间: 2007-1-25 22:44
考虑慢性炎症,结核可能性大,治疗后复查。
作者: 青莲居士    时间: 2007-1-25 22:56
虑炎症,建议抗炎治疗后复查.
作者: lpc0ct    时间: 2007-1-25 23:01
病灶呈条片样变,边缘模糊,首先抗炎,然后复查
作者: 拾荒者    时间: 2007-1-26 03:05
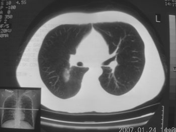
右肺下叶背段斑片状阴影,边缘模糊,纵隔内未见肿大淋巴结,病人无发热及感冒史,要考虑浸润型肺结核,可结合ppd检查,或短期抗炎治疗复查。
作者: 宋振波    时间: 2007-1-26 03:17
炎症可能,不排除tb
作者: 杀手    时间: 2007-1-26 04:02
血管畸形?
作者: 余辉    时间: 2007-1-26 04:06
考虑慢性炎症,错构瘤及血管畸形待排
作者: 宝天曼    时间: 2007-1-26 04:15
考虑慢性炎症,结核待排,建议抗炎治疗后复查。
作者: sdqzwyx    时间: 2007-1-26 04:35
右肺下叶背段长椭圆型病灶,边缘较规则,无明显分叶征、毛刺,远段未见阻塞征象,病灶较松散,纵隔窗明显小于肺窗,年龄35岁,支气管稍示变窄,纵隔内未见明显肿大淋巴结,这些都不支持肿瘤。病人无任何感觉,无明显发热感冒病史,首先考虑结核(也是结核好发部位),慢性炎症不能完全除外。
作者: sunxb1010    时间: 2007-1-26 08:08
右肺中叶不张综合症




欢迎光临 医影在线 (http://bbs.radida.com/bbs/) Powered by Discuz! X3.2