医影在线

标题: CT6217:胸部CT [打印本页]

作者: yytbzjw    时间: 2007-1-25 15:59
标题: CT6217:胸部CT
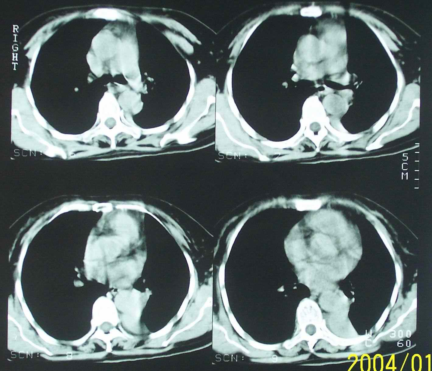
53岁女性,间断性腰部困疼、乏力一年,活动时加重。










[本贴已被 翁志蓬 于 2007-1-25 11:50:18 修改过]

作者: 卜一    时间: 2007-1-25 16:49
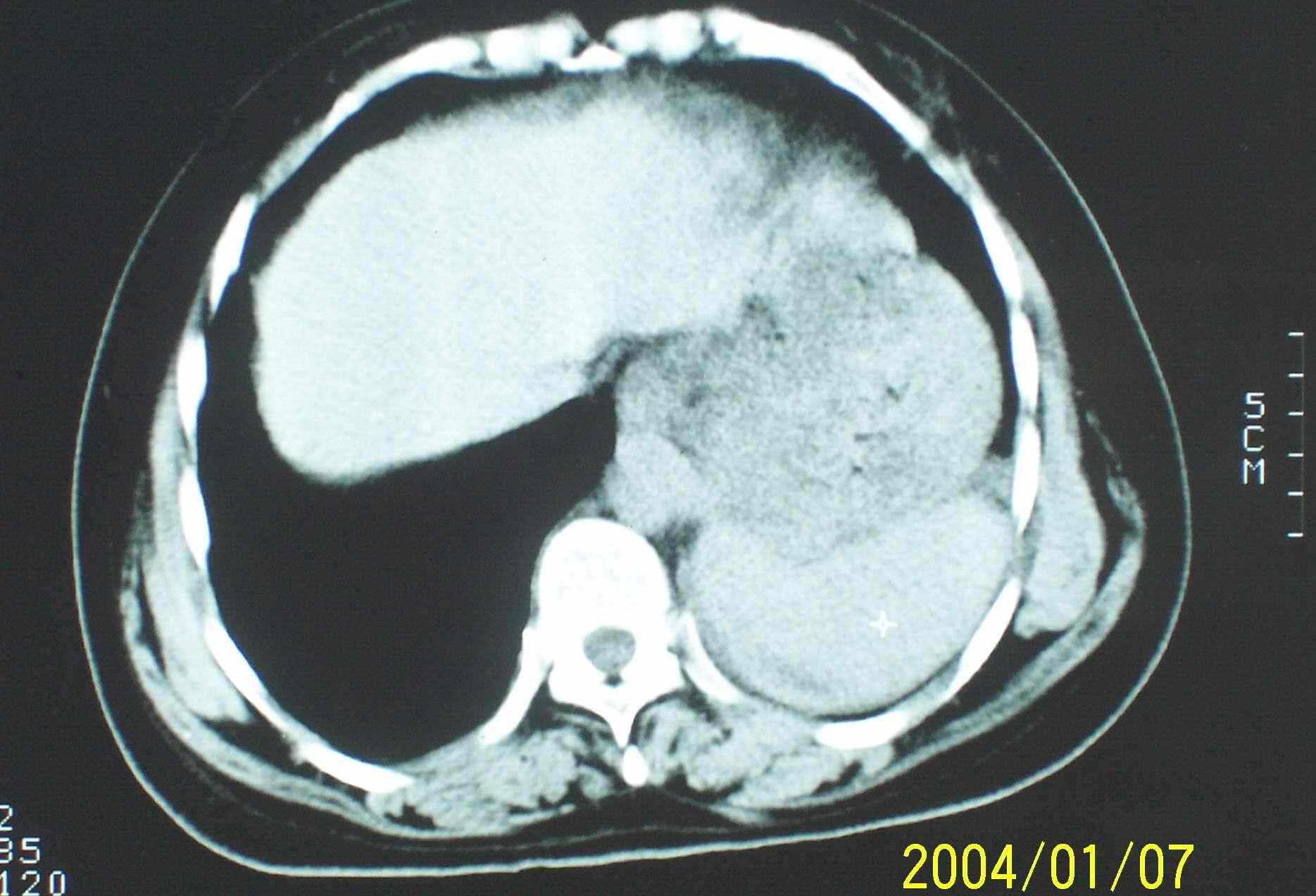
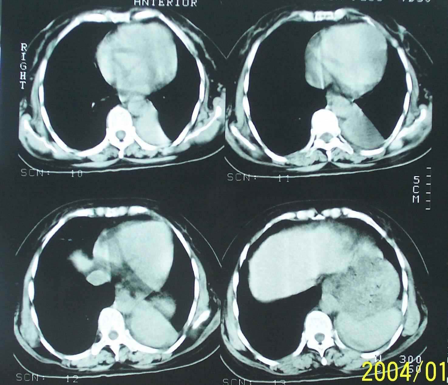
左肺下叶后基底段片状实变影,密度均匀,左肺体积缩小,膈肌上提.考虑:左下肺肺不张.
作者: 狙击手    时间: 2007-1-25 17:44
左肺下叶不张,应慎重一点,最好做个纤支镜
作者: 同    时间: 2007-1-25 18:10
考虑左肺下叶不张.
作者: 影象王    时间: 2007-1-25 18:13
左下肺不张,建议纤支镜检查。
作者: wj2039    时间: 2007-1-25 21:01
左下肺''隔离症\".?
作者: 嫉风笑月    时间: 2007-1-25 21:28
支持卜一老师
作者: liaoqiang    时间: 2007-1-25 22:52
左肺下叶不张。不张的原因支纤镜检查确定。
作者: 守望可可    时间: 2007-1-25 23:41
1.左侧胸腔无明显萎陷,肺体积缩小,含气量减少,纵隔心脏左移。从这个意义来讲,左下肺病灶应该首先考虑肺不张。
  2.左下肺病灶密度太过均匀,边缘过于光整锐利,位置特殊,其次应该考虑隔离肺的可能。
  3.连续观察不能完全否定病灶是疝入胸腔的脾脏(扫描不怎么规范,跨越过大),所以膈疝也需要考虑。

  建议增强并薄扫检查!
作者: swyyy2007    时间: 2007-1-25 23:44
同意9楼老师的意见
作者: 小桥流水    时间: 2007-1-26 00:58
标题: 回复:ct6217:胸部ct
以下是引用swyyy2007在2007-1-25 15:44:00的发言:[br]同意9楼老师的意见

作者: dyqct    时间: 2007-1-26 02:10
标题: 回复:ct6217:胸部ct
以下是引用影象王在2007-1-25 10:13:00的发言:[br]左下肺不张,建议纤支镜检查。

作者: usa911go    时间: 2007-1-26 03:12
支持守望可可西里老师
作者: 拾荒者    时间: 2007-1-26 03:14
支持左肺下叶不张的诊断,原因?病人年龄较大,有腰痛乏力,要做最坏的打算,从经济及实用角度还是做纤支镜为首选。
作者: yuhg    时间: 2007-1-26 03:16
左下肺不张,建议纤支镜检查。
作者: 杀手    时间: 2007-1-26 03:17
左下肺''隔离症\".?
作者: yemin92007    时间: 2007-1-26 03:23
进一步检查吧,很有可能是膈疝造成的。
作者: 老爱克斯    时间: 2007-1-26 03:25
应该是脾脏,因此是膈疝,
作者: 宝天曼    时间: 2007-1-26 04:22
.左侧胸腔无明显萎陷,肺体积缩小,含气量减少,纵隔心脏左移。从这个意义来讲,左下肺病灶应该首先考虑肺不张。
作者: sunxb1010    时间: 2007-1-26 07:31
从连续观察的层面看象是疝入的脾脏
作者: yytbzjw    时间: 2007-1-26 16:37
补充一下病史:三天前因咳嗽咳血检查胸片见左下肺索条状影,后复查ct




欢迎光临 医影在线 (http://bbs.radida.com/bbs/) Powered by Discuz! X3.2