医影在线

标题: CT6220:[求助]上腹,CT平扫+增强扫描 [打印本页]

作者: lpc0ct    时间: 2007-1-25 17:54
标题: CT6220:[求助]上腹,CT平扫+增强扫描
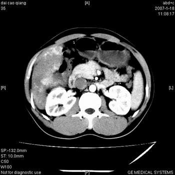
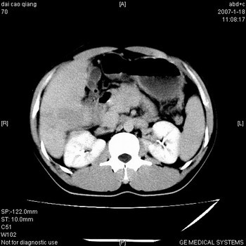
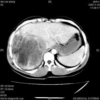
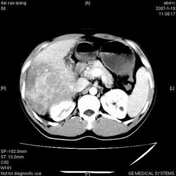
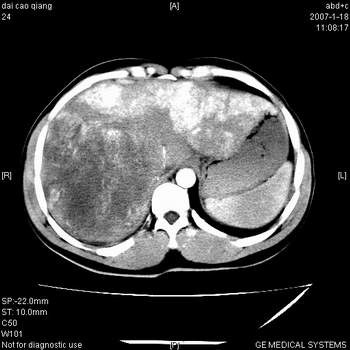
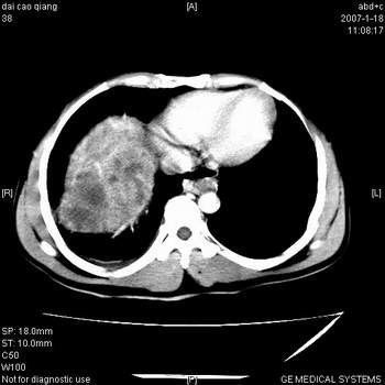
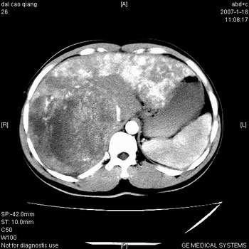
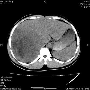
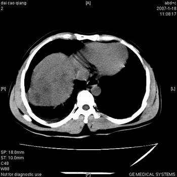
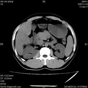
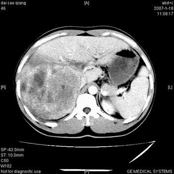
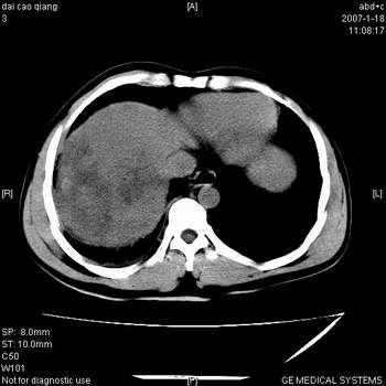
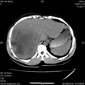
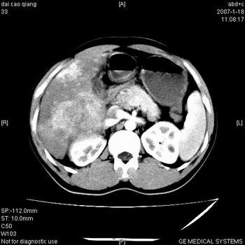
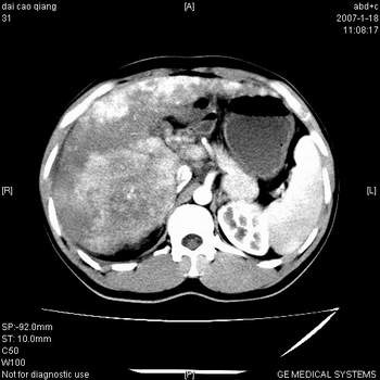
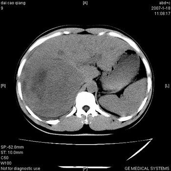
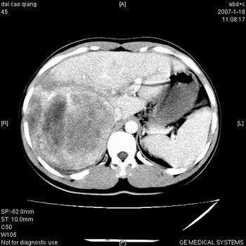
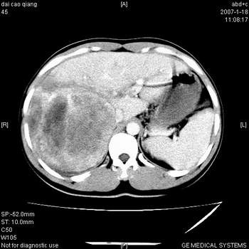
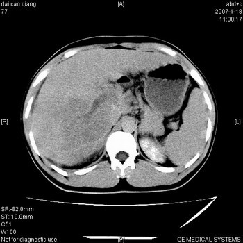
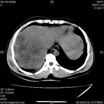
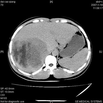
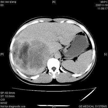
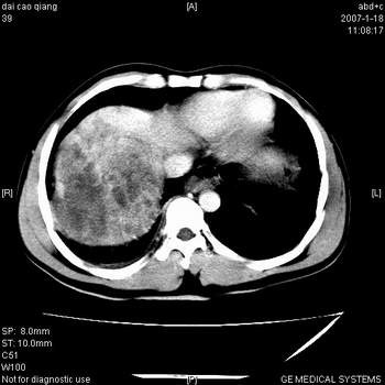
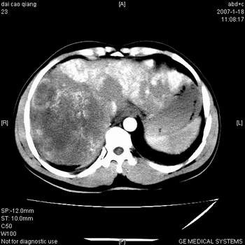
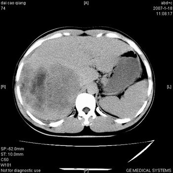
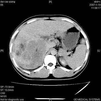
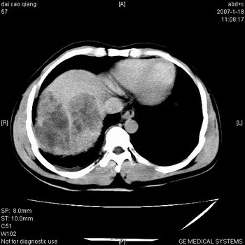
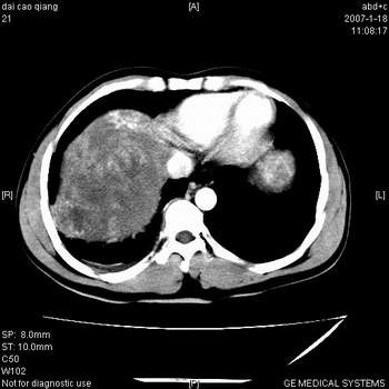
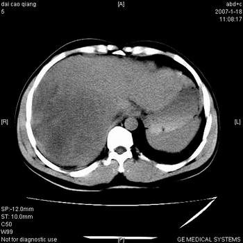
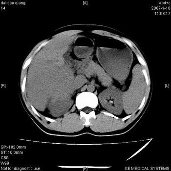
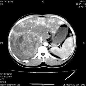
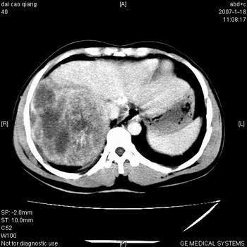
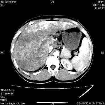
患者是四川人,在浙江水龙头厂工作多年(主要负责安装水龙头胶垫),20天前突感上腹,ct平扫+
















































[本贴已被 翁志蓬 于 2007-1-25 11:54:00 修改过]

作者: lpc0ct    时间: 2007-1-25 18:00
补充:
男患,29.
wbc:1.4万.
作者: 卜一    时间: 2007-1-25 18:22
肝右叶巨块型肝癌,伴癌栓形成.
作者: 狙击手    时间: 2007-1-25 18:22
符合肝癌强化特点,患者有无乙肝病史?
作者: 同    时间: 2007-1-25 18:29
肝右叶巨块型肝癌伴癌栓形成.支持!
作者: bydwhz    时间: 2007-1-25 18:39
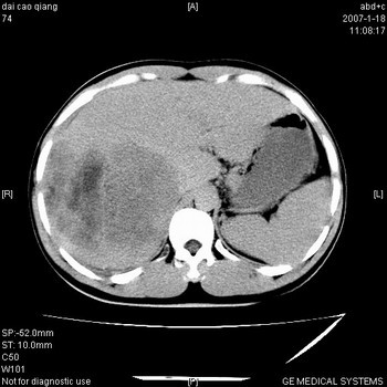
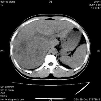
符合巨块型肝癌表现:
1、平扫低密度,增强后表现为快进快出。
2、动脉期可见迂曲的动脉供血血管
3、并可见门静脉右支癌栓形成
4、可见假包膜
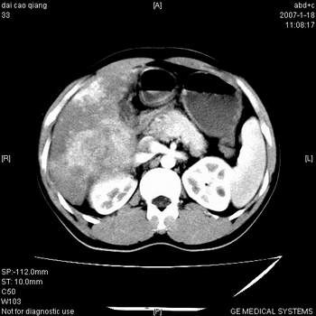
5、腹主动脉旁结节影,考虑肿大淋巴结。
作者: 影象王    时间: 2007-1-25 18:39
综合表现非常符合肝癌。
作者: 天南地北    时间: 2007-1-25 20:29
肝右叶巨块型肝癌伴癌栓形成.支持!
作者: xclzq_910    时间: 2007-1-25 21:03
肝右叶巨块型肝癌伴癌栓形成.支持!
作者: 嫉风笑月    时间: 2007-1-25 21:12
典型巨块型肝癌
作者: wj2039    时间: 2007-1-25 21:59
肝右叶巨块型肝癌,伴癌栓形成.
作者: liaoqiang    时间: 2007-1-25 22:24
考虑肝癌(巨块型)。
作者: 青莲居士    时间: 2007-1-25 22:51
肝右叶巨块型肝癌伴癌栓形成.支持!
作者: swyyy2007    时间: 2007-1-25 23:09
肝右叶巨块型肝癌,伴瘤栓形成,肿瘤有包膜,可见动静脉短路。
作者: haha215315    时间: 2007-1-25 23:09
肝右叶巨块型肝癌伴癌栓形成.
作者: chen123    时间: 2007-1-25 23:12
支持hcc并癌栓形成
作者: 小桥流水    时间: 2007-1-26 00:44
标题: 回复:ct6220:[求助]上腹,ct平扫+增强扫描
以下是引用嫉风笑月在2007-1-25 13:12:00的发言:[br]典型巨块型肝癌

作者: 老爱克斯    时间: 2007-1-26 02:35
增强表现符合巨块型肝癌.
作者: hhcckk    时间: 2007-1-26 02:58
标题: 回复:ct6220:[求助]上腹,ct平扫+增强扫描

作者: dyqct    时间: 2007-1-26 04:12
典型的肝右叶巨块型肝癌破裂、门脉瘤栓形成。
作者: 杀手    时间: 2007-1-26 04:13
感染? 肝ca?
作者: 拾荒者    时间: 2007-1-26 04:15
肝右叶巨大不均匀低密度肿块,前缘有假包膜,增强明显的呈快进快出表现,门脉右支有癌栓,病人虽然年轻但还是首先考虑肝右叶巨块形肝癌,病人血象高只能说有合并感染。不支持肝脓肿。
作者: 宝天曼    时间: 2007-1-26 04:50
首先考虑肝右叶巨块形肝癌
作者: 求知若渴    时间: 2007-1-26 05:36
巨块型肝癌并门静脉右支癌栓
作者: 一片云    时间: 2007-1-26 06:36
肝右叶巨块型肝癌破裂、门脉瘤栓形成。
作者: 余辉    时间: 2007-1-26 16:40
综合表现非常符合肝癌。




欢迎光临 医影在线 (http://bbs.radida.com/bbs/) Powered by Discuz! X3.2