




























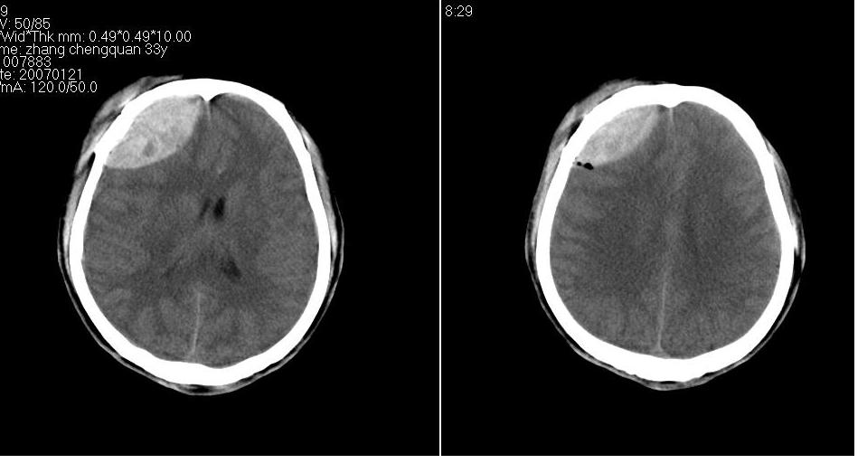
以下是引用卜一在2007-1-25 16:08:00的发言:[br]1 眼眶外侧壁 内侧壁 右侧筛窦 额骨鳞部_粉碎型骨折,并骨片植入眼眶内.[br]2 右侧额叶硬膜外血肿伴积气.[br]3 眼眶内积气 筛窦内积血.
以下是引用卜一在2007-1-25 16:08:00的发言:[br]1 眼眶外侧壁 内侧壁 右侧筛窦 额骨鳞部_粉碎型骨折,并骨片植入眼眶内.[br]2 右侧额区硬膜外血肿伴积气.[br]3 眼眶内积气 筛窦内积血.
以下是引用dyqct在2007-1-25 17:57:00的发言:[br][quote]以下是引用卜一在2007-1-25 16:08:00的发言:[br]1 眼眶外侧壁 内侧壁 右侧筛窦 额骨鳞部_粉碎型骨折,并骨片植入眼眶内.[br]2 右侧额区硬膜外血肿伴积气.[br]3 眼眶内积气 筛窦内积血.
以下是引用卜一在2007-1-25 16:08:00的发言:[br]1 眼眶外侧壁 内侧壁 右侧筛窦 额骨鳞部_粉碎型骨折,并骨片植入眼眶内.[br]2 右侧额叶硬膜外血肿伴积气.[br]3 眼眶内积气 筛窦内积血.
以下是引用卜一在2007-1-25 16:08:00的发言:[br]1 眼眶外侧壁 内侧壁 右侧筛窦 额骨鳞部_粉碎型骨折,并骨片植入眼眶内.[br]2 右侧额叶硬膜外血肿伴积气.[br]3 眼眶内积气 筛窦内积血.
| 欢迎光临 医影在线 (http://bbs.radida.com/bbs/) | Powered by Discuz! X3.2 |