医影在线

标题: CT6237:右上后纵隔旁肿块影 [打印本页]

作者: glyy    时间: 2007-1-26 17:21
标题: CT6237:右上后纵隔旁肿块影
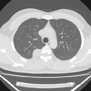
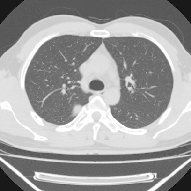
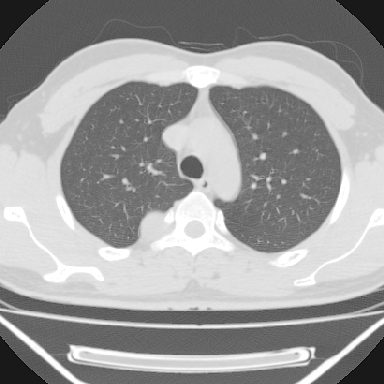
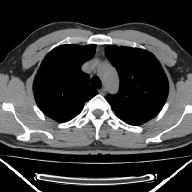
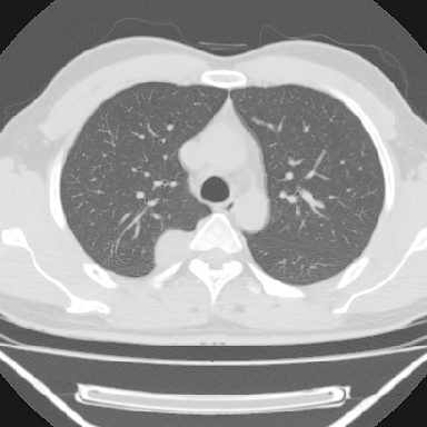
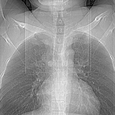
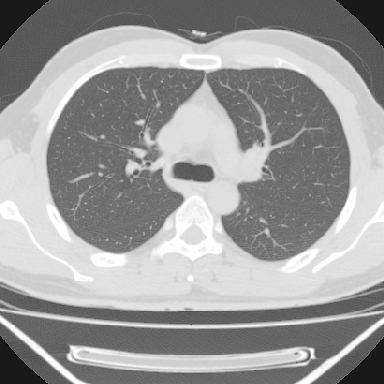
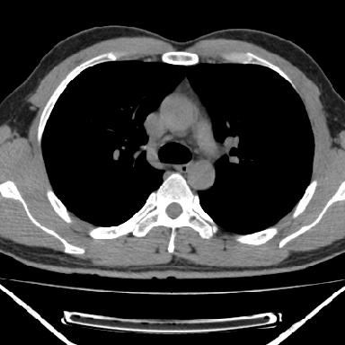
m 30 右胸痛10年



































[本贴已被 jiajie 于 2007-1-26 12:41:47 修改过]

作者: HLJnianLG    时间: 2007-1-26 17:36
神经源性肿瘤
作者: 敏    时间: 2007-1-26 18:37
神经源性肿瘤
作者: realzyc    时间: 2007-1-26 18:42
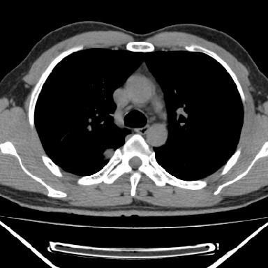
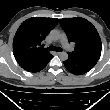
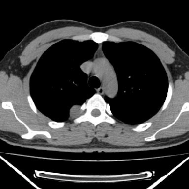
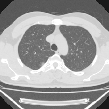
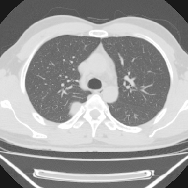
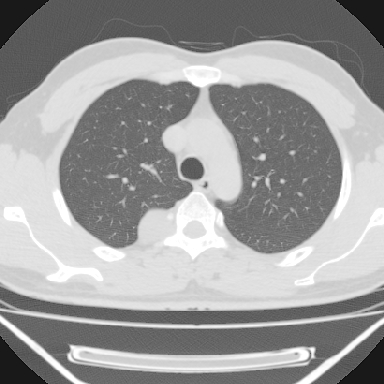
右上后纵隔脊柱旁类圆形肿块,边界光整,与胸腔呈钝角,首先考虑来源于肺外,神经源性肿瘤(神经鞘瘤可能大,神经鞘瘤)
作者: 卜一    时间: 2007-1-26 18:45
支持:神经源性肿瘤.
作者: 余辉    时间: 2007-1-26 18:55
标题: 回复:右上后纵隔旁肿块影

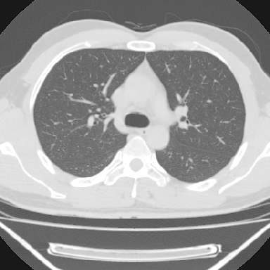
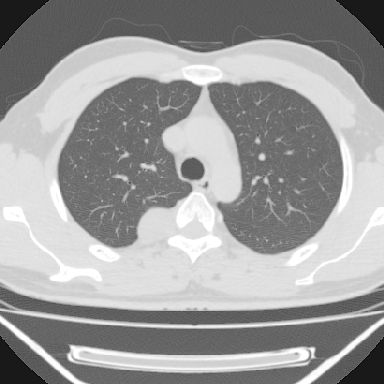
病灶与椎间孔间存在脂间隙,病灶较大,椎间无明显异常改变,与胸膜移行处可见尾状影,考虑胸膜肿瘤,以良性间皮瘤可能性大
作者: 余辉    时间: 2007-1-26 19:01
病灶最大径线处于肋间隙,不排除起源于肋神经源性肿瘤
作者: 海风轻轻吹    时间: 2007-1-26 19:26
m,30岁,右胸痛10年。
右上后纵隔旁软组织肿块影,与肺界面光滑,与胸壁呈钝角相交,提示肺外病变。位于肋骨下缘,边缘清楚,呈三角样指向与右侧椎间孔,但并示进入椎间孔;与对侧神经根对比,属同一走行方向。
考虑后纵膈良性肿瘤,神经源性肿瘤可能大。
鉴别:胸膜来源肿瘤。影像表现虽有肺外征象,但无胸水等相应佐证;再者,病史前10年,超长,与胸膜肿瘤不太吻合。
建议:再次查体,问清疼痛部位,如为1~2个肋间痛则神经源性肿瘤可能大,如疼痛较弥散,不按肋间分布,则可能为后纵膈其它来源肿瘤。
作者: health120    时间: 2007-1-26 19:59
神经鞘瘤
作者: 小桥流水    时间: 2007-1-26 20:20
标题: 回复:右上后纵隔旁肿块影
以下是引用卜一在2007-1-26 10:45:00的发言:[br]支持:神经源性肿瘤.

作者: 天南地北    时间: 2007-1-26 20:23
1:先考虑胸膜良性间皮瘤可能性大。
2::神经源性肿瘤
作者: zyx168    时间: 2007-1-26 20:40
支持:神经源性肿瘤.
作者: jinguoji    时间: 2007-1-26 20:49
右上后纵隔脊柱旁类圆形肿块,边界光整,与胸腔呈钝角,首先考虑来源于纵膈,神经源性肿瘤可能大。
作者: 同    时间: 2007-1-26 20:56
支持神经源性肿瘤.
作者: zhw974247    时间: 2007-1-26 23:03
标题: 回复:ct6237:右上后纵隔旁肿块影
以下是引用余辉在2007-1-26 10:55:00的发言:[br][br]病灶与椎间孔间存在脂间隙,病灶较大,椎间无明显异常改变,与胸膜移行处可见尾状影,考虑胸膜肿瘤,以良性间皮瘤可能性大

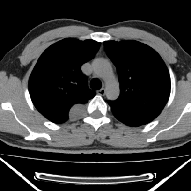
     支持, 椎体及附件未见破坏!
作者: andymaomao    时间: 2007-1-26 23:32
神经鞘瘤可能性大。
作者: hanglin1994    时间: 2007-1-26 23:44
良性胸膜间皮瘤可能性大,神经源性肿瘤可能性小,因为没有见到有瘤体组织伸入神经孔内!
作者: whm417    时间: 2007-1-27 00:42
神经鞘膜瘤、神经纤维瘤
作者: wangzhanshuang    时间: 2007-1-27 01:15
神经源性肿瘤
作者: sunxb1010    时间: 2007-1-27 01:25
神经源性肿瘤可能大
作者: ZENGWEILIANG197    时间: 2007-1-27 01:34
支持:神经源性肿瘤
作者: 影象王    时间: 2007-1-27 02:28
典型的神经源性肿瘤!
作者: 胡生启    时间: 2007-1-27 03:04
支持:神经源性肿瘤
作者: lygkd5857508    时间: 2007-1-27 03:11
神经鞘瘤
作者: jian-5587    时间: 2007-1-27 03:16
神经源性肿瘤可能性大,不除外胸膜间皮瘤.
作者: dyqct    时间: 2007-1-27 04:23
右上后纵隔脊柱旁见长椭圆形肿块,边界光整,与胸壁呈钝角。周围骨质未见异常。
考虑、1、后纵隔神经源性肿瘤;
      2、不除外单发胸膜间皮瘤。
作者: 求知若渴    时间: 2007-1-27 04:33
标题: 回复:ct6237:右上后纵隔旁肿块影

作者: 黑金    时间: 2007-1-27 04:56
神经源性肿瘤
作者: 拾荒者    时间: 2007-1-27 05:12
右上后纵隔脊柱旁类圆形肿块,边界光整,与胸膜呈钝角,首先考虑来源于肺外,神经源性肿瘤(神经纤维瘤可能大)。
作者: xguang90    时间: 2007-1-27 05:27
病灶最大径线处于肋间隙,不排除起源于肋神经源性肿瘤
作者: 悟空    时间: 2007-1-27 05:51
良性神经源性肿瘤
作者: 如醉卧风    时间: 2007-1-27 06:47
1良性胸膜间皮瘤.神经源性肿瘤?与椎管内不连续可能性不大.
作者: jiangjing    时间: 2007-1-27 07:55
支持  考虑后纵膈良性肿瘤,神经源性肿瘤可能大
作者: 宝天曼    时间: 2007-1-28 02:21
神经鞘瘤
作者: 狙击手    时间: 2007-1-28 18:20
首先考虑神经源性肿瘤,不除外胸膜病变




欢迎光临 医影在线 (http://bbs.radida.com/bbs/) Powered by Discuz! X3.2