





















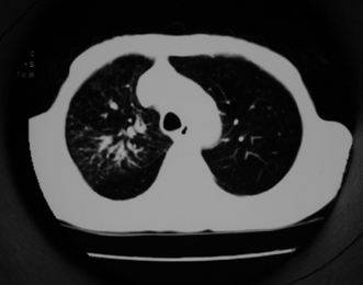
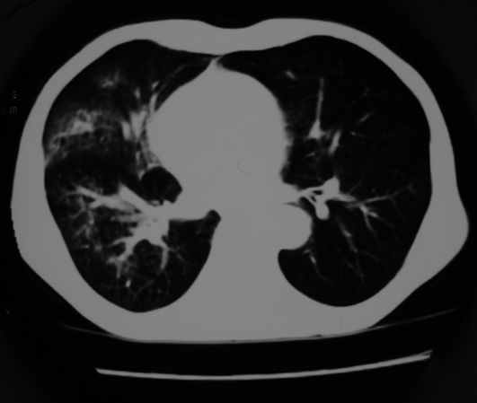
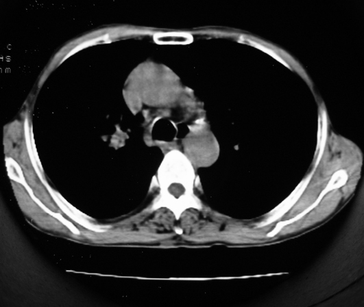
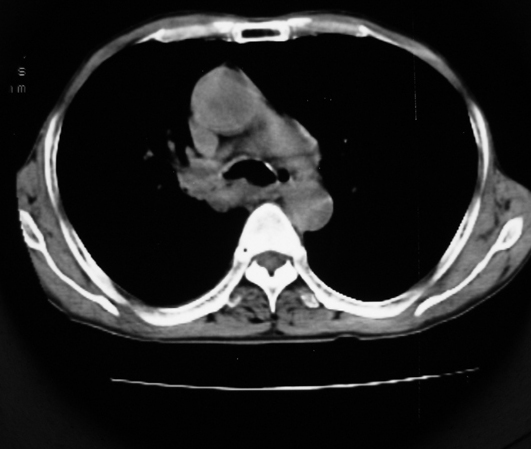
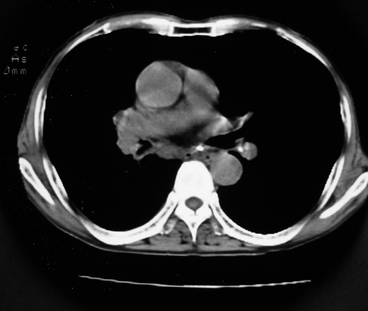
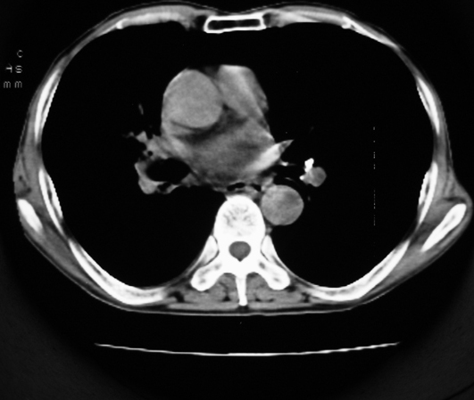
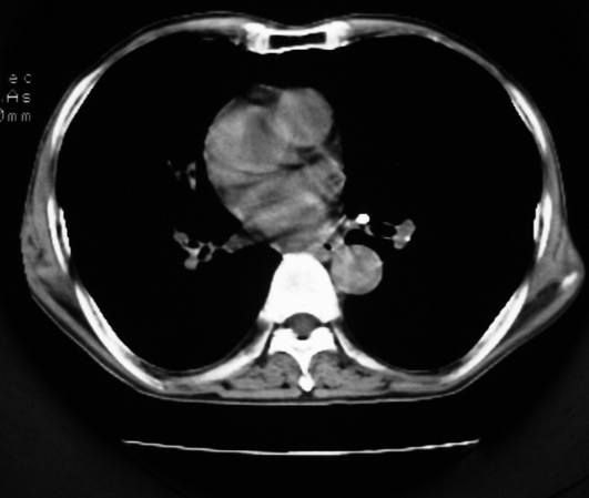
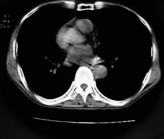
以下是引用同在2007-1-27 14:13:00的发言:[br]支持右侧中央型肺癌伴阻塞性病变.
以下是引用hhcckk在2007-1-27 12:10:00的发言:[br][br]
以下是引用zjzjr在2007-1-27 16:56:00的发言:[br]支持右肺中心型肺癌伴阻塞性肺炎.


以下是引用hhcckk在2007-1-27 12:10:00的发言:[br][br]
| 欢迎光临 医影在线 (http://bbs.radida.com/bbs/) | Powered by Discuz! X3.2 |