医影在线

标题: CT6284:[求助]左肾 [打印本页]

作者: 山佳    时间: 2007-1-30 02:16
标题: CT6284:[求助]左肾
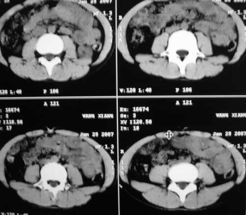
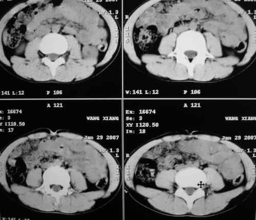
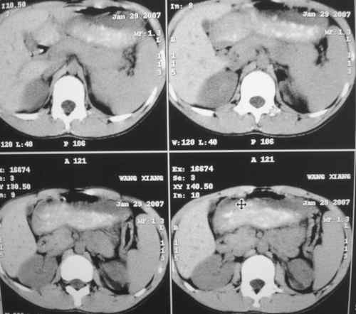
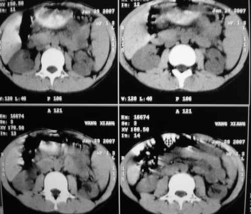
m 15y 外院b超发现左肾包块,遂来ct检查。








[本贴已被 jiajie 于 2007-1-29 18:23:04 修改过]

作者: 碧水蓝天    时间: 2007-1-30 02:22
打个药吧
作者: zyx168    时间: 2007-1-30 02:44
左肾母细胞瘤
作者: yanxuebin5677    时间: 2007-1-30 03:00
请看一下增强的图象
作者: liuyue    时间: 2007-1-30 04:11
左肾外形明显小于右肾,左肾中上极后侧可见一等密度影,与肾分解不清,肾盂肾盏无扩张,先考虑:左肾发育不良,建议强化除外占位
作者: 拾荒者    时间: 2007-1-30 06:47
图像不清,增强吧!
作者: ysxyy    时间: 2007-1-30 06:54
说实话图像太虚看不清,分不清那个是平扫那个是强化的,还请楼主费心再重新照一下吧;
作者: 朱磊    时间: 2007-1-30 07:21
左肾外形明显小于右肾,左肾中上极后侧可见一等低密度影,与肾分解不清,肾盂肾盏无扩张,先考虑:左肾发育不良,平滑肌脂肪瘤待排除。
作者: 狙击手    时间: 2007-1-30 07:33
标题: 回复:ct6284:[求助]左肾
以下是引用朱磊在2007-1-29 23:21:00的发言:[br]左肾外形明显小于右肾,左肾中上极后侧可见一等低密度影,与肾分解不清,肾盂肾盏无扩张,先考虑:左肾发育不良,平滑肌脂肪瘤待排除。

支持!
作者: 宝天曼    时间: 2007-1-30 15:19
先考虑:左肾发育不良,平滑肌脂肪瘤待排除。
作者: dyqct    时间: 2007-1-30 17:29
左肾小,请增强。




欢迎光临 医影在线 (http://bbs.radida.com/bbs/) Powered by Discuz! X3.2