医影在线

标题: V0176(MRI):小儿发热,肝脾大,肝内病变 [打印本页]

作者: zhxl1127    时间: 2007-1-30 04:02
标题: V0176(MRI):小儿发热,肝脾大,肝内病变
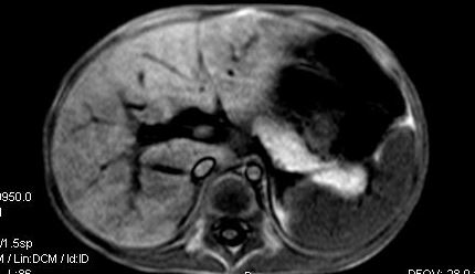
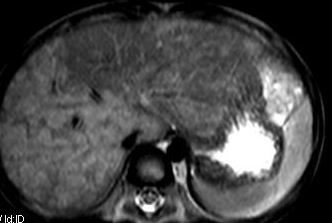
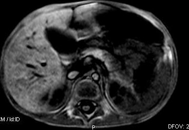
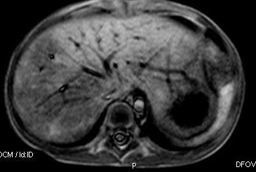
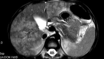
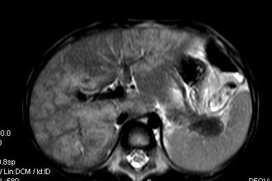
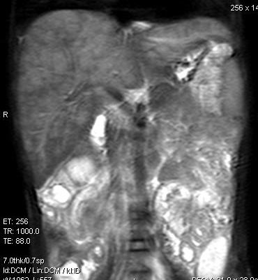
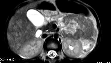
5岁,2006年8月曾行阑尾炎手术,现发热半年











[本贴已被 jiajie 于 2007-1-30 18:14:20 修改过]





欢迎光临 医影在线 (http://bbs.radida.com/bbs/) Powered by Discuz! X3.2