医影在线

标题: CT6685:右肺阻塞性炎症,增强CT。 [打印本页]

作者: 147258lzg    时间: 2007-2-7 01:32
标题: CT6685:右肺阻塞性炎症,增强CT。
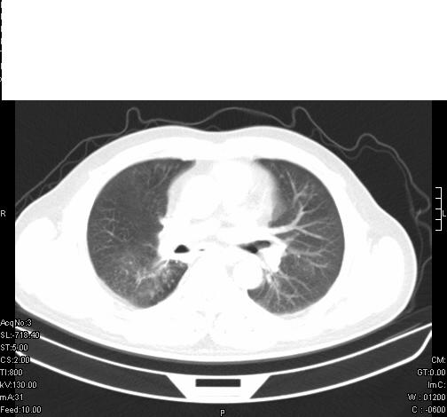
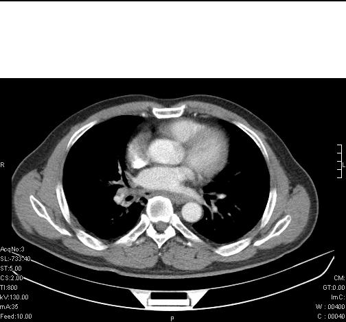
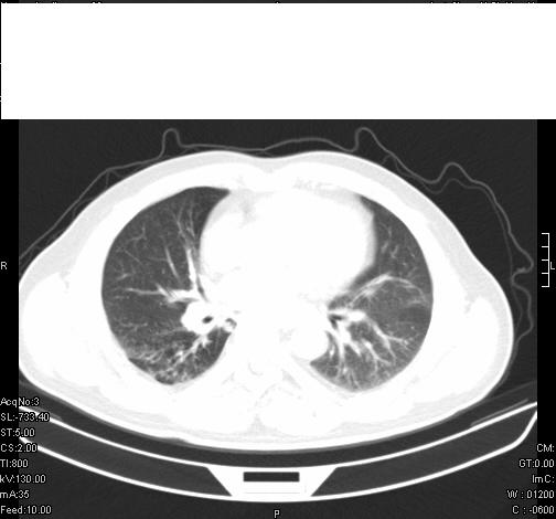
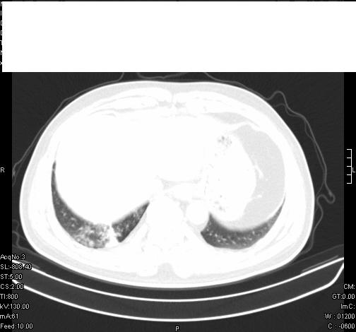
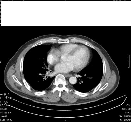
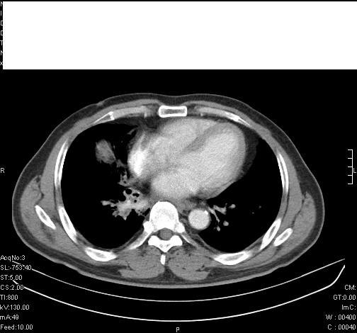
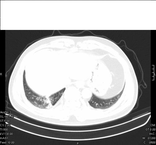
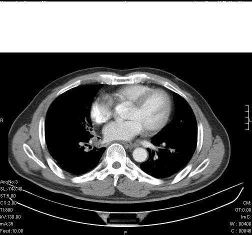
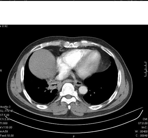
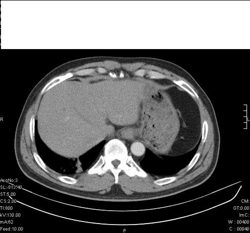
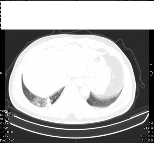
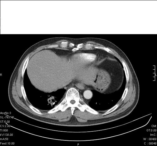
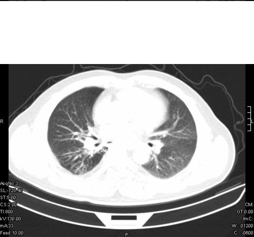
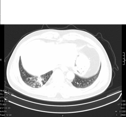
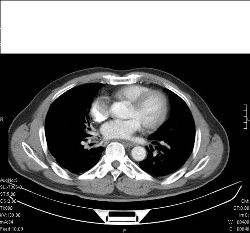
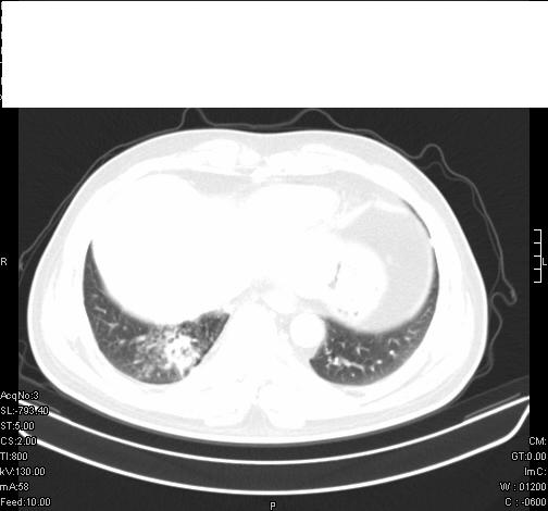
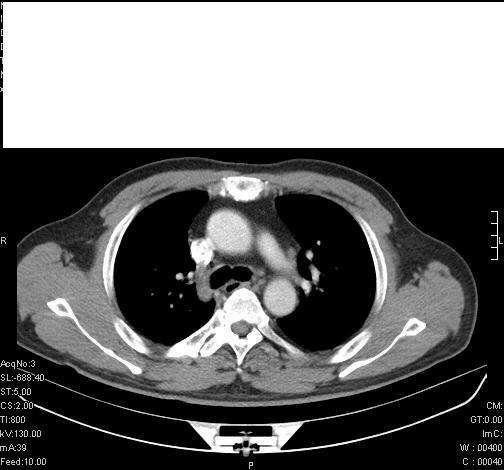
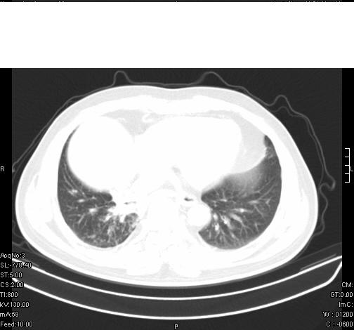
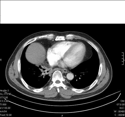
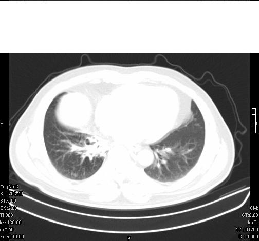
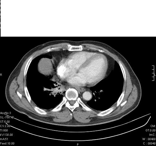
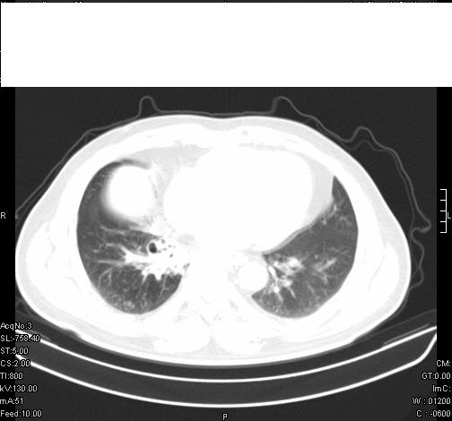
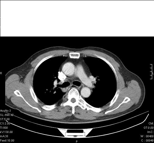
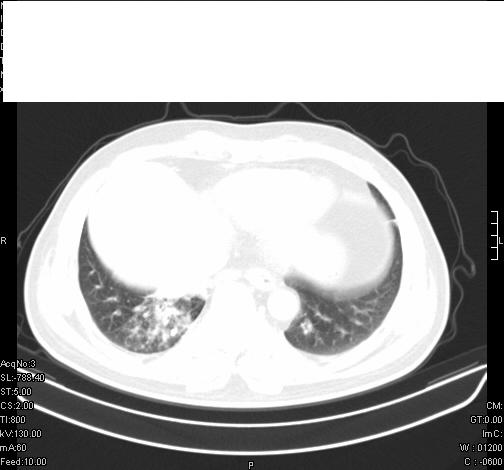
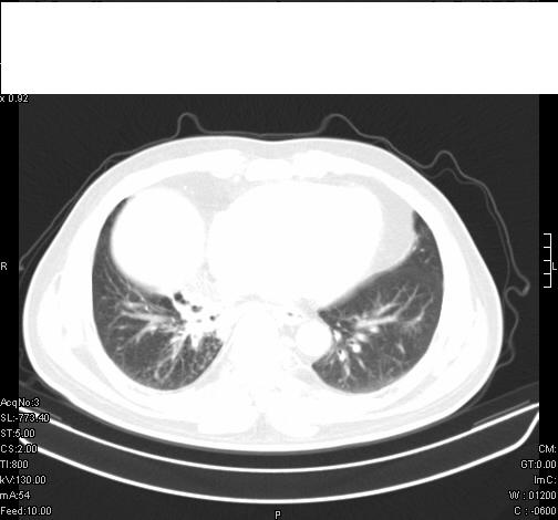
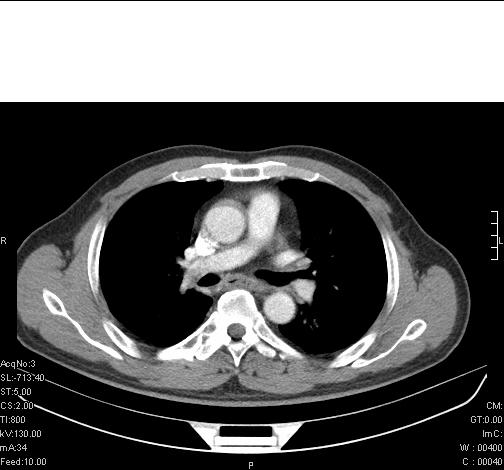
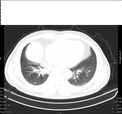
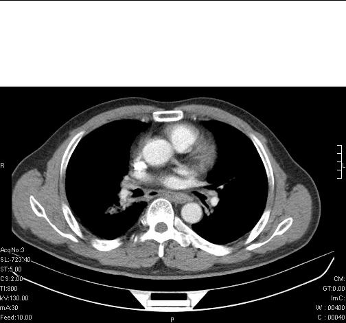
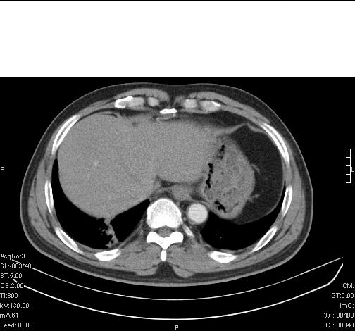
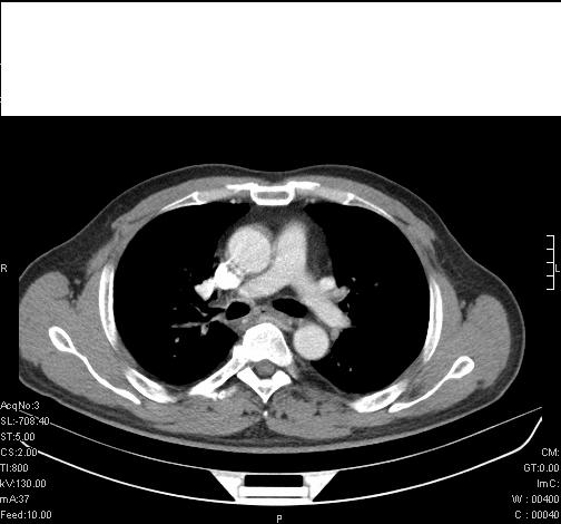
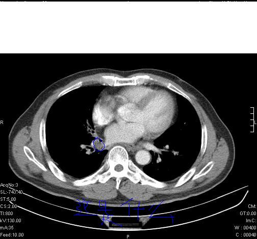
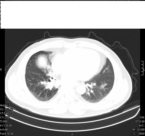
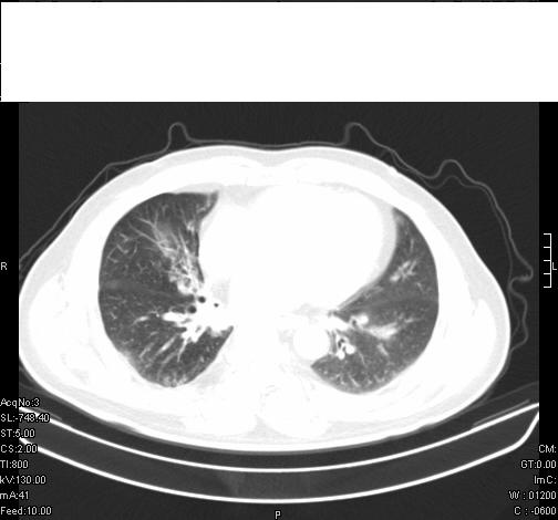
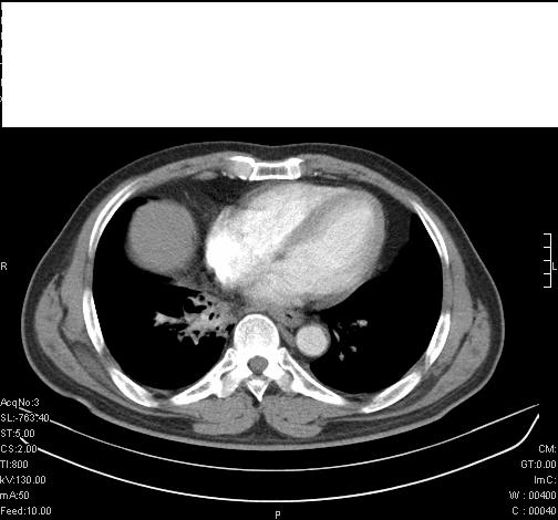
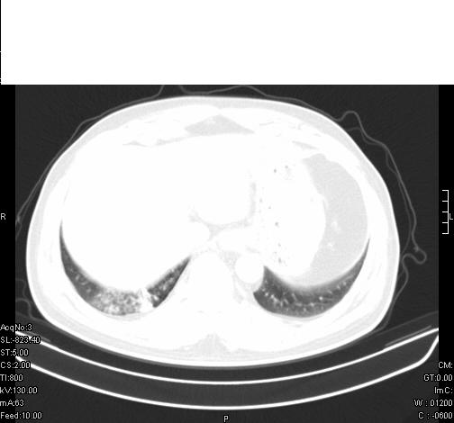
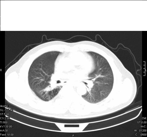
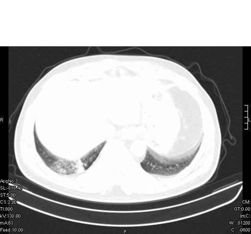
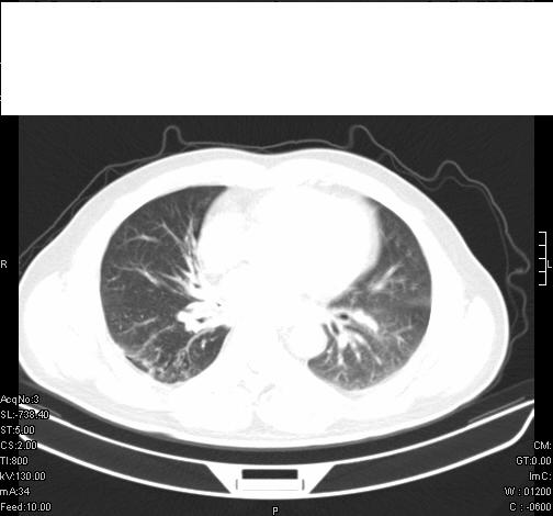
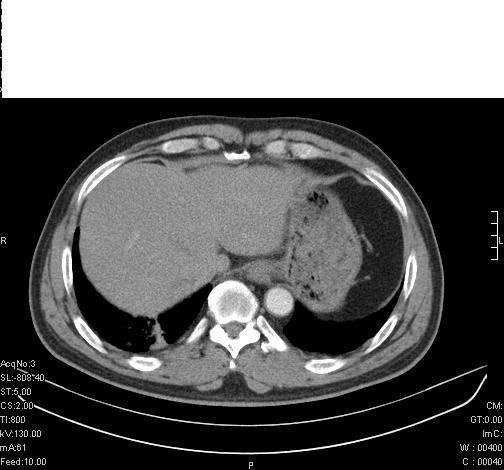
前几天,发了患者的平扫片,患者抗炎一周后增强扫描。右中叶病灶吸收明显,但下叶病灶未见明显吸收。右肺门可见结节影,看来凶多吉少


























































[本贴已被 jiajie 于 2007-2-6 19:19:40 修改过]

作者: sunxb1010    时间: 2007-2-7 02:08
右下肺炎可能大,暂无恶性征像
作者: wqs571018    时间: 2007-2-7 02:18
右下肺炎性改变.
作者: 国窖1573    时间: 2007-2-7 02:22
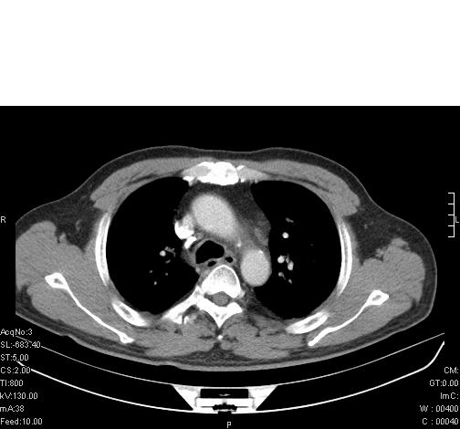
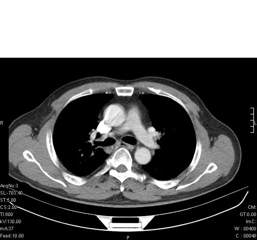
右肺下叶支气管管腔狭窄,管壁增厚,右下肺见斑片状高密度影,考虑右侧肺门中心肺癌伴阻塞性肺炎
作者: wangzhongliang    时间: 2007-2-7 02:24
右下肺炎症,建议治疗后复查.
作者: imaging.li    时间: 2007-2-7 03:46
炎症可能性大。
继续抗炎复查;或纤支镜明确诊断
作者: hhcckk    时间: 2007-2-7 05:03
病灶在下叶,散发,抗炎治疗有效,考虑炎症,楼主说的肺门结节看的不明显
作者: 宝天曼    时间: 2007-2-7 05:06
右下肺炎性改变.
作者: 卜一    时间: 2007-2-7 05:58
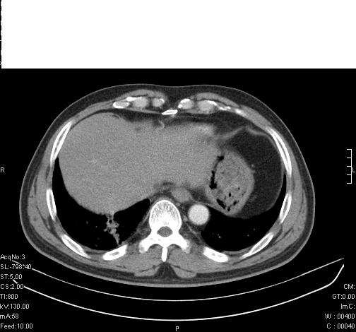
右肺下叶散在的斑片状致密影,下叶支气管变窄。考虑:右肺慢性炎症。
作者: 晓杰    时间: 2007-2-7 06:09
支持:右肺下叶散在的斑片状致密影,下叶支气管变窄。考虑:右肺慢性炎症。
作者: chmb    时间: 2007-2-7 06:45
右下肺气管壁增厚,但看不到具体的肿块,还是先考虑炎症,抗炎后复查吧。
作者: 147258lzg    时间: 2007-2-7 06:53
标题: 回复:ct6685:右肺阻塞性炎症,增强ct。

第18幅,好像不能简单用炎症解释,前几天我发平扫时,90%人支持肺癌,现在好像大家更倾向于炎症了,我觉得还是不能排除肺癌。
作者: 147258lzg    时间: 2007-2-7 07:11
http://www.radida.com/radinet/read.php?tid=20666
这是平扫的片子,大部分人都考虑右肺癌。哪里有如何建立连接的帖子?
作者: jinning    时间: 2007-2-7 07:12
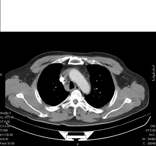
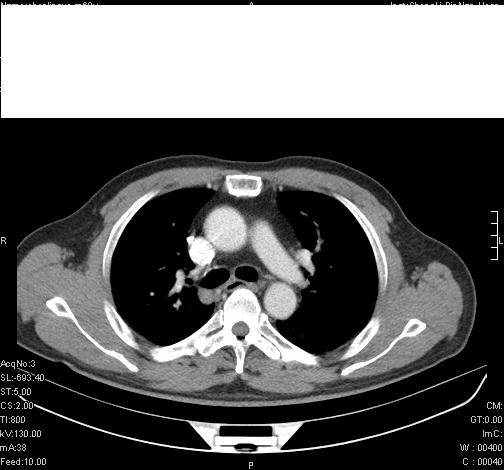
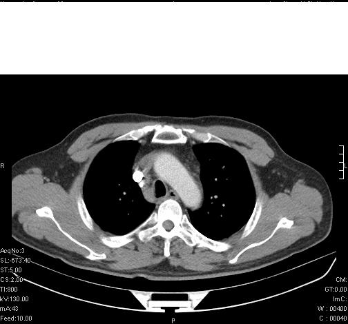
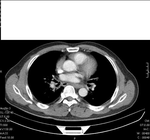
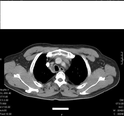
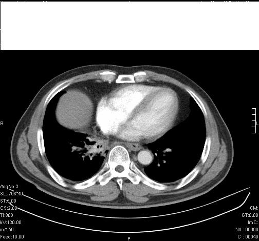
右肺下叶支气管壁明显增厚,考虑癌症并阻塞性炎症、肺门淋巴结肿大
作者: jiangjing    时间: 2007-2-7 07:18
考虑肺部感染
作者: jinguoji    时间: 2007-2-7 07:28
考虑右肺癌并阻塞性炎症、肺门淋巴结肿大
作者: 清风照影来    时间: 2007-2-7 07:42
标题: 回复:ct6685:右肺阻塞性炎症,增强ct。
还是考虑右肺中央型肺癌可能性大
作者: tao772    时间: 2007-2-7 16:16
炎症可能性大。
继续抗炎复查;或纤支镜明确诊断,不除外结核。
作者: haha215315    时间: 2007-2-7 16:51
右下肺炎性改变
作者: swyyy2007    时间: 2007-2-7 18:20
炎症是首选,不能排除肺癌
作者: liaoqiang    时间: 2007-2-7 18:20
右肺下叶支气管壁不规则增厚,右肺下叶有斑片状影分布。考虑右肺中央型肺癌伴右肺下叶阻塞性改变。建议支纤镜检查。平扫比增强较好显示了病变情况。
作者: wj2039    时间: 2007-2-7 20:20
考虑右肺中央型肺癌可能性大
作者: shuhuang2007    时间: 2007-2-7 20:34
右主支气管狭窄,管壁增厚。考虑右中心性肺ca伴阻塞性肺炎。
作者: w_jianhua    时间: 2007-2-7 20:38
多考虑炎症,建议纤支镜检查。
作者: 黑金    时间: 2007-2-8 05:21
象炎症
作者: 拾荒者    时间: 2007-2-8 05:38
既然抗炎治疗有效,可继续治疗;右肺下叶支气管管腔狭窄,管壁增厚,右下肺见斑片状高密度影,右侧主支气管后见结节影(淋巴结?),肺癌不能排出。




欢迎光临 医影在线 (http://bbs.radida.com/bbs/) Powered by Discuz! X3.2