医影在线

标题: CT6689:[讨论]胸CT [打印本页]

作者: liuzheng_9326    时间: 2007-2-7 07:00
标题: CT6689:[讨论]胸CT
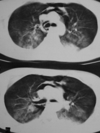
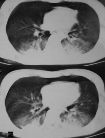
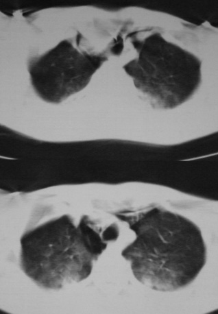
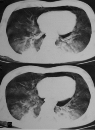
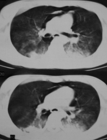
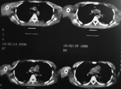
男,18岁,车祸20小时后胸ct.血氧饱和度80,呼吸45次/分.













[本贴已被 jiajie 于 2007-2-7 18:50:03 修改过]

作者: 天南地北    时间: 2007-2-7 07:05
1:双肺挫裂伤,以双下肺明显。
2:纵隔气肿。
图片质量差,看到有点晕
作者: ybing    时间: 2007-2-7 07:13
肺挫裂伤
作者: ayi    时间: 2007-2-7 07:58
1:两侧创伤性湿肺。
2:纵隔气肿。
作者: 卜一    时间: 2007-2-7 15:55
1:两侧创伤性湿肺。
2:纵隔气肿.
支持!
作者: tao772    时间: 2007-2-7 16:06
1:双肺挫裂伤,以双下肺明显。
2:纵隔气肿
作者: andymaomao    时间: 2007-2-7 17:06
1.双下肺挫伤;
2.纵隔积气。
作者: mlxq3086    时间: 2007-2-7 17:19
创伤性湿肺,纵隔气肿!
作者: liaoqiang    时间: 2007-2-7 17:20
1.双肺挫伤,2.纵隔积气。注意右侧主支气管是否有断裂?
作者: haha215315    时间: 2007-2-7 17:25
1.双下肺挫伤;2.纵隔积气。
作者: heidaoren    时间: 2007-2-7 17:27
双肺挫裂伤 纵隔积气
作者: swyyy2007    时间: 2007-2-7 17:46
两肺挫伤,纵隔气肿,两侧气胸
作者: 余辉    时间: 2007-2-7 17:47
1:两侧创伤性湿肺(撕裂伤)。
2:纵隔气肿.
支持!
作者: w_jianhua    时间: 2007-2-7 20:16
1:两侧创伤性湿肺。
2:纵隔气肿。
  
  支持
作者: wj2039    时间: 2007-2-7 20:39
1.双下肺挫伤;2.纵隔积气。
作者: 晓杰    时间: 2007-2-7 22:52
1.双下肺挫伤;
2.纵隔积气。
作者: 黑金    时间: 2007-2-8 04:17
支持楼上
作者: 拾荒者    时间: 2007-2-8 04:43
支持---1.双肺挫伤,2.纵隔积气。注意右侧主支气管是否有断裂?
作者: anbo5502    时间: 2007-2-8 04:46
1:两侧创伤性湿肺。
2:纵隔气肿.
支持!




欢迎光临 医影在线 (http://bbs.radida.com/bbs/) Powered by Discuz! X3.2