
























































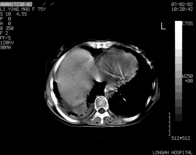
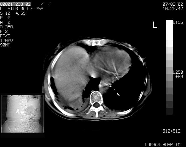
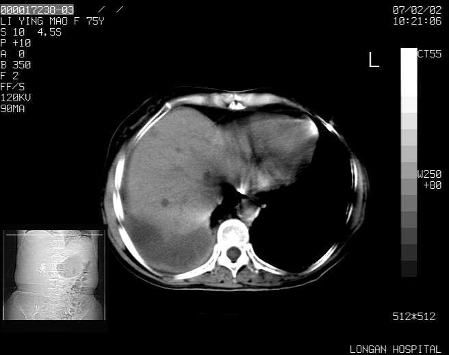
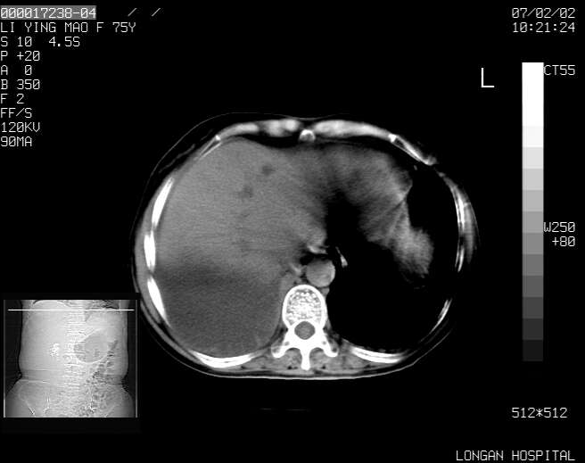
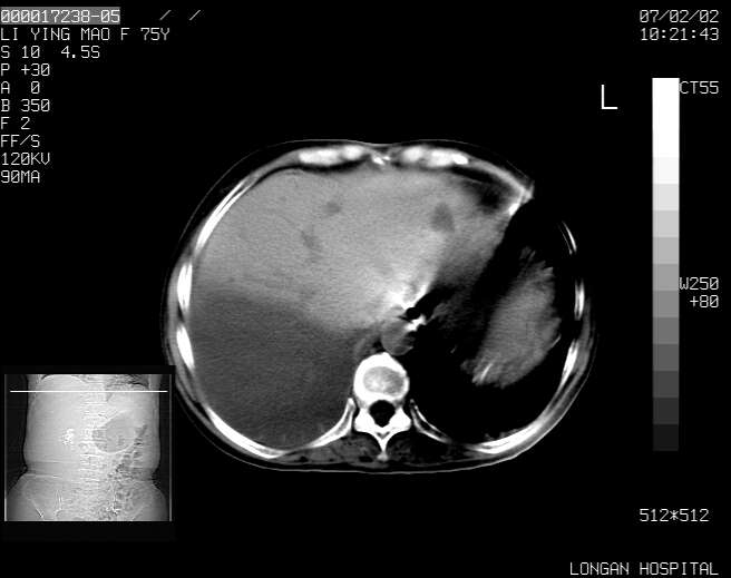
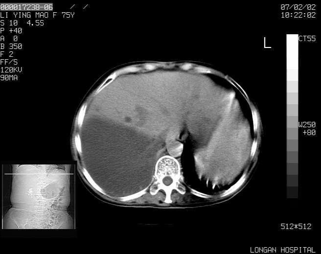
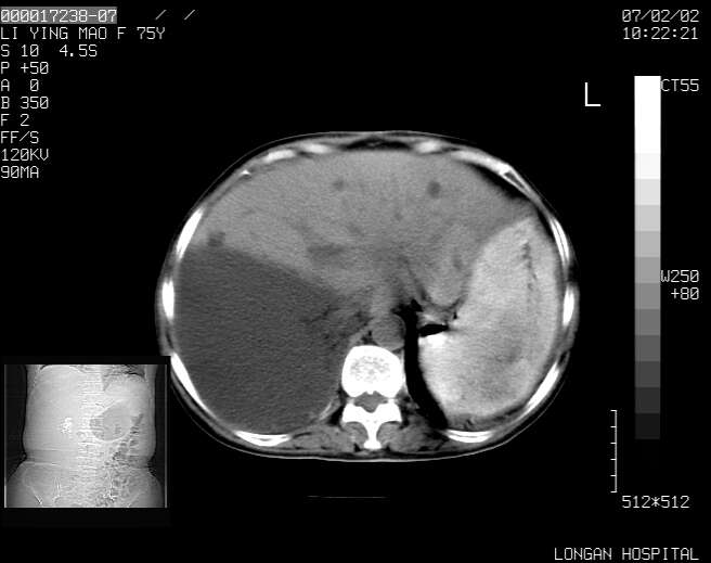
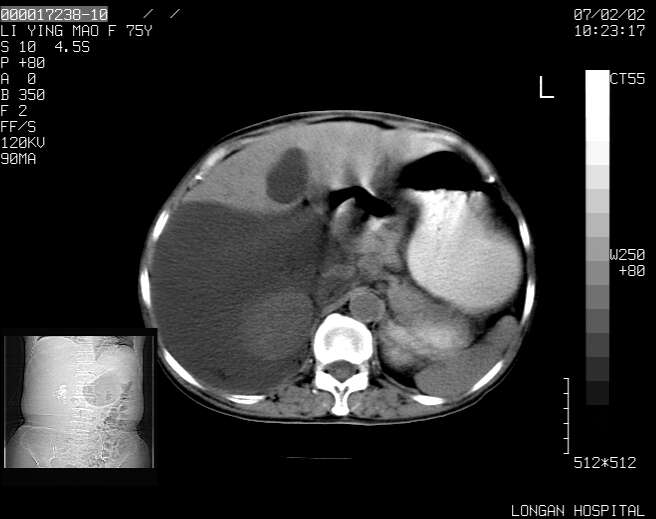
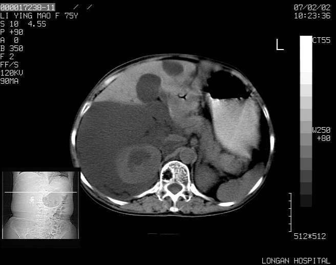
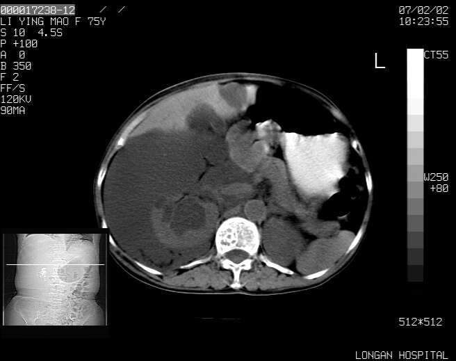
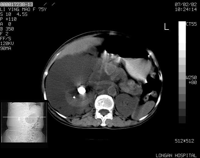
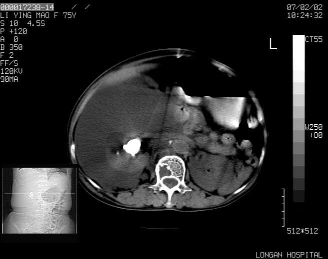
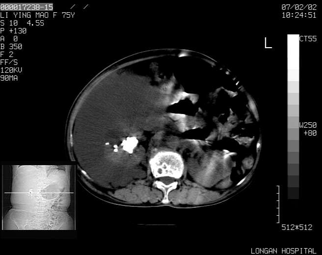
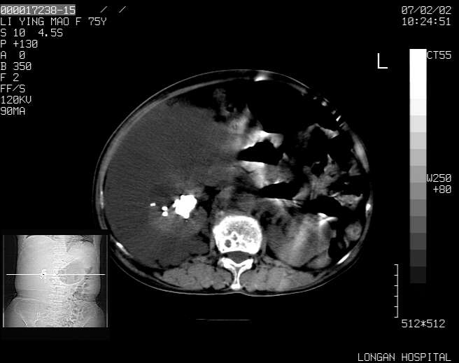
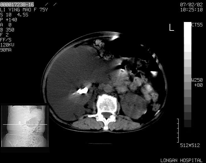
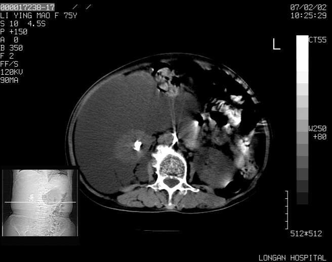
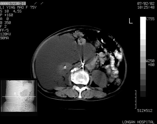
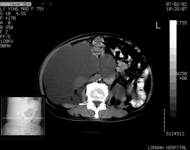
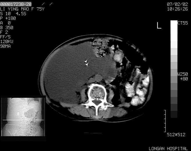
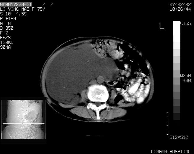
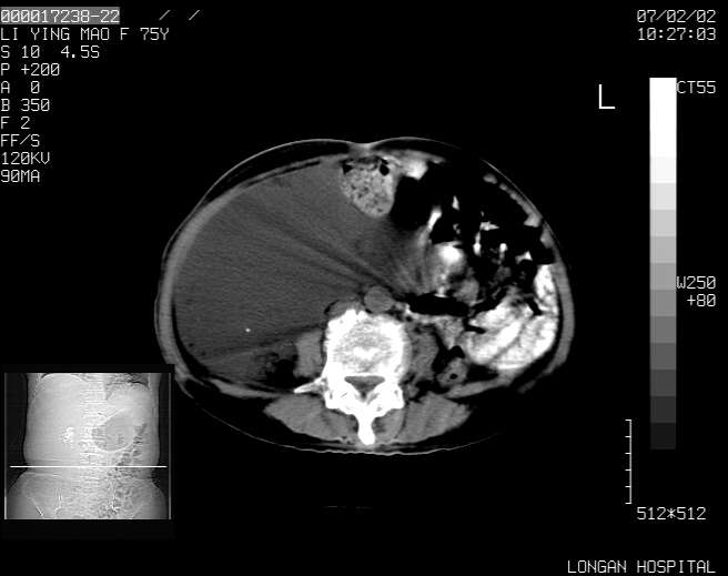
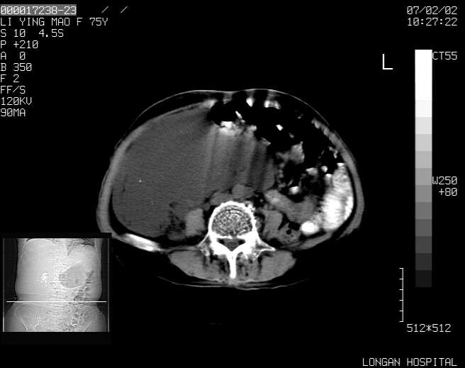
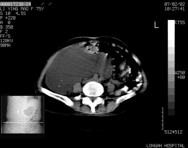
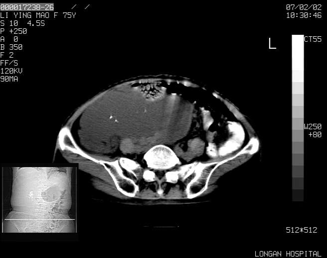
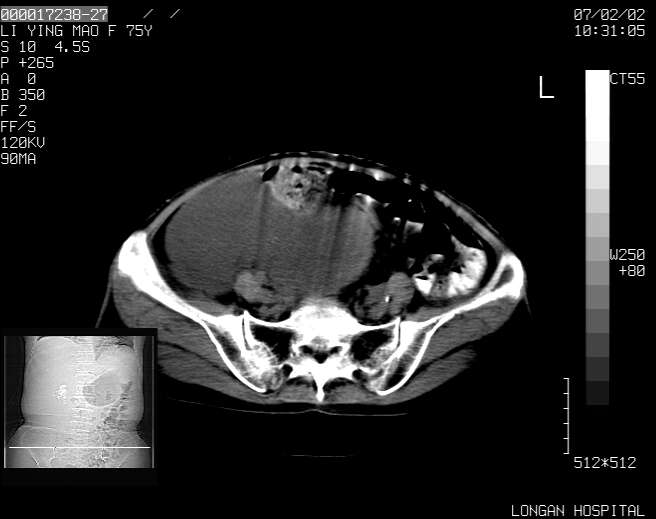
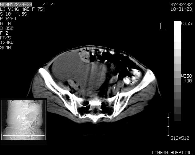
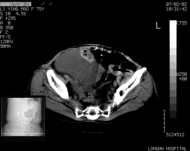
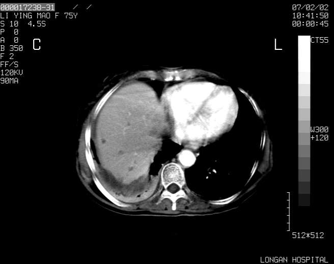
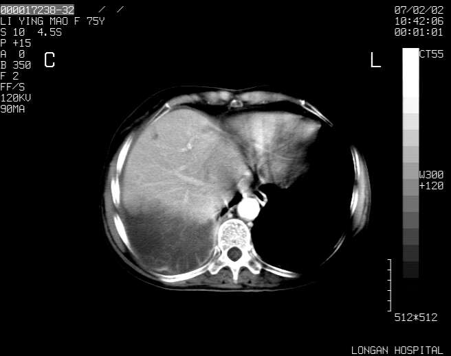
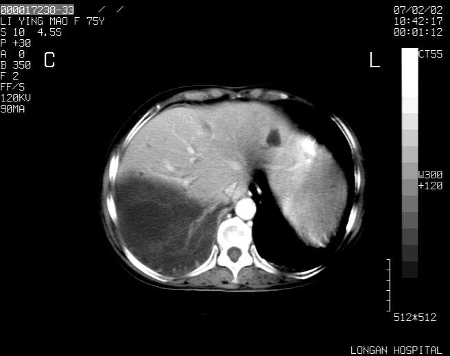
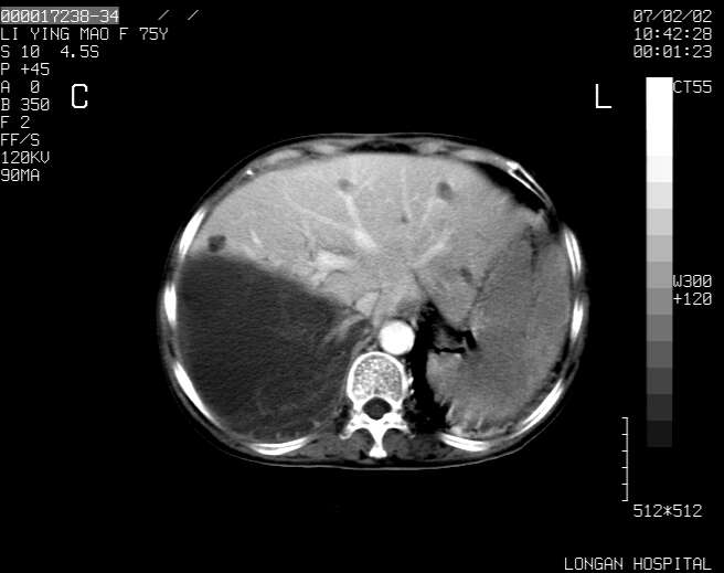
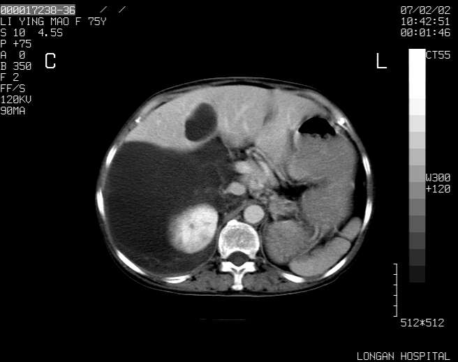
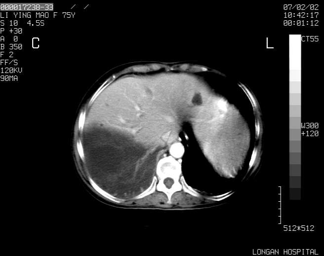
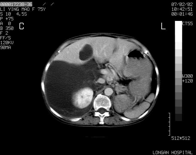
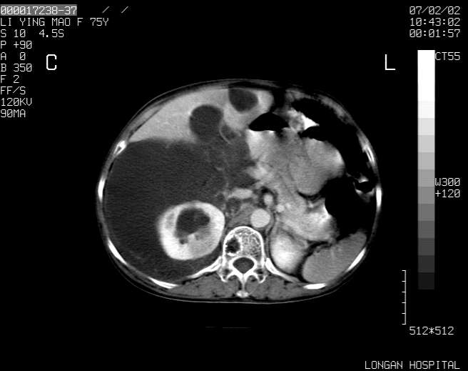
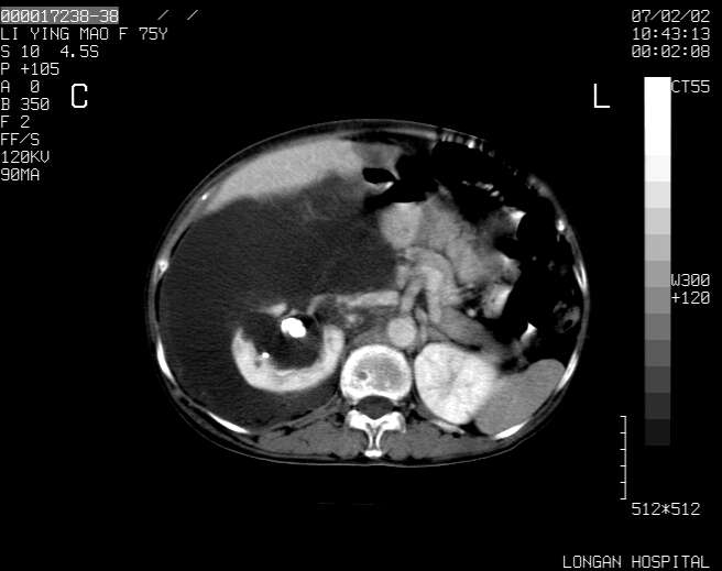
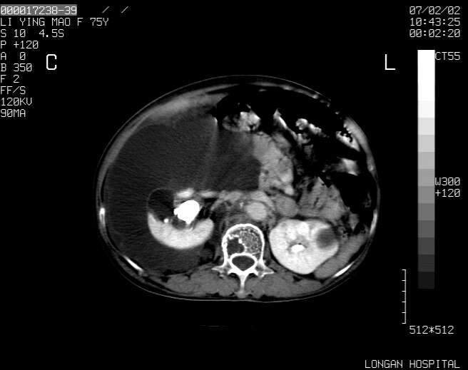
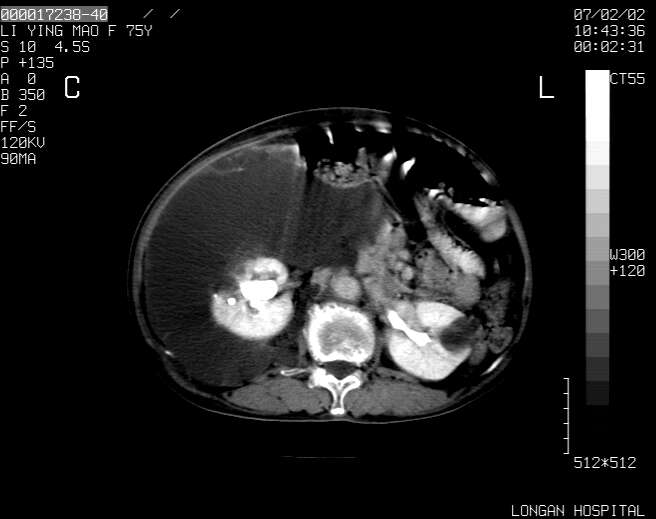
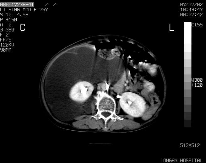
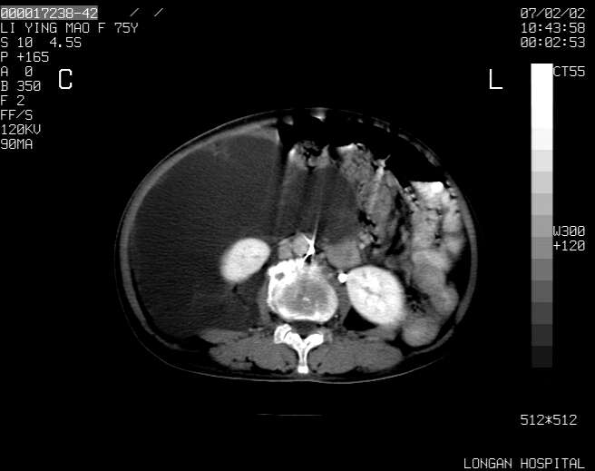
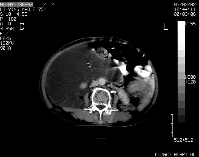
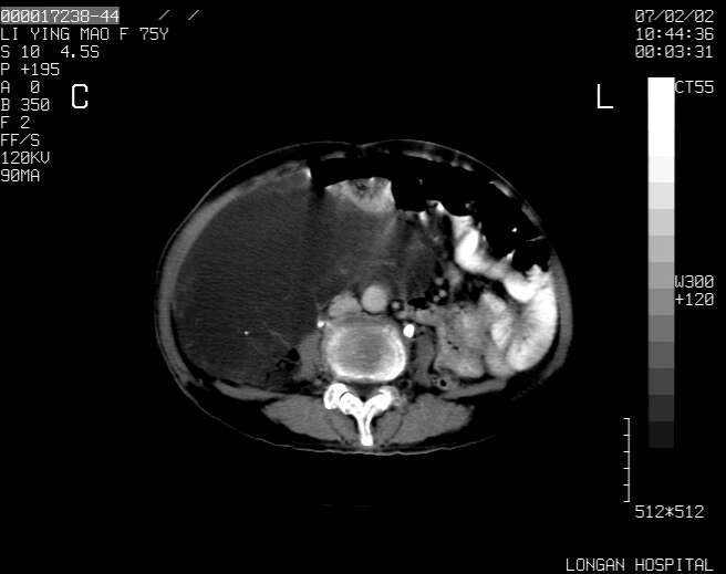
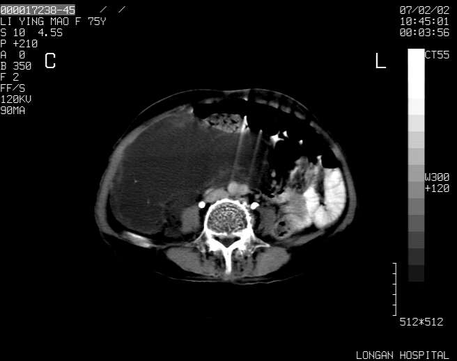
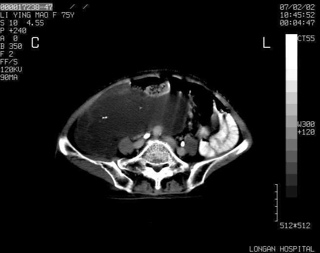
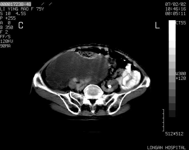
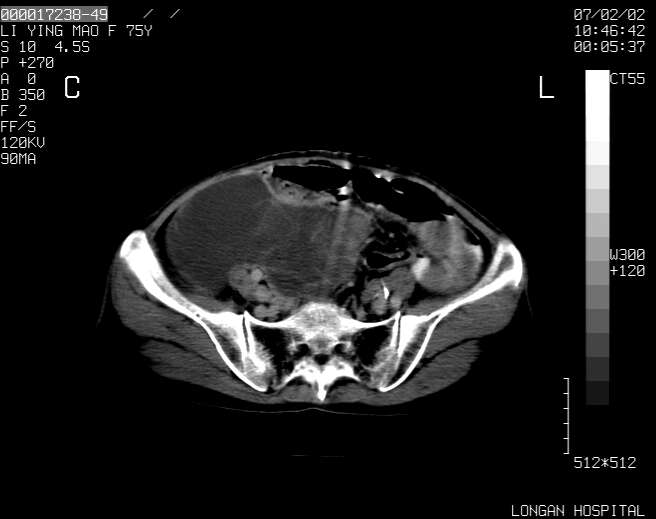
以下是引用dyqct在2007-2-10 8:53:00的发言:[br]考虑:1、肝脏多发囊肿[br] 2、左肾囊肿,右肾多发结石并积水。[br] 3、右胸少量积液。[br] 4、右肾周包裹性积液或淋巴管瘤(有见缝就钻的征象、薄隔、小结节状钙化)?[br] 5、腰椎动脉瘤样骨囊肿?[br] [br] [br]
以下是引用dyqct在2007-2-10 8:53:00的发言:[br]考虑:1、肝脏多发囊肿[br] 2、左肾囊肿,右肾多发结石并积水。[br] 3、右胸少量积液。[br] 4、右肾周包裹性积液或淋巴管瘤(有见缝就钻的征象、薄隔、小结节状钙化)?[br] 5、腰椎动脉瘤样骨囊肿?[br] [br] [br]
| 欢迎光临 医影在线 (http://bbs.radida.com/bbs/) | Powered by Discuz! X3.2 |