



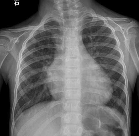
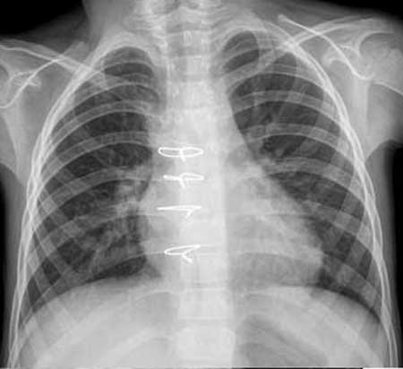
以下是引用听蝉观竹在2007-2-12 1:22:00的发言:[br]1、肺血增多-----提示有血液左向右分流;常见有房缺、室缺、动脉导管未闭。[br]2、肺动脉段突出,心尖圆隆,右前斜位肺动脉圆锥隆起------右心室增大,而左心室不增大;室缺、动脉导管未闭虽然可以右心室增大、肺动脉段突出,但同时左心室也增大,符合者就剩下房缺了。[br]3、手术前右前斜位吞钡食道压迹加深,正位片右心缘第二弓明显增大-----有心房增大。手术后右心缘第二弓正常,说明右房压力正常。[br]4、主动脉结明显缩小-----这是房缺的特征表现。[br][br]虽然没有告诉心脏杂音的性质位置,根据影像分析-------房间隔缺损。重要的一点:房缺在透视下肺门“舞蹈”明显,比其它左向右分流先心更显著。[br][br][本贴已被 听蝉观竹 于 2007-2-12 1:34:56 修改过]
| 欢迎光临 医影在线 (http://bbs.radida.com/bbs/) | Powered by Discuz! X3.2 |