医影在线

标题: PED0009:胸片 [打印本页]

作者: jiajie    时间: 2007-2-11 17:59
标题: PED0009:胸片
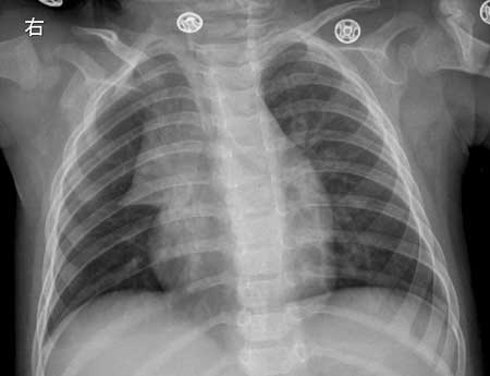
女,1岁,咳嗽1周。




[本贴已被 jiajie 于 2007-5-13 6:48:10 修改过]

作者: swyyy2007    时间: 2007-2-11 22:07
右肺炎症,不张、胸腺增大不除外
作者: sdqzwyx    时间: 2007-2-11 23:50
摄片位置不太正,略呈左前斜,双肺纹理增多、模糊,右上纵隔阴影增宽,呈“船帆”状突向右侧肺野,下缘接近水平与心脏边缘构成切迹(胸腺角)。
诊断:1   支气管炎
      2   正常小儿胸腺(典型),一岁以下的婴儿常易看到胸腺,系生理现象,左前斜位显示最清。
作者: 拾荒者    时间: 2007-2-12 02:48
右上纵隔阴影增宽,呈“船帆”状突向右侧肺野,边缘光滑锐利,典型的小儿胸腺肥大。
由于胸腺在幼儿是重要的预防器官(胸腺t淋巴细胞能预防、阻挡病毒、细菌的侵犯),虽说2~3岁幼儿胸腺肥大常见,但多在感染及发烧时增大明显,而且随着病情的好转,可以有较快的动态变化。因此不能以一句生理现象一带而过,仔细前后比较对临床有参考价值。
作者: 听蝉观竹    时间: 2007-2-12 09:01
“船帆”征系1周岁以内小儿胸腺x线影像,不是“胸腺肥大”或“胸腺增大”,而是正常的胸腺,只是在1周岁以内胸腺相对胸骨和纵隔来说更“宽大”,摄片时容易“露出”来。正如sdqzwyx所说“系生理现象”。
  人出生时,胸腺只有14克-16克,到1周岁,胸腺30克左右,到青春期,胸腺发育到高峰,约35克-45克,以后随着年龄的增长而逐渐加速萎缩,约到50岁左右,这些胸腺大部分被脂肪代替。
作者: wqs571018    时间: 2007-2-14 23:06
船帆”征,系1周岁以内小儿胸腺x线影像.
作者: xiaoniu    时间: 2007-2-24 01:48
标题: 回复:ped0009:胸片
孤帆远影纵隔旁,小儿胸腺不用慌!
作者: 小义    时间: 2007-3-14 03:04
正常把
作者: jinguoji    时间: 2007-3-16 23:44
正常小儿胸腺
作者: jinning    时间: 2007-3-17 05:51
支持楼上
作者: londerhok-ok    时间: 2007-3-18 05:28
正常胸腺
作者: mrdudashu    时间: 2007-3-18 05:29
胸腺
作者: huanghaibn    时间: 2007-3-22 07:34
正常小儿胸腺 , 支持楼上.
作者: ZHANGZHONGSHOU    时间: 2007-3-22 20:53
胸腺肥大   无需治疗
作者: 阿宽    时间: 2007-3-23 04:22
正常小儿胸腺。
作者: blp_lfh    时间: 2007-3-29 00:41
正常吧
作者: londerhok-ok    时间: 2007-3-31 02:38
1支持楼上
2支气管肺炎
作者: guoshiyu858    时间: 2007-3-31 18:55
1.支气管肺炎
2.正常胸腺
作者: 小西红柿    时间: 2007-3-31 22:36
很典型的、常见小儿胸腺。
作者: londerhok-ok    时间: 2007-4-3 00:08
正常小儿胸腺
作者: hexue    时间: 2008-5-28 07:00
标题: 回复:ped0009:胸片
1.支气管肺炎[br]2.正常胸腺




欢迎光临 医影在线 (http://bbs.radida.com/bbs/) Powered by Discuz! X3.2