医影在线

标题: x1640:[求助]胸片,请指教. [打印本页]

作者: mrdudashu    时间: 2007-2-11 21:46
标题: x1640:[求助]胸片,请指教.
(查看结果:http://www.radida.com/bbs/forum.php?mod=viewthread&tid=20973)
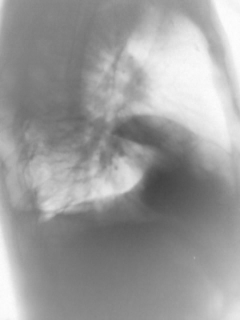
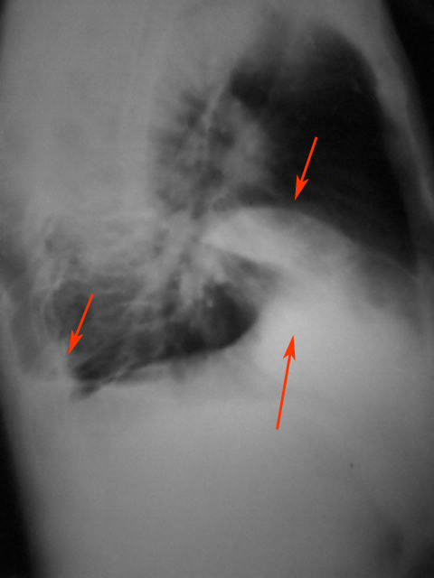
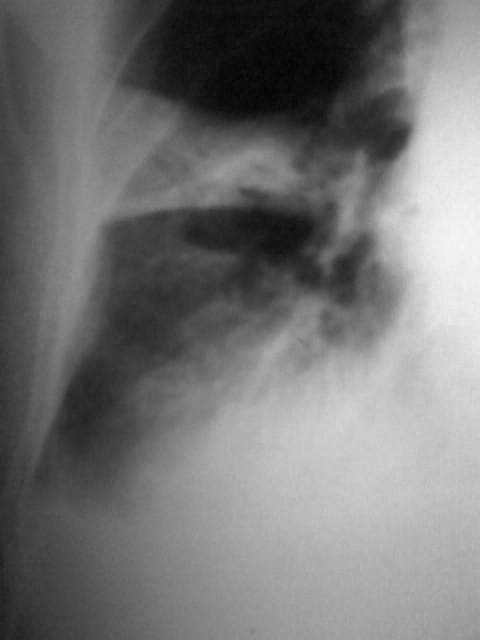
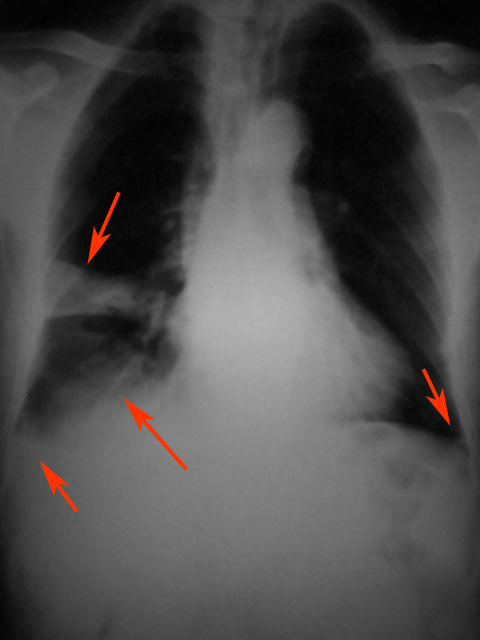
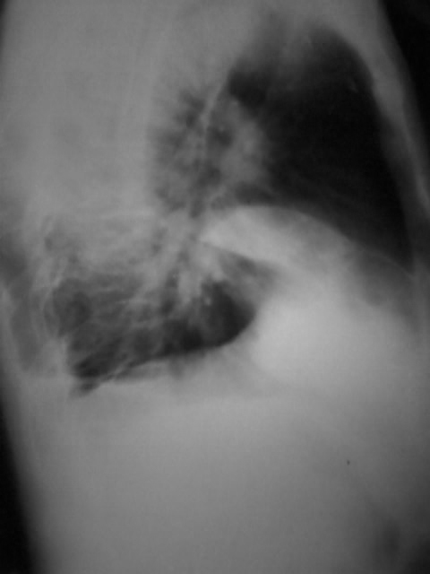
患者男,54岁,咳嗽咯痰伴右胸疼痛5天余.体温正常,一般情况尚可,否认咯血史

[





[本贴已被 jiajie 于 2007-2-13 6:32:33 修改过]

作者: 川北医影    时间: 2007-2-11 22:56
胸膜增厚,右膈模糊,感染
作者: shuqiang1    时间: 2007-2-11 23:24
右中叶片状均匀高密度影,边界清楚,肺门区为见明显肿大的阴影,考虑右中叶综合征,更倾向于炎症,完善必要的实验室检查。
作者: 嫉风笑月    时间: 2007-2-11 23:44
右中叶片状均匀高密度影,边界清楚,考虑右中叶综合征,做个ct吧
作者: zxczxc    时间: 2007-2-11 23:46
右肺中叶占位性病变伴右肺中叶不张。
作者: 魏永民    时间: 2007-2-12 00:04
右肺中叶外段炎症,右胸腔积液
作者: whp    时间: 2007-2-12 01:37
右肺中叶炎症,性质待查.右胸腔积液
作者: jinning    时间: 2007-2-12 01:59
右肺中叶炎症,右侧胸膜炎
作者: zyx168    时间: 2007-2-12 02:51
考虑右肺中叶炎症,右侧胸膜炎,建议抗炎后复查
作者: bjj12345678    时间: 2007-2-12 03:37
还是考虑炎症!!
作者: 815989    时间: 2007-2-12 04:18
右中叶综合征,建议抗炎后复查
作者: jiaju    时间: 2007-2-12 04:59
左肺中叶不张,伴胸腔积液.
作者: 天南地北    时间: 2007-2-12 05:22
考虑右肺中叶炎症,右侧胸膜炎,建议抗炎后复查
作者: loveqd111    时间: 2007-2-12 05:29
考虑:右肺炎症,建议抗炎治疗后复查
作者: marco    时间: 2007-2-12 06:07
考虑右肺中叶炎症,右侧胸膜炎,建议抗炎后复查
作者: 王守平    时间: 2007-2-12 06:23
右肺中下叶炎症并胸膜炎
建议ct排除肺癌
作者: whp7215    时间: 2007-2-12 07:25
综合观察.叶间积液并包裹性积液.右下炎症,胸膜肥厚.
作者: 冰雪阳光    时间: 2007-2-12 19:40
标题: [转帖]回复:x1640:[求助]胸片,请指教.
以下是引用zyx168在2007-2-11 18:51:00的发言:[br]考虑右肺中叶炎症,右侧胸膜炎,建议抗炎后复查

作者: jinguoji    时间: 2007-2-12 20:43
考虑右肺中叶炎症,建议ct
作者: 挥发油    时间: 2007-2-12 23:48
右侧胸腔积液伴右侧水平裂叶间积液;胸膜肥厚;左肋膈角改变,考虑胸膜粘连可能大.各位老师好!能结识此网站是我的荣幸!
作者: 如醉卧风    时间: 2007-2-13 07:21
标题: 回复:x1640:[求助]胸片,请指教.
右肺中叶炎症并膨胀不全,右侧胸膜炎。
作者: jinguoji    时间: 2007-2-13 08:51
结果收到,谢谢!
作者: wy232326    时间: 2007-9-18 18:49
学习了 谢谢
作者: shibing    时间: 2013-5-14 07:28
考虑右中叶综合征,做个ct吧




欢迎光临 医影在线 (http://bbs.radida.com/bbs/) Powered by Discuz! X3.2