医影在线
标题: CT6781:胸椎CT, [打印本页]
作者: 岩光蛋 时间: 2007-2-14 04:40
标题: CT6781:胸椎CT,
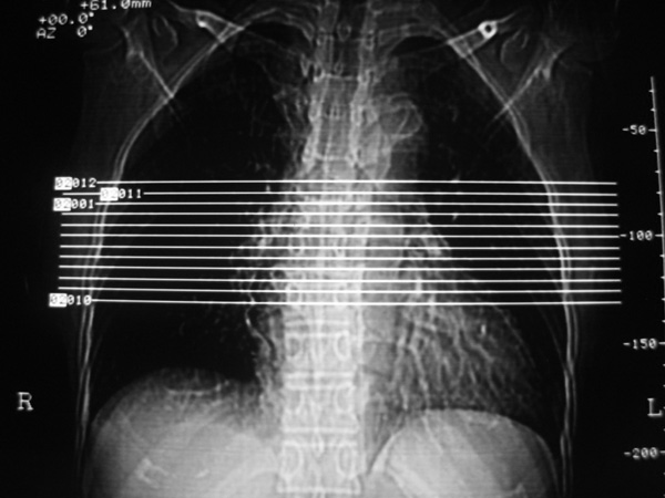
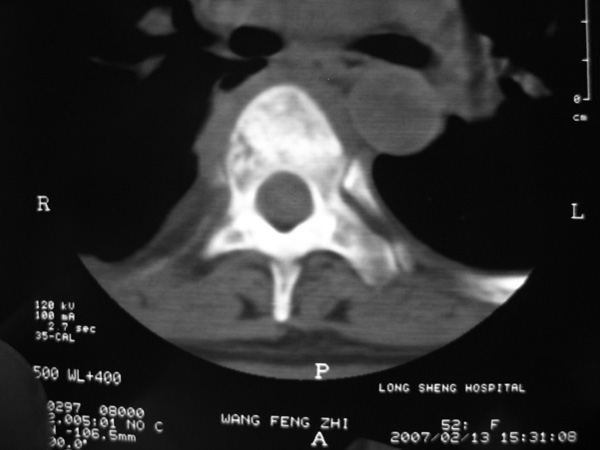
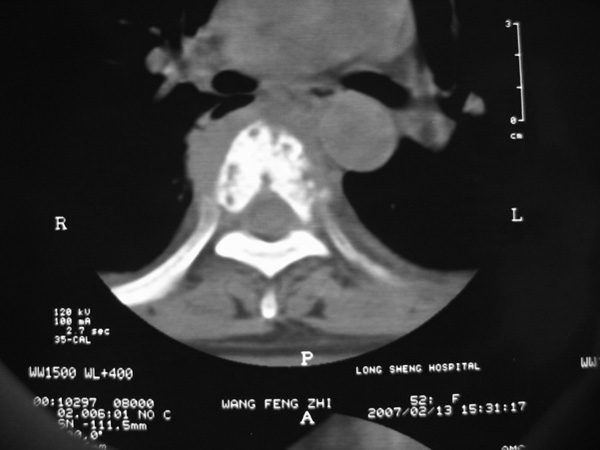
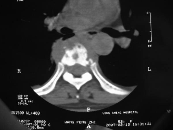
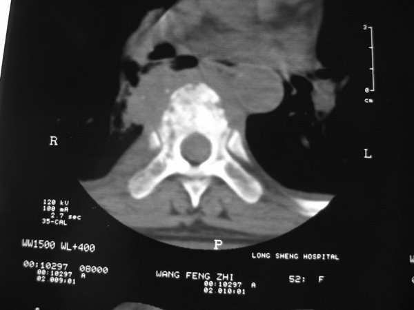
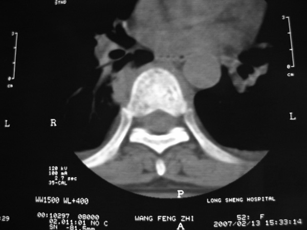
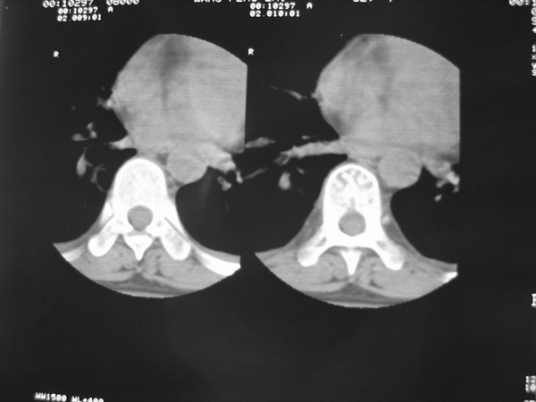
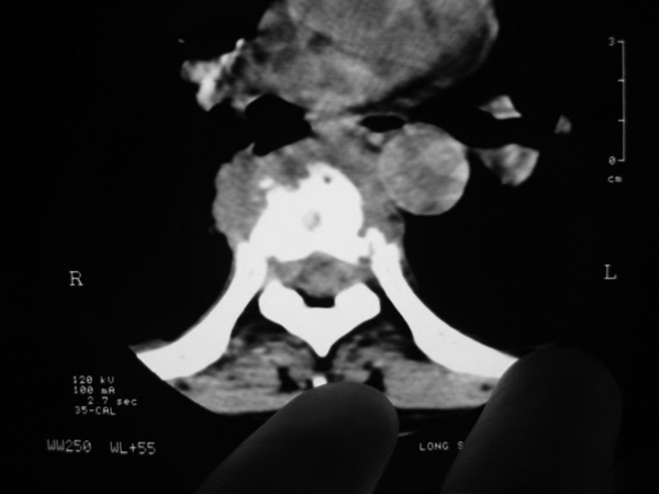
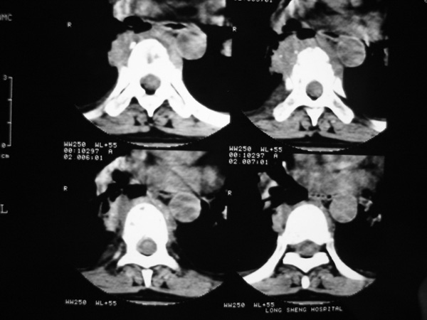
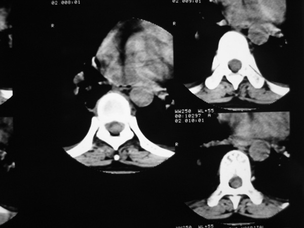
女,45岁,胸背部疼痛2个月。t6、7胸椎病变。















椎旁肿胀的软组织内可见气泡影,对脊柱的化脓性和结核性的鉴别有帮助吗?
[本贴已被 岩光蛋 于 2007-2-13 20:46:22 修改过]
[本贴已被 jiajie 于 2007-2-13 20:48:55 修改过]
作者: 医博云天 时间: 2007-2-14 05:03
胸椎结核。
作者: kbzyycm 时间: 2007-2-14 05:12
胸椎结核伴冷脓肿
作者: 龚 时间: 2007-2-14 05:15
骨窗像结核怎没有了,支持结核。
作者: 黑金 时间: 2007-2-14 05:21
支持
作者: qinwei260 时间: 2007-2-14 05:42
支持胸椎结核伴冷脓肿伴双侧胸腔积液.为何无肺窗.
作者: 如醉卧风 时间: 2007-2-14 05:53
标题: 回复:ct6781:胸椎ct,
以下是引用qinwei260在2007-2-13 21:42:00的发言:[br]支持胸椎结核伴冷脓肿伴双侧胸腔积液.为何无肺窗.
作者: jinning 时间: 2007-2-14 05:56
1:结核,2:恶性肿瘤
作者: xyr123 时间: 2007-2-14 06:01
支持
作者: liuyue 时间: 2007-2-14 06:08
胸椎结核
楼主所指应该是奇静脉食管窝中的肺组织
作者: 未知数xy 时间: 2007-2-14 06:10
胸椎结核
作者: w_jianhua 时间: 2007-2-14 06:30
支持胸椎tb,期待结果
作者: 狙击手 时间: 2007-2-14 06:49
胸椎结核伴冷脓肿形成且侵入椎管。
作者: 国窖1573 时间: 2007-2-14 06:50
支持 8楼楼主意见
作者: jone-baby 时间: 2007-2-14 06:52
支持胸椎结核伴冷脓肿伴双侧胸腔积液
作者: jinguoji 时间: 2007-2-14 06:57
支持胸椎结核伴冷脓肿伴双侧胸腔积液
作者: jiangjing 时间: 2007-2-14 06:59
支持 胸椎结核伴冷脓肿
作者: 天南地北 时间: 2007-2-14 14:57
支持 胸椎结核伴冷脓肿
作者: 卜一 时间: 2007-2-14 16:59
胸椎结核与脊柱椎体化脓性脊柱炎,从影像特点很难鉴别,本例具有二者的共性特点,建议结合临床鉴别以下,我考虑:1 化脓性脊柱炎.2 胸椎结核.原因:1 椎旁脓肿内含气泡.2 椎体溶骨性破坏,但未见死骨.
作者: haha215315 时间: 2007-2-14 17:01
胸椎结核
作者: sn4187189 时间: 2007-2-14 18:06
胸椎结核伴冷脓肿伴双侧胸腔积液
作者: 张承虎 时间: 2007-2-14 18:07
胸椎结核
作者: ruoyuli 时间: 2007-2-14 18:34
标题: 回复:ct6781:胸椎ct,
以下是引用qinwei260在2007-2-13 21:42:00的发言:[br]支持胸椎结核伴冷脓肿伴双侧胸腔积液.为何无肺窗.
作者: ctkz987 时间: 2007-2-14 18:55
标题: 回复:ct6781:胸椎ct,
以下是引用ruoyuli在2007-2-14 10:34:00的发言:[br][quote]以下是引用qinwei260在2007-2-13 21:42:00的发言:[br]支持胸椎结核伴冷脓肿伴双侧胸腔积液.为何无肺窗.
[br][/quote]
作者: 晓杰 时间: 2007-2-14 18:56
支持:胸椎结核
作者: qiuleiyu 时间: 2007-2-14 19:04
胸椎体骨质破坏伴死骨形成,椎周环状软组织肿胀,范围较长,考虑胸椎结核伴冷脓肿形成。鉴别;1转移性肿瘤;椎弓根骨质破坏多见,软组织肿块局限。椎间隙尚存。有原发肿瘤病史。2,淋巴瘤;骨质破坏 然骨皮质轮廓线尚存,当椎管骨示环状软组织影时有一定特异性。病变较局限。建议mri增强,观察冷脓肿与软组织肿块很有帮助。
作者: wj2039 时间: 2007-2-14 20:13
胸椎结核伴冷脓肿形成且侵入椎管。
作者: swyyy2007 时间: 2007-2-14 22:42
胸椎结核与脊柱椎体化脓性脊柱炎,从影像特点很难鉴别,本例具有二者的共性特点,建议结合临床鉴别以下,我考虑:1 胸椎结核.2 化脓性脊柱炎.原因: 椎体溶骨性破坏,但未见死骨.我认为大家说的气泡是假象。
作者: sdw662 时间: 2007-2-15 00:26
支持:胸椎结核
作者: 老爱克斯 时间: 2007-2-15 00:50
结核.
作者: 王明发 时间: 2007-2-15 00:57
支持胸椎结核伴冷脓肿形成,伴双胸腔积液,要是有肺窗就好,可行穿剌活检.
作者: 拾荒者 时间: 2007-2-15 03:41
支持胸椎结核伴冷脓肿伴双侧胸腔积液。
作者: 碧水蓝天 时间: 2007-2-15 03:51
标题: 回复:ct6781:胸椎ct,
以下是引用黑金在2007-2-13 21:21:00的发言:[br]支持
作者: 宝天曼 时间: 2007-2-15 15:05
支持胸椎结核伴冷脓肿伴双侧胸腔积液.
作者: 网事随风 时间: 2007-2-17 01:01
支持胸椎结核伴冷脓肿伴双侧胸腔积液
| 欢迎光临 医影在线 (http://bbs.radida.com/bbs/) |
Powered by Discuz! X3.2 |