医影在线

标题: CT6803:请各位会诊 [打印本页]

作者: zengpc    时间: 2007-2-16 06:29
标题: CT6803:请各位会诊
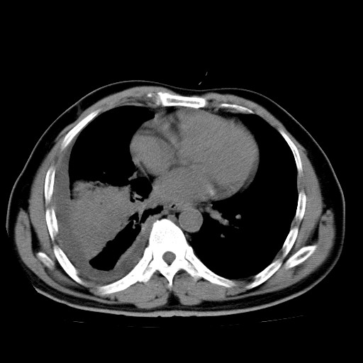
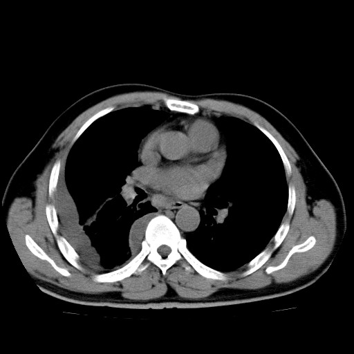
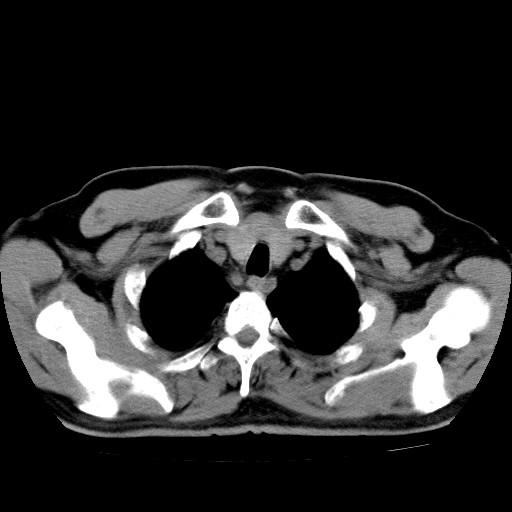
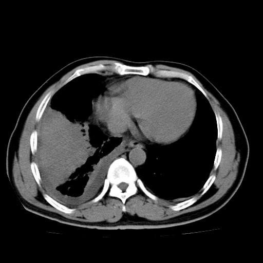
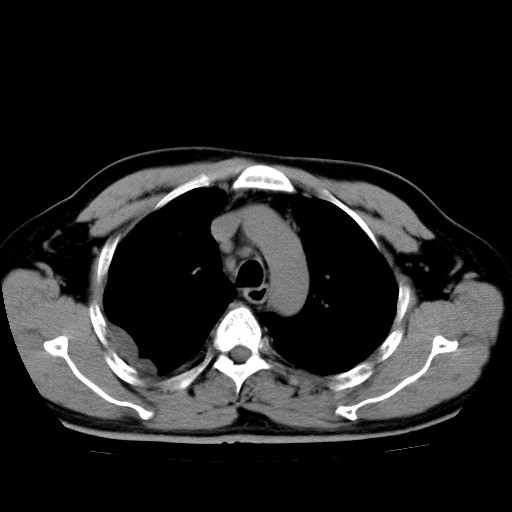
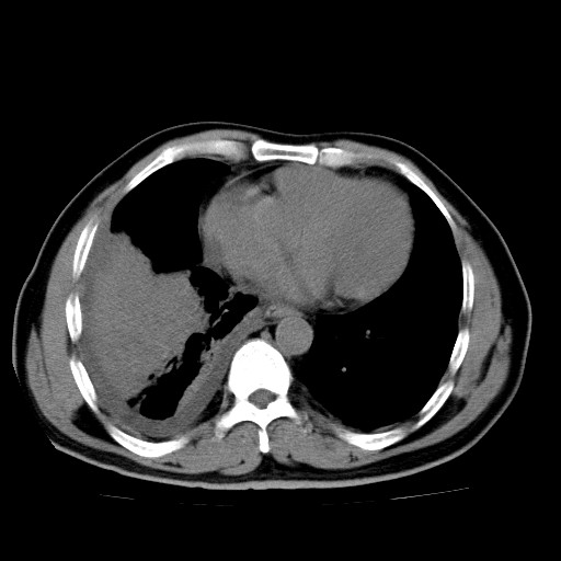
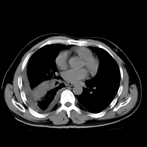
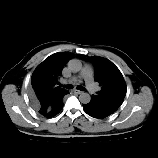
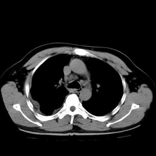
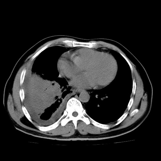
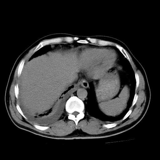
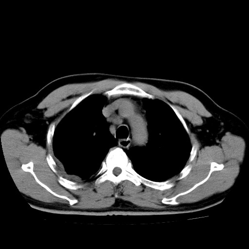
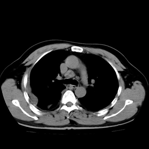
男,54岁,咳嗽,右侧胸痛10天。肺窗>150k,传不了

































[本贴已被 jiajie 于 2007-2-15 22:37:29 修改过]

作者: 如醉卧风    时间: 2007-2-16 07:08
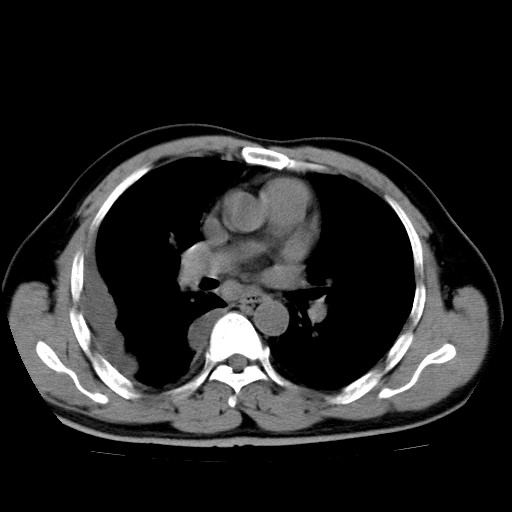
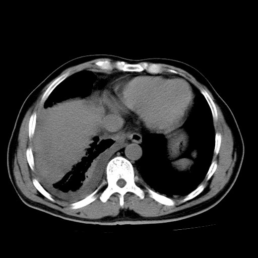
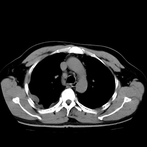
右肺中心型肺癌并右下肺不张,右侧胸膜纵隔转移。
作者: woaixct    时间: 2007-2-16 07:13
右中央型肺癌并右肺下叶不张,纵隔内及右胸膜转移,右胸腔积液
作者: jiangjing    时间: 2007-2-16 07:22
考虑   右肺癌伴右下肺部分不张,阻塞性肺炎,纵隔淋巴结增大,右侧胸腔积液其他待排
作者: 天南地北    时间: 2007-2-16 07:29
右中央型肺癌并右肺下叶不张,纵隔内及右胸膜转移,右胸腔积液
作者: ayi    时间: 2007-2-16 07:31
考虑右肺下叶中央型肺癌并右肺下叶不张,纵隔淋巴结内及右胸膜转移。建议增强。
作者: haha215315    时间: 2007-2-16 16:36
右中央型肺癌并右肺下叶不张,纵隔内及右胸膜转移,右胸腔积液
作者: 卜一    时间: 2007-2-16 16:40
支持:右中央型肺癌并右肺下叶不张,纵隔内及右胸膜转移,右胸腔积液 。
作者: dyqct    时间: 2007-2-16 17:17
右下叶大片实变,肺门未见明显肿块影。有胸腔积液和纵隔内肿大淋巴结影。没有增强和肺窗,不好定。
考虑:1、右下叶周围型肺癌伴胸膜、纵隔淋巴转移?
      2、建议上传肺窗、增强检查。
作者: sunxb1010    时间: 2007-2-16 19:37
右肺中叶不张,考虑为癌性阻塞性可能,可胸膜增厚,纵膈淋巴结肿大.
  建议传肺窗图像
作者: wj2039    时间: 2007-2-16 19:57
右中央型肺癌并右肺下叶不张,纵隔内及右胸膜转移,右胸腔积液
作者: jinning    时间: 2007-2-16 20:04
支持9楼诊断,
右侧怎么会有包裹性积液?
作者: zhanghua2086    时间: 2007-2-17 03:53
右肺癌并胸膜转移
作者: 拾荒者    时间: 2007-2-17 03:55
右下叶大片实变,肺门未见明显肿块影。有胸腔积液和纵隔内肿大淋巴结影。没有增强和肺窗,不好定。
考虑:1、右下叶周围型肺癌伴胸膜、纵隔淋巴转移?
      2、建议纤支镜检查。
作者: jacsibank    时间: 2007-2-17 04:01
右下叶大片性阻塞性肺炎,肺门未见明显肿块影,纵隔内可见肿大淋巴结影,右见右侧胸腔积液及右侧胸膜增厚。
   考虑:右侧中心性肺癌?伴纵隔淋巴结转移。建议上传肺窗。
         阻塞性肺炎。
作者: 黑金    时间: 2007-2-17 04:11
支持10楼
作者: 宝天曼    时间: 2007-2-17 04:53
右中央型肺癌并右肺下叶不张,纵隔内及右胸膜转移,右胸腔积液




欢迎光临 医影在线 (http://bbs.radida.com/bbs/) Powered by Discuz! X3.2