医影在线

标题: CT6804:头颅片,请会诊 [打印本页]

作者: zhongsh    时间: 2007-2-16 06:33
标题: CT6804:头颅片,请会诊
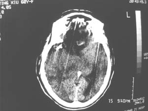
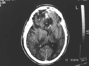
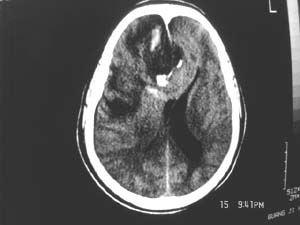
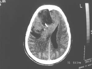
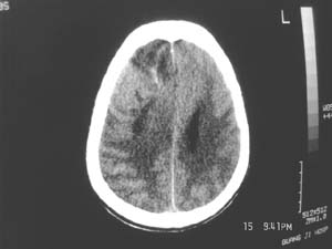
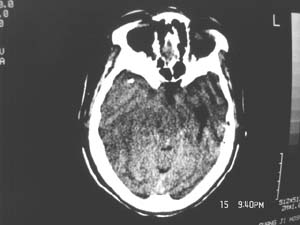
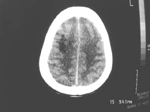
女,60岁,反复头痛3天,呕吐3小时伴昏迷10分钟入院检查。











[本贴已被 jiajie 于 2007-2-15 22:37:08 修改过]

作者: 山佳    时间: 2007-2-16 06:45
右额叶占位,考虑1   胶质瘤  2 少突。。。。
作者: 如醉卧风    时间: 2007-2-16 07:02
转移瘤。与胶质母细胞瘤鉴别。
作者: woaixct    时间: 2007-2-16 07:08
右额叶占位,有占位效应,中线偏移,病灶位于镰旁,呈囊实性并有钙化,
考虑:1.脑膜瘤。2.胶质瘤。
理由:1.病灶位于前颅凹及镰旁,有明显占位效应---支持脑膜瘤。
      2.病灶呈囊实质性并有条状钙化,符合胶质瘤改变;
另外也不排除包虫病的可能。
作者: jiangjing    时间: 2007-2-16 07:16
右额叶占位,有占位效应,中线偏移,病灶位于镰旁,呈囊实性并有钙化 kaolv  少枝胶质瘤。胶质瘤。
作者: ayi    时间: 2007-2-16 07:23
1、额部占位,脑膜瘤可能性大,建议增强扫描。
2、提示蛛网膜下腔出血(少量)。
作者: hy19801980    时间: 2007-2-16 07:46
如果是脑膜瘤的话,就不会有那么明显的占位效应了。有广基征吗
作者: haha215315    时间: 2007-2-16 16:38
还是考虑胶质瘤。
作者: 卜一    时间: 2007-2-16 16:42
支持:少枝胶质瘤.
作者: dyqct    时间: 2007-2-16 17:19
支持右额叶胶质瘤(以少枝胶质细胞瘤可能性大)。
作者: jinning    时间: 2007-2-16 19:22
支持脑膜瘤(少枝胶质瘤)、蛛网膜下腔出血
作者: jinguoji    时间: 2007-2-16 19:23
考虑右额叶胶质瘤。
作者: ysxyy    时间: 2007-2-16 20:11
女,60岁,反复头痛3天,呕吐3小时伴昏迷10分钟入院检查。
烦主楼主测一下高密度的ct值是多少,是钙化还是出血?
结合病史这么短,病情进展迅速,从常见病多发病方面考虑,比较符合脑血管病,故首先考虑出血性脑梗塞;
其次考虑脑肿瘤,是否并有瘤卒中,还是钙化我觉得ct值很重要;
作者: qiuleiyu    时间: 2007-2-16 20:15
病变范围较大,累及左额叶,内见钙化。及高密度灶。考虑;胶母伴卒中可能大。
作者: 拾荒者    时间: 2007-2-17 03:48
标题: 回复:ct6804:头颅片,请会诊
以下是引用ysxyy在2007-2-16 12:11:00的发言:[br]女,60岁,反复头痛3天,呕吐3小时伴昏迷10分钟入院检查。[br]烦主楼主测一下高密度的ct值是多少,是钙化还是出血?[br]结合病史这么短,病情进展迅速,从常见病多发病方面考虑,比较符合脑血管病,故首先考虑出血性脑梗塞;[br]其次考虑脑肿瘤,是否并有瘤卒中,出血还是钙化我觉得ct值很重要;

作者: 黑金    时间: 2007-2-17 04:36
边缘见条片钙化支持少支胶质瘤
作者: wqs571018    时间: 2007-2-17 04:40
边缘见条片钙化,支持少支胶质瘤.
作者: 宝天曼    时间: 2007-2-17 04:56
支持右额叶胶质瘤可能性大




欢迎光临 医影在线 (http://bbs.radida.com/bbs/) Powered by Discuz! X3.2