医影在线

标题: CT6807:脾脏病变,应考虑什么? [打印本页]

作者: woaixct    时间: 2007-2-16 06:57
标题: CT6807:脾脏病变,应考虑什么?
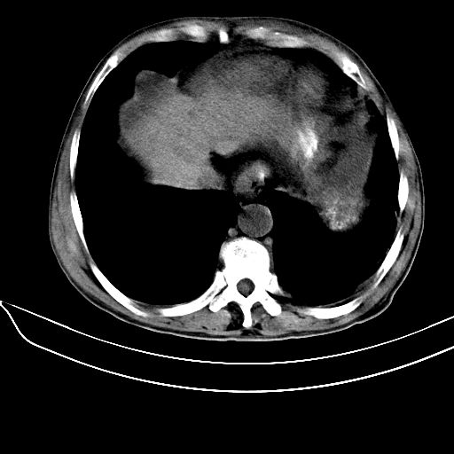
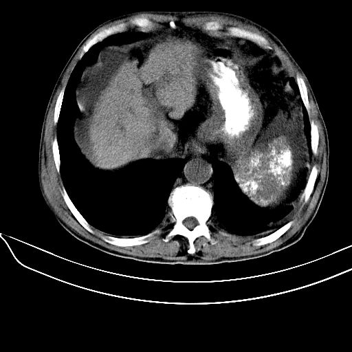
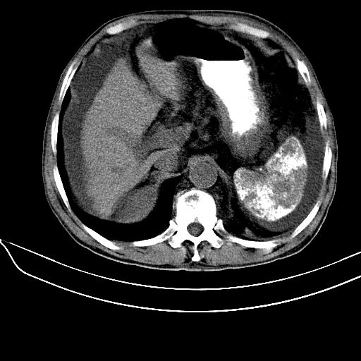
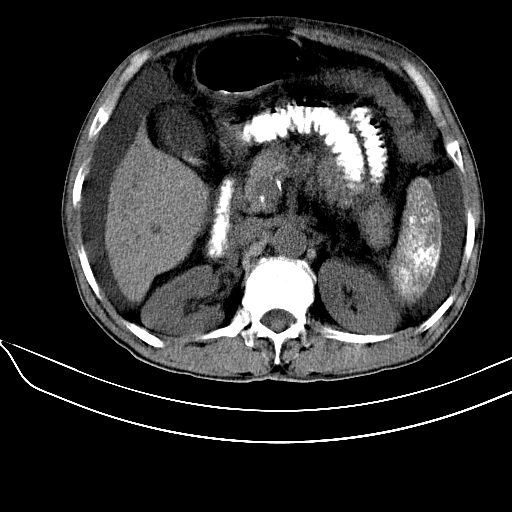
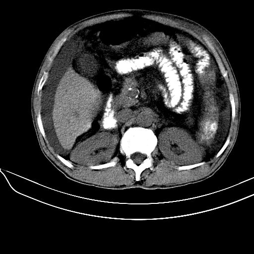
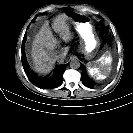
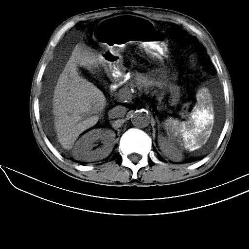
患者64岁,女,腹胀。腹水脾脏内多发高密度,ct值为126hu。













[本贴已被 jiajie 于 2007-2-15 23:06:55 修改过]

作者: 山佳    时间: 2007-2-16 07:15
血吸虫?
作者: hy19801980    时间: 2007-2-16 07:59
肝硬化肯定有的,是肝硬化导致脾脏病变,还是脾脏病变导致肝硬化的哪
作者: weijing    时间: 2007-2-16 08:34
肝硬化肯定有的,ct值那么高是钙化或含铁沉着
作者: sn4187189    时间: 2007-2-16 17:04
首先考虑寄生虫感染,待除外内分泌疾病。
作者: dyqct    时间: 2007-2-16 17:29
考虑:1、肝硬化、腹水;
      2、门脉主干壁钙化(血吸虫所致);
      3、脾广泛钙化(原因同上);
      4、建议查血或肝功、大便。
作者: 卜一    时间: 2007-2-16 18:29
肝硬化可以明确,至于脾脏轻度增大,内部见大量钙化,考虑:脾脏感染性病变(脾脏脓肿,寄生虫或爱滋病等. )后的改变可能性大.
作者: jinguoji    时间: 2007-2-16 19:13
肝硬化、腹水; 门脉主干壁钙化,脾广泛钙化;首先考虑血吸虫所致.
作者: jinning    时间: 2007-2-16 19:27
支持楼上
作者: wj2039    时间: 2007-2-16 20:01
肝硬化、腹水; 门脉主干壁钙化,脾广泛钙化;首先考虑血吸虫所致.
作者: ysxyy    时间: 2007-2-16 20:01
患者64岁,女,腹胀。腹水。脾脏内多发高密度,ct值为126hu。
肝硬化可以肯定,但是脾脏不是很大,要诊断血吸虫病是不是还要结合流行病学,有没有疫情,疫区接触史;
不知本例有没有作过脾栓塞呀?
作者: qiuleiyu    时间: 2007-2-16 20:11
肝硬化明确,同意11楼是否做pse了。不然该考虑血液系统疾病了。血吸虫暂不考虑,1,肝肠无明显钙化。2,钙化形态该为条片状。
作者: 天南地北    时间: 2007-2-16 21:42
第一次见
期待结果
作者: w_jianhua    时间: 2007-2-16 23:36
1.肝硬化并腹水,2。肝内多发低密度影,肝内胆管扩张?建议增强。3。胆囊颈部条形高密度影,结石?4。脾脏广泛钙化,门脉主干壁钙化,考虑感染所致。
作者: jacsibank    时间: 2007-2-17 03:30
标题: 回复:ct6807:脾脏病变,应考虑什么?
以下是引用dyqct在2007-2-16 9:29:00的发言:[br]考虑:1、肝硬化、腹水;[br]      2、门脉主干壁钙化(血吸虫所致);[br]      3、脾广泛钙化(原因同上);[br]      4、建议查血或肝功、大便。[br]

作者: 拾荒者    时间: 2007-2-17 03:35
肝硬化、腹水,脾广泛不均匀高密度影原因?应密切结合病史,病人有没有感染史及造影史?如果都没有可考虑脾海绵状血管瘤钙化。
作者: 幽谷流泉    时间: 2007-2-17 03:45
64岁血管壁钙化也要考虑血吸虫吗?肝硬化肯定。这种脾钙化很像介入术后改变。没见过血吸虫性肝硬化啥样?
作者: 同    时间: 2007-2-17 04:31
肝硬化.腹水.门脉主干壁钙化.脾脏广泛钙化,首先考虑血吸虫所致.
作者: 小兵张嘎    时间: 2007-2-17 05:21
长期肝硬化导致的淤血性脾内钙化,超声杂志见过报道.
作者: 狙击手    时间: 2007-2-17 07:04
脾脏钙化多由炎症或结核引起,寄生虫卵或钙质沉积亦可导致,等等。
作者: swyyy2007    时间: 2007-2-17 17:13
肝硬化,腹水,脾脏的表现没有见过,请各位老师指教
作者: zhw974247    时间: 2007-2-17 18:00
肝硬化、腹水,脾广泛不均匀高密度影原因?应密切结合病史,病人有没有感染史及造影史?如果都没有可考虑长期肝硬化导致的淤血性脾内钙化。




欢迎光临 医影在线 (http://bbs.radida.com/bbs/) Powered by Discuz! X3.2