医影在线
标题: x1667:[原创]胸片 [打印本页]
作者: zhaochen 时间: 2007-2-17 03:07
标题: x1667:[原创]胸片
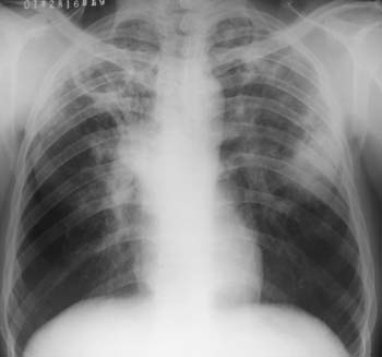
患者,男,46岁,发热咳嗽10余天,咯黄痰,时有痰中带血.
[本贴已被 zhw974247 于 2007-2-16 20:05:53 修改过]
作者: 光线 时间: 2007-2-17 03:27
双肺继发型结核,右肺门影增大,建议ct检查。
作者: zhw974247 时间: 2007-2-17 04:07
双肺继发型结核(右上肺空洞形成)。
作者: jiangjing 时间: 2007-2-17 04:27
考虑肺部感染[结核伴感染可能性大]
作者: 天南地北 时间: 2007-2-17 04:54
标题: 回复:x1667:[原创]胸片
以下是引用zhw974247在2007-2-16 20:07:00的发言:[br]双肺继发型结核(右上肺空洞形成)。
作者: jinguoji 时间: 2007-2-17 05:27
双肺继发型结核(右上肺空洞形成)。
作者: 三人行必 时间: 2007-2-17 06:23
双肺继发型结核(右上肺空洞形成),结合临床病人吐黄痰,合并感染。
作者: heidaoren 时间: 2007-2-17 15:39
比较典型的一个肺结核.大家分析的都对
作者: dyqct 时间: 2007-2-17 16:58
支持:双中上肺继发型结核(右上肺空洞形成)。
作者: haha215315 时间: 2007-2-17 17:34
双肺继发型结核(右上肺空洞形成)。
作者: x-man 时间: 2007-2-17 17:52
支持:双中上肺继发型结核(右上肺空洞形成)。
作者: whp 时间: 2007-2-17 18:14
双肺继发型结核
作者: elity69 时间: 2007-2-17 22:07
双肺继发型结核(右上肺空洞形成),结合临床病人吐黄痰,合并感染
作者: 潘X 时间: 2007-2-18 00:40
标题: 回复:x1667:[原创]胸片
以下是引用三人行必有我师在2007-2-16 22:23:00的发言:[br]双肺继发型结核(右上肺空洞形成),结合临床病人吐黄痰,合并感染。
作者: heidaoren 时间: 2007-2-18 01:58
各位影像学同仁,辛苦了,大家春节好!
作者: sdw662 时间: 2007-2-18 17:04
双肺继发型结核(右上肺空洞形成),结合临床病人吐黄痰,合并感染
作者: 未知数xy 时间: 2007-2-18 17:07
双肺浸润型肺结核 (空洞形成)
作者: arm1998 时间: 2007-2-18 17:46
1。双上肺继发性肺(右上肺空洞形成)
2。右肺门增大,建议ct检查
3。右下肺动脉干增粗,肺心待排
作者: cefcmj 时间: 2007-2-19 03:24
双中上肺继发型结核右上肺空洞形成伴感染。
作者: flygg 时间: 2007-2-19 06:38
双侧胸廓大致对称,肺纹理稍重,右上肺可见圆形空洞,壁光滑,临近肺野内可见散在结节状高密度影,右肺门密度增高,形态变大,并可见有条索状高密度影与空洞连接,左上肺可见点片状,条索状高密度影,左中肺野内可见大片状高密度影,其中心密度稍高,边界清晰,形态不规则,临近可见小片状高密度影与之相连续,左肺上野内亦可见到类圆形稍高密度影,边界上清晰。
考虑: 双肺继发性肺结核(右上肺空洞形成) 左肺感染 建议必要时行ct检查,以进一步明确病变
作者: jinning 时间: 2007-2-20 21:36
支持楼上
作者: 小华 时间: 2007-2-20 22:34
考虑双上肺继发性肺结核并感染,右上肺空洞形成.
作者: ziyuan1113 时间: 2007-2-21 00:42
双肺继发型结核(右上肺空洞形成),结合临床病人吐黄痰,合并感染
作者: zhangkening 时间: 2007-2-23 05:28
右上肺有空洞形成.支持结核诊断.
作者: shibing 时间: 2013-1-19 07:46
建议ct检查。
作者: mujianbao 时间: 2013-3-14 17:23
双肺继发型结核(右上肺空洞形成)。
| 欢迎光临 医影在线 (http://bbs.radida.com/bbs/) |
Powered by Discuz! X3.2 |