医影在线

标题: CT6865:颅脑CT [打印本页]

作者: jinning    时间: 2007-2-25 03:09
标题: CT6865:颅脑CT
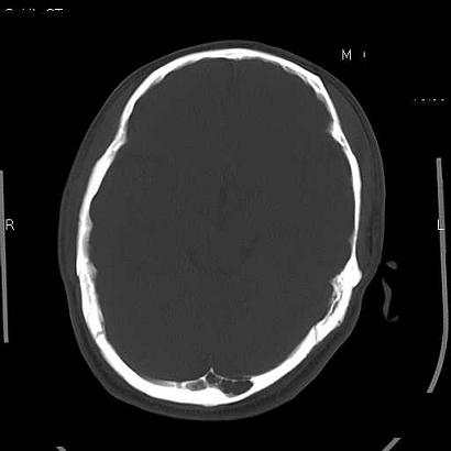
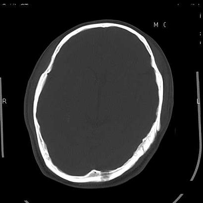
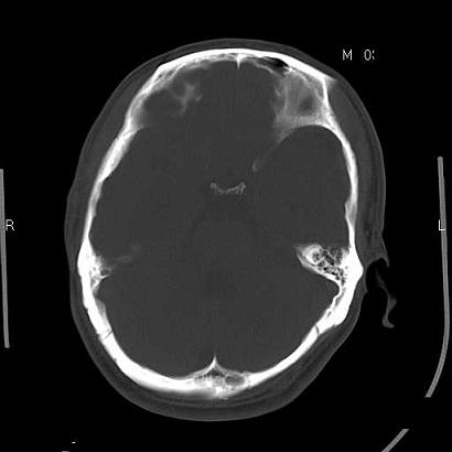
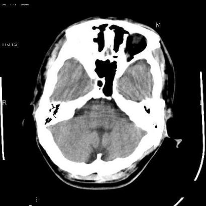
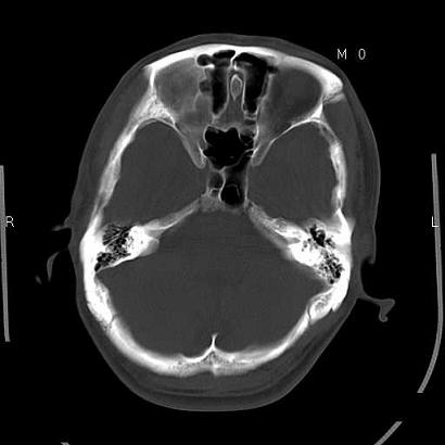
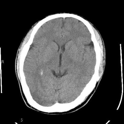
男,39岁,外伤来诊,老师们看看枕骨是什么病













[本贴已被 jiajie 于 2007-2-24 19:56:32 修改过]

作者: guanguan1978    时间: 2007-2-25 03:31
象骨样骨瘤吗??
作者: 浮华    时间: 2007-2-25 04:15
这人也老大不小了,是枕骨的静脉湖吧??
作者: duguo    时间: 2007-2-25 04:19
蛛网膜颗粒压迹?
作者: 浮华    时间: 2007-2-25 04:20
枕骨静脉湖,常位于枕骨中线附近的板障间,多见于老年人,没得临床意义的。
作者: 黑金    时间: 2007-2-25 04:21
蛛网膜粒压迹
作者: 晓杰    时间: 2007-2-25 04:44
支持枕骨静脉湖
作者: dyqct    时间: 2007-2-25 04:46
支持5楼意见。
作者: zhaochen    时间: 2007-2-25 05:00
支持枕骨静脉湖
作者: 天南地北    时间: 2007-2-25 05:23
1:支持枕骨静脉湖2:不排除嘻酸性肉芽肿。
作者: 狙击手    时间: 2007-2-25 05:58
不常见,难说。
作者: 如醉卧风    时间: 2007-2-25 06:03
枕骨粗隆部的舒松板障.
作者: jinning    时间: 2007-2-25 06:12
谢谢各位老师的意见,能不能详细点,我们在工作中见到此类病例挺多,就不知如何诊断
作者: jinguoji    时间: 2007-2-25 06:16
支持枕骨静脉湖
作者: jone-baby    时间: 2007-2-25 06:59
哪位老师给讲解下(静脉湖)是什么意思,我没听说过这个名词。先谢啦!
作者: 独行客    时间: 2007-2-25 07:30
枕骨静脉湖,常位于枕骨中线附近的板障间.
作者: sunxb1010    时间: 2007-2-25 15:48
同意5楼
作者: x-man    时间: 2007-2-25 16:40
支持枕骨静脉湖,常见于老年人.
作者: 卜一    时间: 2007-2-25 16:41
蛛网膜粒压迹
作者: 山佳    时间: 2007-2-25 16:47
正常变异
作者: chmb    时间: 2007-2-25 16:57
第一回见,希望老师们具体讲讲枕骨静脉湖。
作者: haha215315    时间: 2007-2-25 17:07
1:支持枕骨静脉湖2:不排除嘻酸性肉芽肿。
作者: 迎客松abc    时间: 2007-2-25 17:52
支持枕骨静脉湖
作者: shuhuang2007    时间: 2007-2-25 17:57
支持枕骨静脉湖。
作者: fumaogui    时间: 2007-2-25 17:58
没临床意义.可能是蛛网膜颗粒压迹或扩张的板障静脉.
作者: weijing    时间: 2007-2-25 18:42
1:支持枕骨静脉湖2:不排除嘻酸性肉芽肿。
作者: jod51    时间: 2007-2-25 20:59
是静脉湖?
作者: ayi    时间: 2007-2-25 21:00
枕骨静脉湖。
作者: tanjiuzhe313    时间: 2007-2-25 22:24
标题: 回复:ct6865:颅脑ct
以下是引用fumaogui在2007-2-25 9:58:00的发言:[br]没临床意义.可能是蛛网膜颗粒压迹或扩张的板障静脉.

作者: swyyy2007    时间: 2007-2-25 22:43
见过类似的征象,都是考虑了蛛网膜粒压迹,今天向各位老师学习了
作者: gaozhengyi    时间: 2007-2-25 22:48
蛛网膜颗粒压迹。
蛛网膜颗粒压迹特点:位于中线两侧的颅骨圆形或类圆形低密度影,常多发,可融合,边缘有硬化缘,无软组织肿块。
作者: 朱磊    时间: 2007-2-25 22:53
1:支持枕骨静脉湖2:不排除嘻酸性肉芽肿。  
   
  枕骨静脉湖,常位于枕骨中线附近的板障间,多见于老年人,没得临床意义的。
作者: 红樱枪    时间: 2007-2-25 22:58
正常表现
作者: 汪涛同志    时间: 2007-2-26 02:36
标题: 回复:ct6865:颅脑ct
以下是引用gaozhengyi在2007-2-25 14:48:00的发言:[br]蛛网膜颗粒压迹。[br]蛛网膜颗粒压迹特点:位于中线两侧的颅骨圆形或类圆形低密度影,常多发,可融合,边缘有硬化缘,无软组织肿块。

支持高老师
作者: 拾荒者    时间: 2007-2-26 03:38
枕内隆突左缘板障区示不规则囊状透亮区,颅骨内外板规整,无膨胀及缺损,周围无软组织肿块,考虑板障血管性病变,1.板障静脉湖,2.枕骨血管瘤(局部无膨胀性改变,无硬化环及钙斑影,故不太支持)。
作者: 宝天曼    时间: 2007-2-26 05:18
枕骨静脉湖,常位于枕骨中线附近的板障间.
作者: 浮华    时间: 2007-3-2 02:10
蛛网膜颗粒压迹不会象这样有清晰的内板显示的!压迹压迹肯定是把内板压到板障里撒!各位老师同意不?




欢迎光临 医影在线 (http://bbs.radida.com/bbs/) Powered by Discuz! X3.2