医影在线

标题: PED0013:[讨论]头颅病变 [打印本页]

作者: 过江龙    时间: 2007-2-26 19:07
标题: PED0013:[讨论]头颅病变
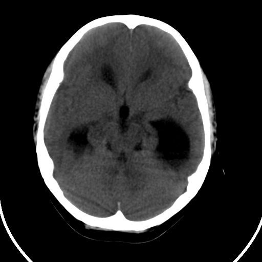
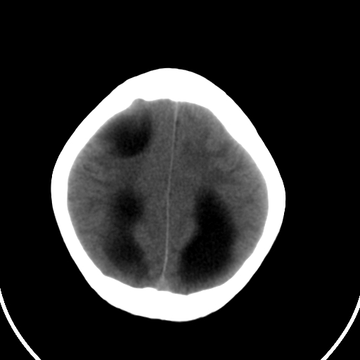
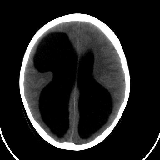
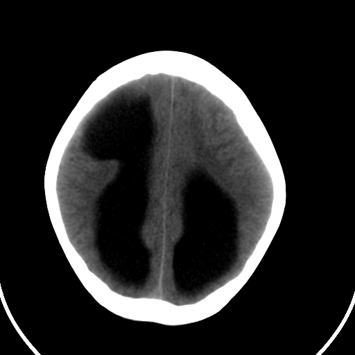
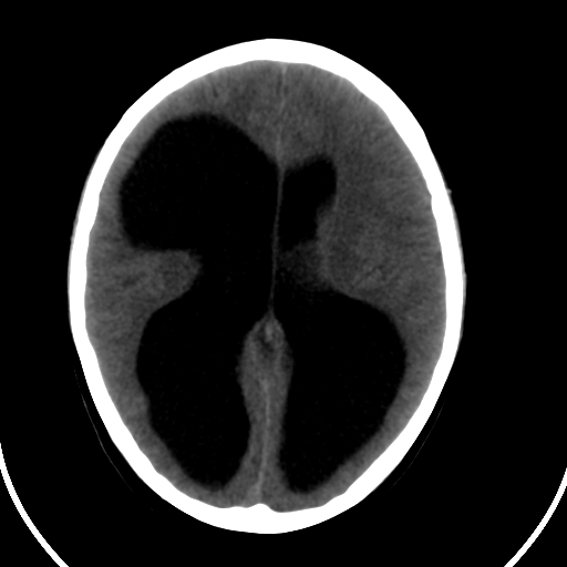
男,11岁












[本贴已被 jiajie 于 2007-2-26 14:21:41 修改过]

作者: ctkz987    时间: 2007-2-26 19:11
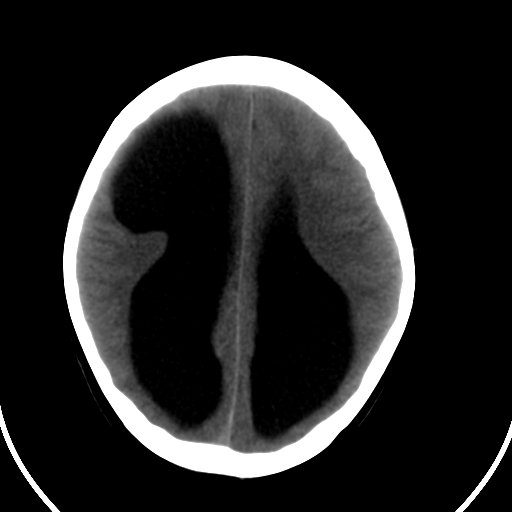
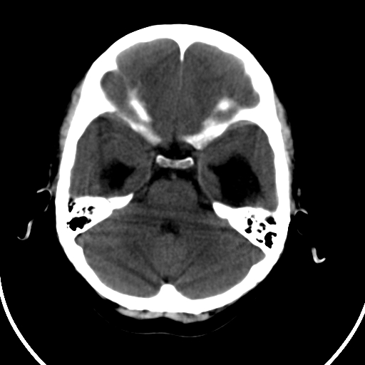
重度脑积水,但第四脑室扩大不明显,考虑导水管阻塞,建议mr。
作者: lnhsdm    时间: 2007-2-26 19:13
梗阻性脑积水,建议mri检查
作者: hailanzi    时间: 2007-2-26 19:31
脑积水,建议mr
作者: w_jianhua    时间: 2007-2-26 19:42
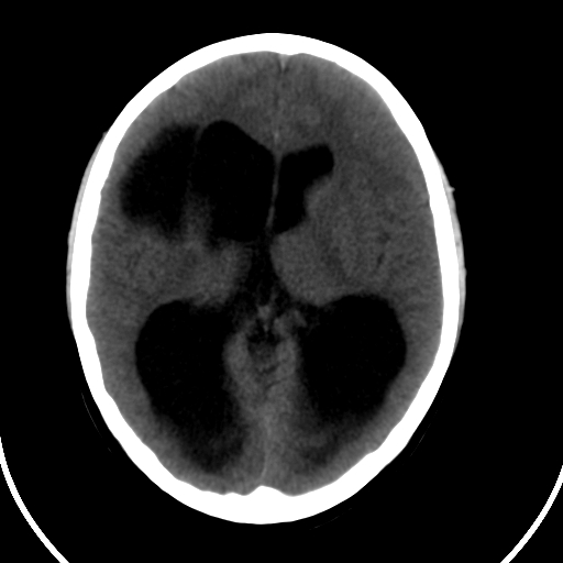
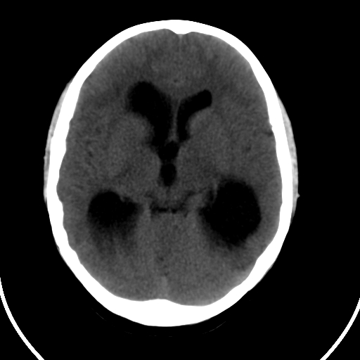
右额叶单发近圆形低密度影,周边光滑,与侧脑室相通,考虑为孔洞脑并阻塞性脑积水。
作者: 天南地北    时间: 2007-2-26 20:07
支持:梗阻性脑积水,建议mri检查
作者: shiqingfa    时间: 2007-2-26 20:53
阻塞性脑积水并脑裂畸形
作者: wnlyq8688    时间: 2007-2-26 21:25
标题: 回复:[讨论]头颅病变
以下是引用天南地北在2007-2-26 12:07:00的发言:[br]支持:梗阻性脑积水,建议mri检查

作者: 小桥流水    时间: 2007-2-26 21:28
右额叶内见一边界清楚,脑脊液密度的囊腔,无灰质内衬,并与脑室相通,四室以上脑室系统高度扩张。诊断:先天性脑穿通畸形伴梗阻性脑积水
需要与脑裂畸形鉴别:可见单侧或双侧衬有皮层的脑裂伸入额顶叶的白质内并与脑室相通
作者: jinguoji    时间: 2007-3-16 23:33
梗阻性脑积水,建议mri检查
作者: jinning    时间: 2007-3-17 06:08
右额叶内见一边界清楚,脑脊液密度的囊腔,无灰质内衬,并与脑室相通,四室以上脑室系统高度扩张。诊断:先天性脑穿通畸形伴梗阻性脑积水
作者: mrdudashu    时间: 2007-3-18 05:35
脑积水
作者: chrngzhixung    时间: 2007-3-22 03:39
脑穿通畸形并梗阻性脑积水.
作者: 李晓阳    时间: 2007-3-22 04:06
脑穿通畸形囊肿脑积水
作者: yuhongjun    时间: 2010-11-7 06:40
支持:梗阻性脑积水,建议mri检查




欢迎光临 医影在线 (http://bbs.radida.com/bbs/) Powered by Discuz! X3.2