医影在线

标题: PED0014:左足病变请诊断,急求 [打印本页]

作者: yxwsd    时间: 2007-2-27 03:46
标题: PED0014:左足病变请诊断,急求
(结果公布:http://www.radida.com/bbs/forum.php?mod=viewthread&tid=27719)
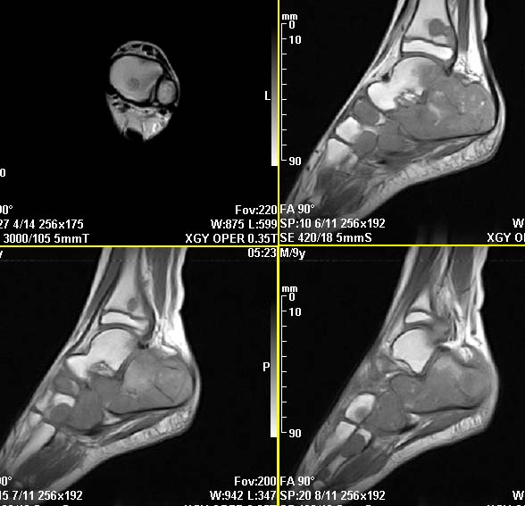
m,9y,左足肿痛半年,无皮肤发红,诱因为外伤后起因。无发烧,无其他疾病。临床考虑多发血管瘤。mri增强后有强化,请分析。是骨髓瘤吗?











[本贴已被 jiajie 于 2007-7-26 22:58:27 修改过]

作者: qiuleiyu    时间: 2007-2-27 03:56
左足多发囊状膨胀性骨质破坏,边较清,关节间隙及软组织未见明显异常。结合临床。可排除炎症性病变。病变中心为骨髓腔。有强化。中心坏死。嗜酸性肉芽肿可能大。
作者: 晓杰    时间: 2007-2-27 04:09
多发内生性软骨瘤
作者: 天南地北    时间: 2007-2-27 05:07
不会看mr
结合临床考虑血管瘤侵犯左足骨质。
作者: yxwsd    时间: 2007-3-16 02:00
今天从天津肿瘤医院传来消息:病理结果是非骨化性纤维瘤。
作者: jinning    时间: 2007-3-17 06:15
学习了
作者: jinguoji    时间: 2007-7-27 05:49
标题: 回复:ped0014:左足病变请诊断,急求
以下是引用yxwsd在2007-3-15 18:00:00的发言:[br]今天从天津肿瘤医院传来消息:病理结果是非骨化性纤维瘤。

学习了!
作者: ZHANGZHONGSHOU    时间: 2007-7-27 06:24
为啥没有平片呢?平片就能诊断了吧
作者: 尚峰    时间: 2007-7-27 07:09
标题: 回复:ped0014:左足病变请诊断,急求
以下是引用zhangzhongshou在2007-7-26 22:24:00的发言:[br]为啥没有平片呢?平片就能诊断了吧

平片也诊断不了,这种非骨化性纤维瘤实在是太罕见了,如果资料全,病理可靠,可以作一个病例报道了。
作者: dyqct    时间: 2007-7-28 00:36
多发,少见。
作者: jkydlj    时间: 2007-7-28 00:42
不典型!
作者: qc80012345    时间: 2007-7-28 09:08
非骨化性纤维瘤病例很好。多发些。
作者: zxczxc    时间: 2007-8-5 04:58
非骨化性纤维瘤。学习了。多发。
作者: xlhdxh    时间: 2007-8-14 18:44
学习了,,,,以后再也不敢胡乱下诊断了,,,太出乎意外了,,病理准不?????
作者: ZHONGXINMR    时间: 2009-5-22 01:34
呵呵,学习了




欢迎光临 医影在线 (http://bbs.radida.com/bbs/) Powered by Discuz! X3.2