医影在线
标题: PED0015:男,8M,发现不会坐立及神情异常,前囟已闭,双眼斜视, [打印本页]
作者: x-man    时间: 2007-2-28 19:23
标题: PED0015:男,8M,发现不会坐立及神情异常,前囟已闭,双眼斜视,












[本贴已被 x-man 于 2007-2-28 12:17:21 修改过]
[本贴已被 jiajie 于 2007-2-28 19:05:04 修改过]
作者: dyqct    时间: 2007-2-28 19:36
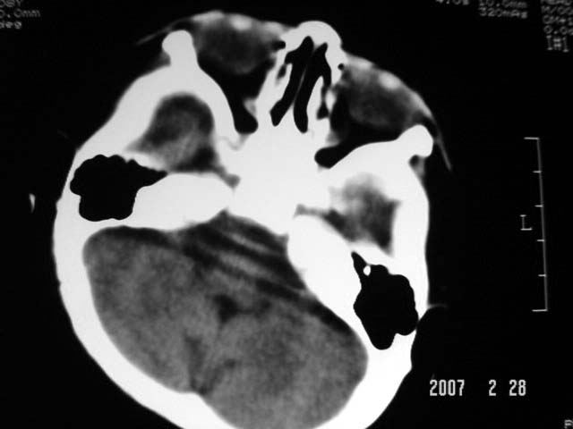
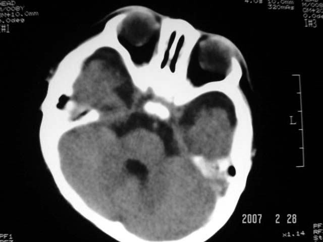
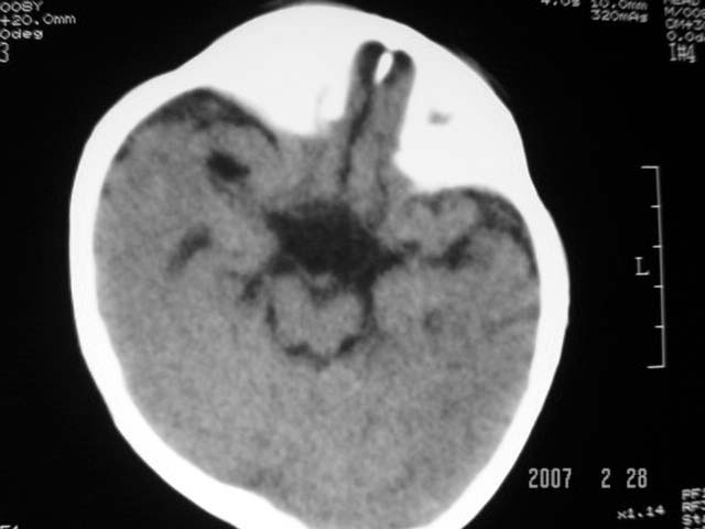
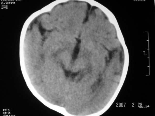
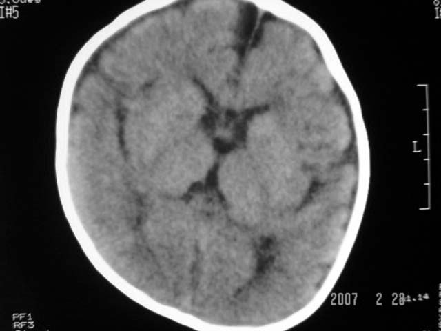
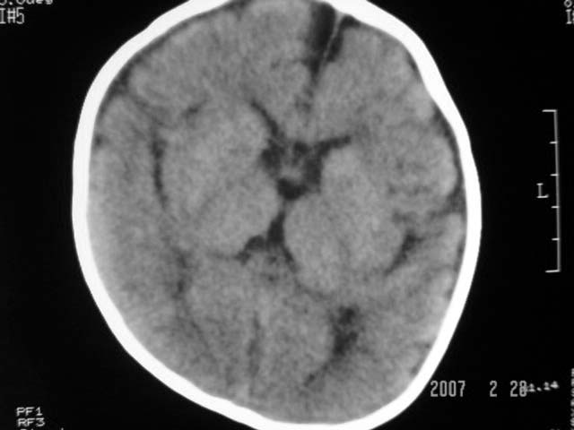
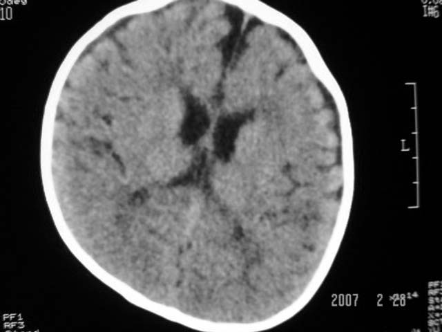
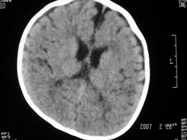
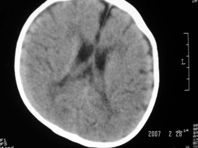
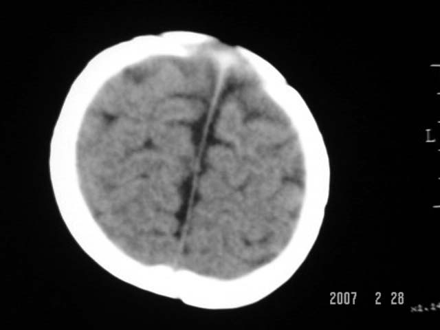
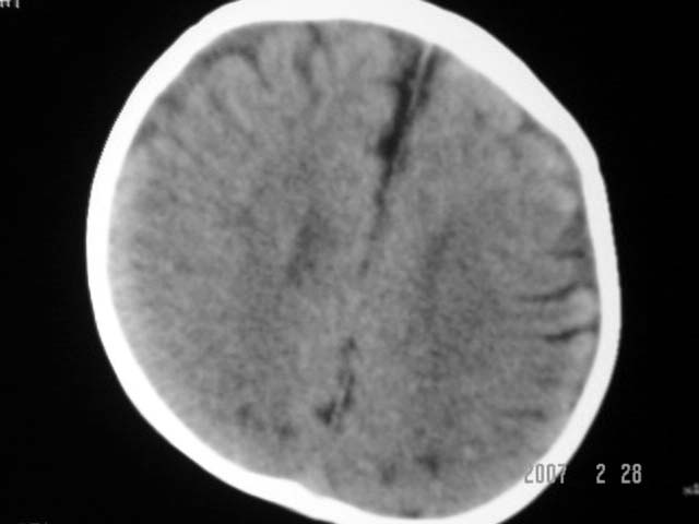
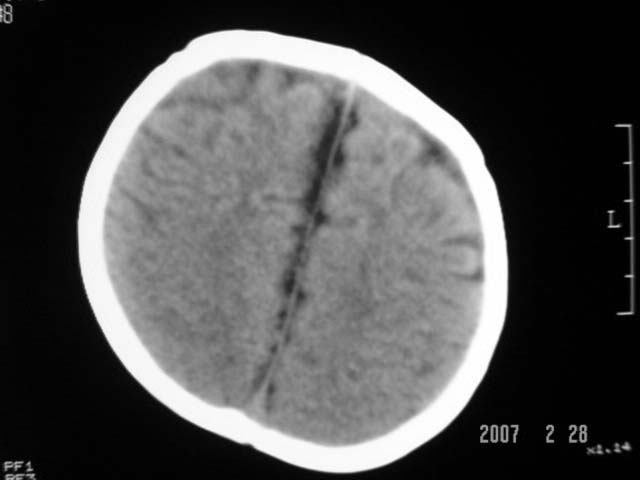
脑回较深,白质范围小,灰白质比例失调。余未见明显异常。
考虑:脑白质发育不良,必要时请做mri进一步检查。
作者: yang123456    时间: 2007-2-28 20:24
支持楼上意见。
作者: 林林林    时间: 2007-2-28 20:25
若不是版主提示,本人看不出异常,学习了,谢谢!
作者: 天南地北    时间: 2007-2-28 20:26
标题: 回复:男,8m,发现不会坐立及神情异常,前囟已闭,双眼斜视,
以下是引用dyqct在2007-2-28 11:36:00的发言:[br]脑回较深,白质范围小,灰白质比例失调。余未见明显异常。[br]考虑:脑白质发育不良,必要时请做mri进一步检查。
作者: jinguoji    时间: 2007-2-28 20:29
标题: 回复:男,8m,发现不会坐立及神情异常,前囟已闭,双眼斜视,
以下是引用dyqct在2007-2-28 11:36:00的发言:[br]脑回较深,白质范围小,灰白质比例失调。余未见明显异常。[br]考虑:脑白质发育不良,必要时请做mri进一步检查。
支持!学习了!谢谢!
作者: 卜一    时间: 2007-2-28 22:47
支持2楼邓老师的见解!
作者: jinning    时间: 2007-3-1 00:57
建议mr
作者: 清风照影来    时间: 2007-3-1 01:37
支持2楼邓老师的见解!
作者: 拾荒者    时间: 2007-3-6 02:54
标题: 回复:ped0015:男,8m,发现不会坐立及神情异常,前囟已闭,双眼
以下是引用dyqct在2007-2-28 11:36:00的发言:[br]脑回较深,白质范围小,灰白质比例失调。余未见明显异常。[br]考虑:脑白质发育不良,必要时请做mri进一步检查。
支持!
作者: yuhongjun    时间: 2010-11-7 06:10
引用第1楼dyqct于2007-02-28 19:36发表的  :
脑回较深,白质范围小,灰白质比例失调。余未见明显异常。
考虑:脑白质发育不良,必要时请做mri进一步检查。 
 
| 欢迎光临 医影在线 (http://bbs.radida.com/bbs/) | 
Powered by Discuz! X3.2 |