医影在线

标题: PED0016:脊膜膨出 [打印本页]

作者: 丝路花雨    时间: 2007-2-28 22:55
标题: PED0016:脊膜膨出
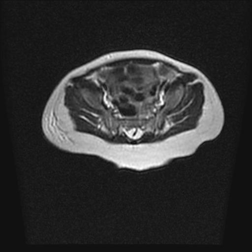
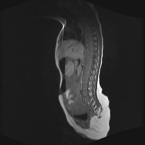
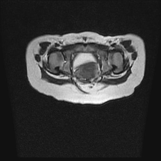
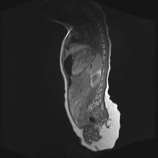
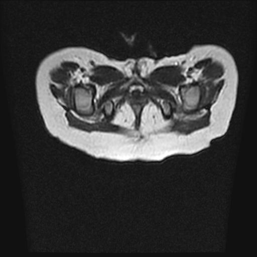
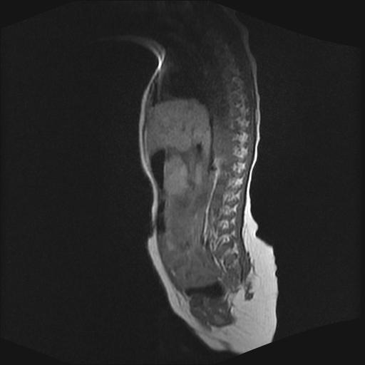
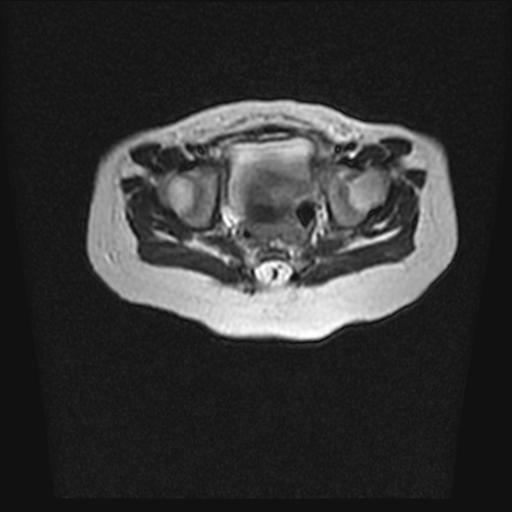
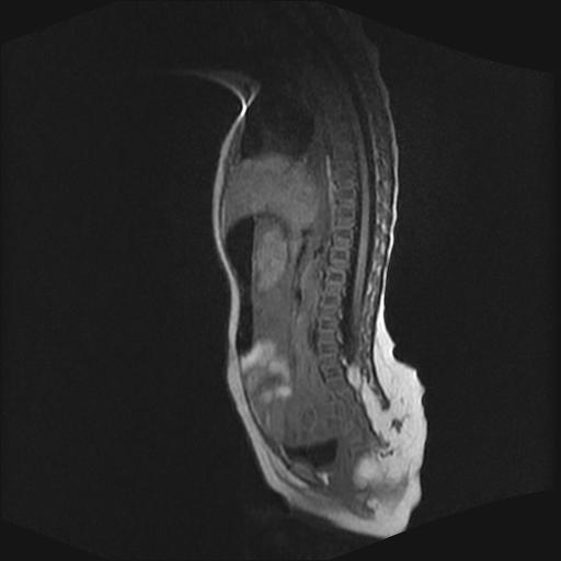
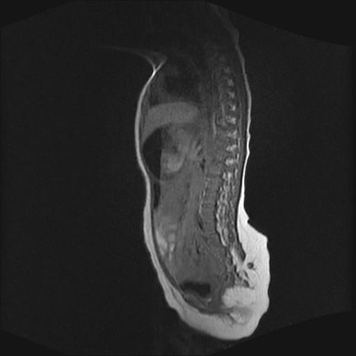
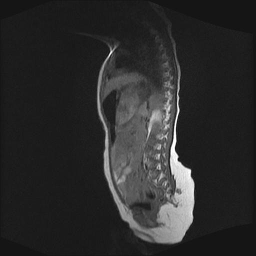
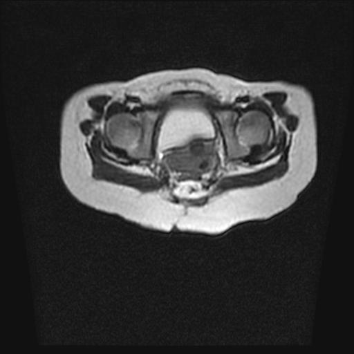
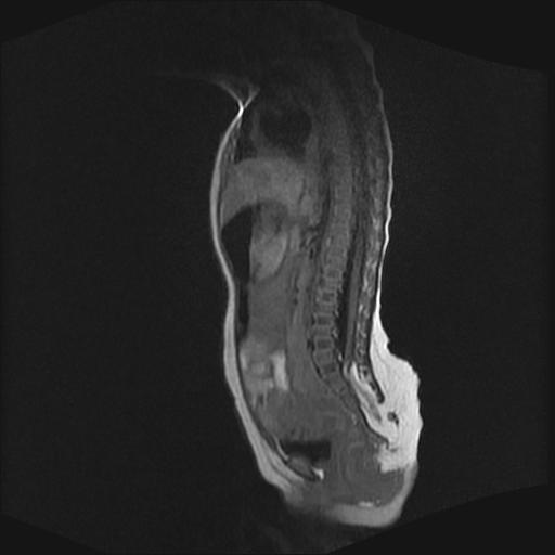
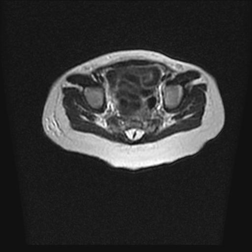
四个月的女婴,ct示脊膜膨出.



























[本贴已被 jiajie 于 2007-2-28 19:47:41 修改过]

作者: 丝路花雨    时间: 2007-3-1 22:59
怎么没一个人发帖子呀!
作者: 李晓阳    时间: 2007-3-5 07:05
脊柱裂、脊膜膨出,请结合临床除外皮毛窦。
作者: zyx168    时间: 2007-3-13 00:56
脂肪脊髓脊膜膨出
作者: jinguoji    时间: 2007-3-16 23:46
脊柱裂、脊膜膨出
作者: jinning    时间: 2007-3-17 05:36
脊柱裂、脊膜膨出




欢迎光临 医影在线 (http://bbs.radida.com/bbs/) Powered by Discuz! X3.2