
















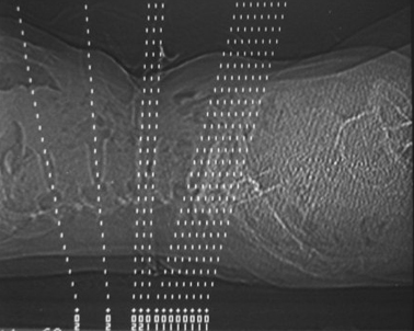
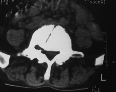
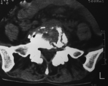
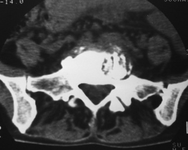
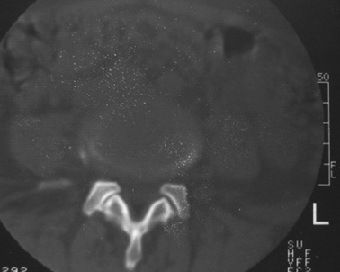
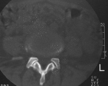
以下是引用dyqct在2007-3-1 18:04:00的发言:[br]腰5、骶1呈溶冰状骨质破坏,边界清楚,无明显硬化,内见多数沙粒状死骨,周围软组织肿胀。[br]考虑:腰5、骶1结核,建议严格抗结核治疗后复查。
以下是引用gaoxiao在2007-3-1 18:02:00的发言:[br]腰5骶1椎体见骨质破坏,其内见死骨形成,椎前软组织肿胀,感染性病变,腰骶椎tb。
以下是引用gaozhengyi在2007-3-1 19:39:00的发言:[br]骨质破坏并砂砾样死骨为椎体结核的表现。椎体结核骨质破坏区的特点是呈虫蚀状,常可见硬化缘。死骨表现为片状高密度影,正如本例。
以下是引用dyqct在2007-3-1 18:04:00的发言:[br]腰5、骶1呈溶冰状骨质破坏,边界清楚,无明显硬化,内见多数沙粒状死骨,周围软组织肿胀。[br]考虑:腰5、骶1结核,建议严格抗结核治疗后复查。
以下是引用拾荒者在2007-3-1 19:43:00的发言:[br][quote]以下是引用gaozhengyi在2007-3-1 19:39:00的发言:[br]骨质破坏并砂砾样死骨为椎体结核的表现。椎体结核骨质破坏区的特点是呈虫蚀状,常可见硬化缘。死骨表现为片状高密度影,正如本例。
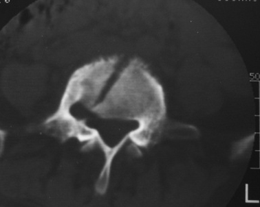
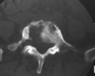
以下是引用织梦在2007-3-1 21:17:00的发言:[br]腰5椎体骨质碎裂,密度增高,边缘较毛糙,椎体内可见一斜行透亮线及骨质硬化,周围软组织肿胀不明显。本人认为还应该再仔细询问病史,看是否有外伤史。这个病例我考虑腰5椎体陈旧性骨折继发感染可能。
以下是引用织梦在2007-3-1 21:17:00的发言:[br]腰5椎体骨质碎裂,密度增高,边缘较毛糙,椎体内可见一斜行透亮线及骨质硬化,周围软组织肿胀不明显。本人认为还应该再仔细询问病史,看是否有外伤史。这个病例我考虑腰5椎体陈旧性骨折继发感染可能。
以下是引用dyqct在2007-3-1 18:04:00的发言:[br]腰5、骶1呈溶冰状骨质破坏,边界清楚,无明显硬化,内见多数沙粒状死骨,周围软组织肿胀。[br]考虑:腰5、骶1结核,建议严格抗结核治疗后复查。
| 欢迎光临 医影在线 (http://bbs.radida.com/bbs/) | Powered by Discuz! X3.2 |