医影在线
标题: CT6935:[原创]颅脑 [打印本页]
作者: xcc106 时间: 2007-3-2 02:13
标题: CT6935:[原创]颅脑
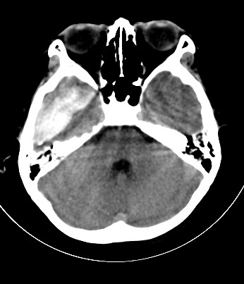
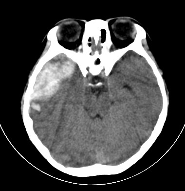
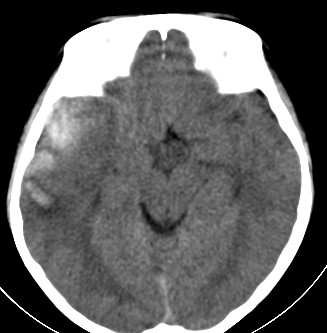
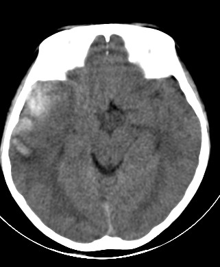
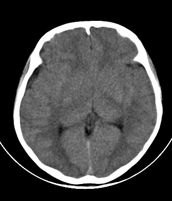
外伤一天,m,21y,骨窗示右颞骨骨折.







[本贴已被 jiajie 于 2007-3-1 18:34:36 修改过]
作者: xcc106 时间: 2007-3-2 02:28
请大家看看,是脑内还是脑外(硬膜下还是硬膜外).请说说理由.谢谢.
作者: dyqct 时间: 2007-3-2 02:45
支持右颞区硬膜外血肿。
作者: wqs571018 时间: 2007-3-2 02:46
应是脑内,且有占位。
作者: 钥匙 时间: 2007-3-2 02:46
硬膜下血肿
作者: 卜一 时间: 2007-3-2 02:46
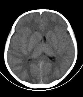
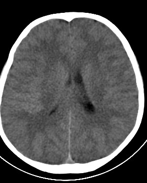
脑内及脑外并存。即:脑挫裂伤并硬膜下血肿。原因:1 后方条片状高密度影周围见水肿带。2 同侧上方 硬膜下间隙增宽。
作者: 医博云天 时间: 2007-3-2 02:48
应该是脑挫伤出血,脑内改变啊!
作者: 1983 时间: 2007-3-2 03:12
脑挫裂伤并硬膜下血肿
作者: zhanghua2086 时间: 2007-3-2 03:16
右颞叶脑挫裂伤
作者: ctkz987 时间: 2007-3-2 03:25
右颞叶脑挫裂伤出血
作者: 朱亮 时间: 2007-3-2 03:27
内血肿
作者: 拾荒者 时间: 2007-3-2 03:52
蛛网膜下腔出血、脑内出血。(脑内高密度影密度不均、分布不均,周围有低密度水肿,无脑白质挤压征)。
作者: 宝天曼 时间: 2007-3-2 03:54
支持右颞区硬膜外血肿。
作者: sunjianting 时间: 2007-3-2 04:19
右侧颞叶脑挫裂伤并颞叶内血肿.考虑还是脑内的.
作者: xcc106 时间: 2007-3-2 04:51
意见不一致,脑内,脑外都有,甚至脑外还有不同意见,硬膜外与膜下之区别。假如作为考试题目来说,有多少人才对呢。这也是我们在日常工作常见的病例,恳求请示站内高手指点一下。特别是vip战友也来看看。
作者: zyx168 时间: 2007-3-2 05:04
脑挫裂伤并硬膜下血肿
作者: 北方的狼 时间: 2007-3-2 05:04
右颞叶脑挫裂伤出血改变
作者: 中山医 时间: 2007-3-2 05:27
标题: 回复:ct6935:[原创]颅脑
以下是引用1983在2007-3-1 19:12:00的发言:[br]脑挫裂伤并硬膜下血肿
作者: jiajie 时间: 2007-3-2 05:30
标题: 回复:ct6935:[原创]颅脑
右侧颞叶大片状形态不规则高密度影,边缘较模糊,无明显白质挤压移位。支持脑错裂伤、脑内血肿。

[本贴已被 jiajie 于 2007-3-1 21:31:10 修改过]
作者: zxczxc 时间: 2007-3-2 05:36
右侧颞叶脑挫裂伤脑出血。病变脑内。
作者: 天南地北 时间: 2007-3-2 05:42
支持:脑挫裂伤并硬膜下血肿
作者: 魏永民 时间: 2007-3-2 05:44
脑挫裂并硬膜下血肿
右侧颞叶大片状形态不规则高密度影,内缘较模糊,外缘紧贴颅板,无明显白质挤压移位伤。
作者: guzhongliangddd 时间: 2007-3-2 05:45
标题: 回复:ct6935:[原创]颅脑


作者: lhf8188 时间: 2007-3-2 06:03
脑挫裂伤并硬膜下血肿
作者: zhangxingrui 时间: 2007-3-2 06:57
硬膜下出血和硬膜外出血并纯!有月牙形高密度影!其后方有脑沟增宽高密度影!
作者: 王守平 时间: 2007-3-2 07:14
右侧颞叶脑挫裂伤并脑内出血
依据:1.右侧颞叶不规则形血肿密度影,周围有水肿;
2.有明显占位效应;
3.颅板下硬膜下间隙存在。
作者: 9876543210 时间: 2007-3-2 07:16
右侧颞部硬膜外血肿,并右侧颞叶脑挫裂伤,
作者: 国窖1573 时间: 2007-3-2 07:30
硬膜下血肿,右侧颞叶脑挫裂伤,脑内血肿
作者: tao772 时间: 2007-3-2 07:44
脑内及脑外并存。即:脑挫裂伤并硬膜下血肿。原因:1 后方条片状高密度影周围见水肿带。2 同侧上方 硬膜下间隙增宽。
作者: tanjiuzhe313 时间: 2007-3-2 10:27
脑内脑外全有,上方比较局限近似梭形改变,考虑硬膜外血肿。没有跨过颅缝,且是脑膜中动脉所在的位置。中线移位,占位效应明显。后方条带状增高影,周围有水肿带,考虑脑内血肿。
作者: hhcckk 时间: 2007-3-2 16:20
右颞区硬膜外血肿伴右颞叶脑挫裂伤,依据
1出血灶局限,硬膜下出血广泛
2边缘光滑,硬膜下出血边缘不清楚
3出血合并骨折,硬膜下出血合并骨折的少
4在外伤的同侧,硬膜下出血可以在同侧,也可以在对侧
作者: fumaogui 时间: 2007-3-2 16:40
不典型硬膜外血肿合并脑挫裂伤.
作者: haha215315 时间: 2007-3-2 17:01
右颞叶脑挫裂伤出血
作者: jinning 时间: 2007-3-2 17:05
右颞叶见混杂密度灶(以高密度灶为主)右侧脑室受压变形,中线结构左移,右颞部颅骨内板下见弧形高密度灶,右侧裂池及部分脑沟内见高密度灶;
结论:1:右颞叶脑挫裂伤;
2:右侧硬膜下血肿;
3:蛛网膜下腔出血。
病例挺典型的
作者: wj2039 时间: 2007-3-2 17:16
右颞区硬膜外血肿伴右颞叶脑挫裂伤,依据
1出血灶局限,硬膜下出血广泛
2边缘光滑,硬膜下出血边缘不清楚
3出血合并骨折,硬膜下出血合并骨折的少
4在外伤的同侧,硬膜下出血可以在同侧,也可以在对侧
支持
作者: lq00650529 时间: 2007-3-2 19:03
右颞叶脑挫伤,右蛛网膜下腔出血。
作者: 黑金 时间: 2007-3-3 01:45
硬膜下血肿半脑内血肿
作者: 狙击手 时间: 2007-3-3 02:12
右颞叶挫裂伤,右颞部混合血肿。
作者: 光线 时间: 2007-3-4 04:42
脑挫裂伤并颅内血肿形成。
作者: 全宏 时间: 2007-3-5 00:13
右颞叶脑挫裂伤。
右侧硬膜外及硬膜下出血并存
蛛网膜下腔出血。
mai直接检查就好了。
患者存活可能要小。
作者: xinhai18 时间: 2007-3-5 03:04
标题: 回复:ct6935:[原创]颅脑
以下是引用ctkz987在2007-3-1 19:25:00的发言:[br]右颞叶脑挫裂伤出血
作者: 李晓阳 时间: 2007-3-5 03:23
脑挫裂伤并硬膜下血肿
作者: jinguoji 时间: 2007-4-10 19:19
硬膜外血肿合并脑挫裂伤.
作者: 影像天地 时间: 2007-4-10 20:07
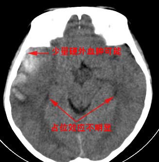
右颞部分硬膜外血肿
| 欢迎光临 医影在线 (http://bbs.radida.com/bbs/) |
Powered by Discuz! X3.2 |