医影在线
标题: CT6939:[讨论]骨病变。 [打印本页]
作者: jone-baby 时间: 2007-3-2 18:18
标题: CT6939:[讨论]骨病变。
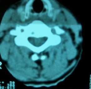
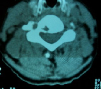
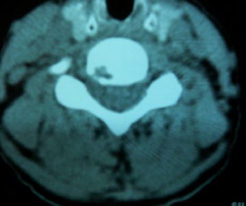
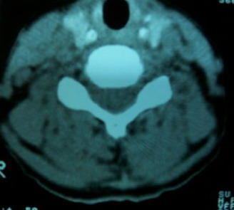
女。70 主因 头晕








[本贴已被 jiajie 于 2007-3-2 12:44:14 修改过]
作者: 狙击手 时间: 2007-3-2 18:35
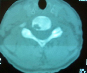
颈椎周围软组织无明显变化,颈椎右后缘见低密度影,外周见硬化带,考虑许莫氏结节。
作者: 一棵树 时间: 2007-3-2 19:04
考虑,骨缺血性病变,不除外结核。
作者: dyqct 时间: 2007-3-2 19:07
标题: 许莫氏结节
支持楼上意见(许莫氏结节)。
[本贴已被 dyqct 于 2007-3-2 13:35:31 修改过]
作者: 医博云天 时间: 2007-3-2 20:33
血管瘤??
作者: ZENGWEILIANG197 时间: 2007-3-2 21:13
考虑许莫氏结节
作者: jinning 时间: 2007-3-2 23:07
动脉瘤样骨囊肿不能排除
作者: 宝天曼 时间: 2007-3-3 01:53
支持4楼意见(许莫氏结节)。
作者: 3351277 时间: 2007-3-3 02:49
首先考虑许莫氏结节
作者: 余辉 时间: 2007-3-3 02:55
周围硬化,但不是很厚,考虑1骨纤2嗜酸性肉芽肿3许莫氏结节。
作者: 天南地北 时间: 2007-3-3 03:03
嗜酸性肉芽肿
作者: realzyc 时间: 2007-3-3 03:16
血管瘤首先考虑
作者: 千里草 时间: 2007-3-3 03:27
颈椎周围软组织无明显变化,颈椎右后缘见低密度影,外周见硬化带,考虑许莫氏结节。
作者: 拾荒者 时间: 2007-3-3 03:28
颈椎右后缘见低密度影,无明显分隔,外周见硬化带,周围软组织未见异常,考虑许莫氏结节。
作者: 黑金 时间: 2007-3-3 05:25
肉芽肿
作者: zhw974247 时间: 2007-3-3 17:49
颈椎右后缘见低密度影,无明显分隔,外周见硬化带,周围软组织未见异常,考虑许莫氏结节。
作者: jinguoji 时间: 2007-4-10 04:40
颈椎周围软组织无明显变化,颈椎右后缘见低密度影,外周见硬化带,考虑许莫氏结节。
作者: 小初学者 时间: 2007-4-10 18:56
标题: 回复:ct6939:[讨论]骨病变。
以下是引用狙击手在2007-3-2 10:35:00的发言:[br]颈椎周围软组织无明显变化,颈椎右后缘见低密度影,外周见硬化带,考虑许莫氏结节。
| 欢迎光临 医影在线 (http://bbs.radida.com/bbs/) |
Powered by Discuz! X3.2 |