医影在线

标题: CT6943:[讨论]胸部,M/67Y,体检发现。 [打印本页]

作者: 新页    时间: 2007-3-2 22:27
标题: CT6943:[讨论]胸部,M/67Y,体检发现。








































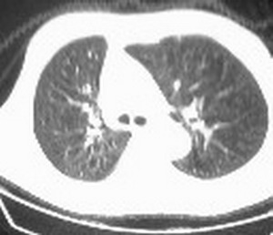
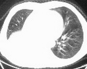
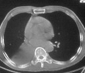
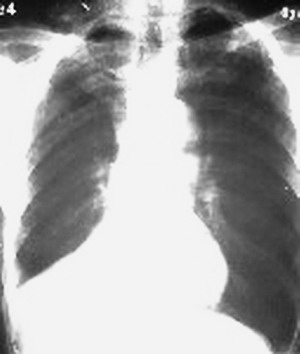
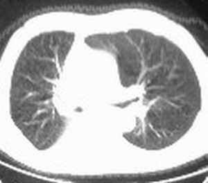
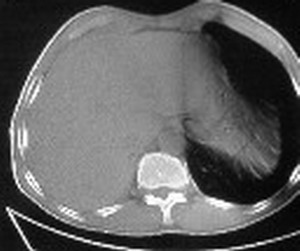
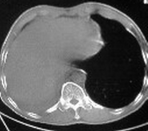
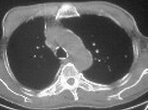
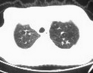
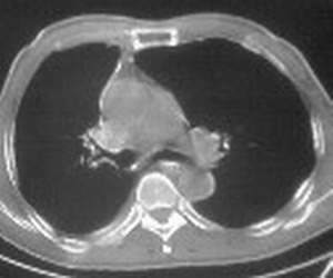
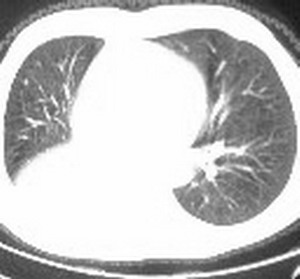
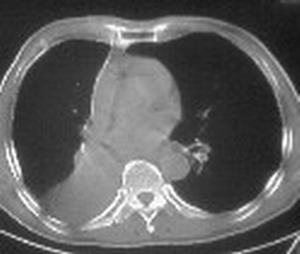
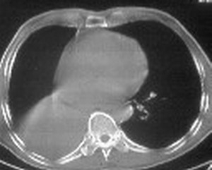
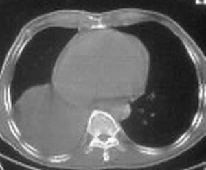
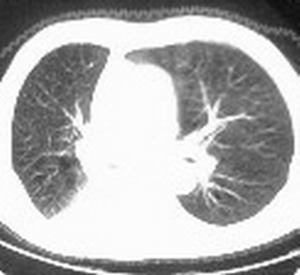
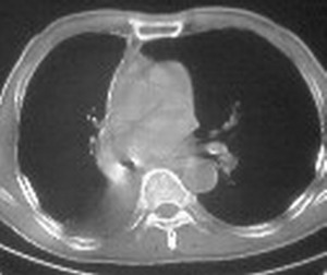
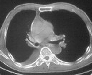
ct值约12hu。


[本贴已被 翁志蓬 于 2007-3-2 22:33:38 修改过]

作者: hhcckk    时间: 2007-3-2 22:41
标题: 回复:[讨论]胸部,m/67y,体检发现。

作者: mlxq3086    时间: 2007-3-2 23:12
高度支持2楼意见!
作者: jinning    时间: 2007-3-2 23:28
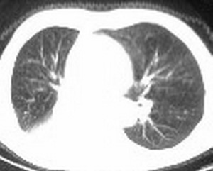
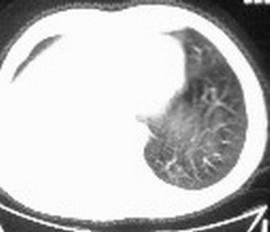
1:右侧结核性胸膜炎,胸腔积液;
2:不排除右肺癌。
作者: 卜一    时间: 2007-3-2 23:36
影像特征很象,包裹性胸腔积液,建议楼主测ct值鉴别.
作者: 新页    时间: 2007-3-3 00:05
ct值约12hu
作者: 国窖1573    时间: 2007-3-3 00:35
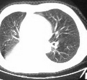
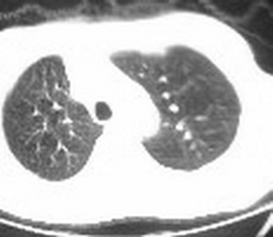
右肺下叶支气管阻塞,右下叶不张,考虑中心型肺癌伴下叶不张
作者: liuyue    时间: 2007-3-3 01:22
先考虑:右下肺中心型肺癌伴下叶肺不张、胸腔积液
作者: 老爱克斯    时间: 2007-3-3 01:24
右肺下叶支气管闭塞,中间段支气管狭窄,下叶不张,胸腔及叶间积液.中心型肺癌伴下叶肺不张.胸腔和叶间积液.
作者: 宝天曼    时间: 2007-3-3 01:38
考虑中心型肺癌伴下叶不张
作者: 天南地北    时间: 2007-3-3 02:47
标题: 回复:[讨论]胸部,m/67y,体检发现。
以下是引用宝天曼在2007-3-2 17:38:00的发言:[br]考虑中心型肺癌伴下叶不张

作者: zyx168    时间: 2007-3-3 02:51
考虑:右下肺中心型肺癌伴下叶肺不张、胸腔积液
作者: 黑金    时间: 2007-3-3 02:53
支持9楼
作者: 千里草    时间: 2007-3-3 03:25
标题: 回复:[讨论]胸部,m/67y,体检发现。
以下是引用hhcckk在2007-3-2 14:41:00的发言:[br][br]

作者: anbo5502    时间: 2007-3-3 04:09
考虑中心型肺癌伴下叶不张,肺底积液吧。
作者: qiuleiyu    时间: 2007-3-3 04:20
右肺下叶支气管闭塞,伴下叶实变不张。建议增强及纤支镜。
作者: 求知若渴    时间: 2007-3-3 04:58
标题: 回复:[讨论]胸部,m/67y,体检发现。

作者: 拾荒者    时间: 2007-3-4 03:02
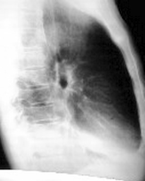
右肺下野后部均匀低密度影,边缘锐利,前缘外突(不支持肺不张),纵隔内未见明显肿大淋巴结,右下肺门结构显示欠清,临床资料太过简单,考虑右侧后胸部包裹性积液。其他待排。建议密切结合临床其他检查。
作者: jinguoji    时间: 2007-4-10 04:31
考虑右下肺中心型肺癌伴下叶肺不张、胸腔积液。
作者: lijinzhu123    时间: 2007-4-10 17:37
ct值12,包裹性胸腔积液,
作者: 小初学者    时间: 2007-4-10 19:05
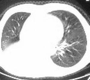
右肺下叶未发育,并包裹性胸腔积液




欢迎光临 医影在线 (http://bbs.radida.com/bbs/) Powered by Discuz! X3.2