




















































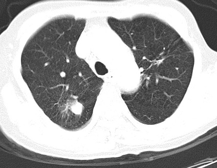
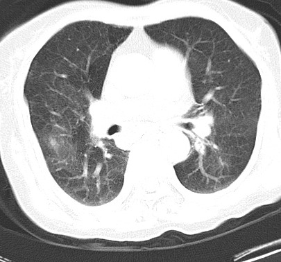
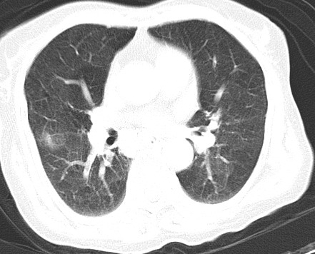
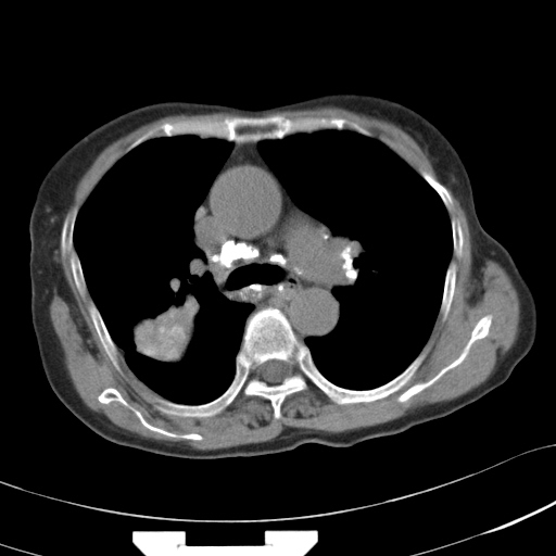
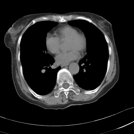
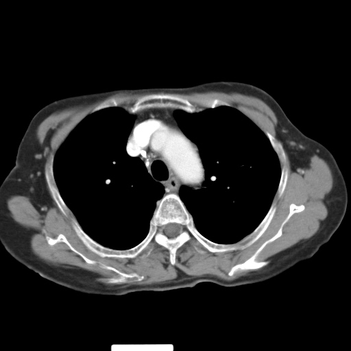
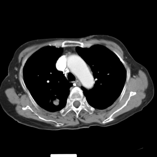
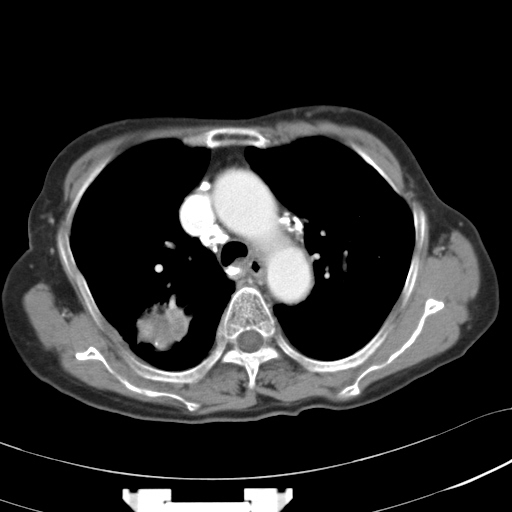
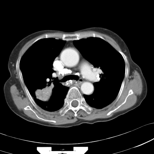
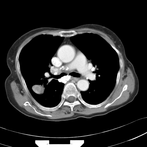
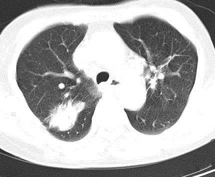
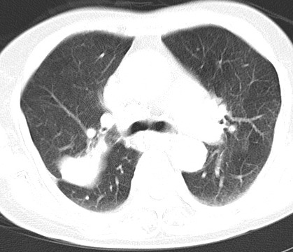
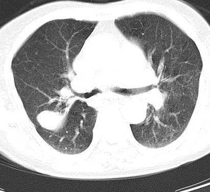
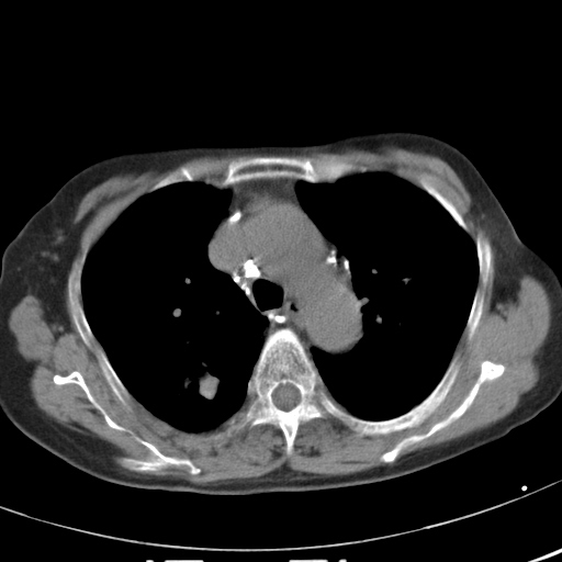
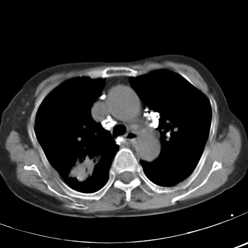
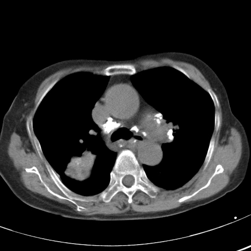
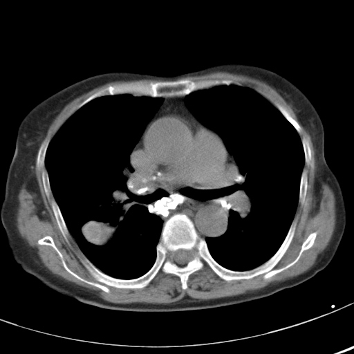
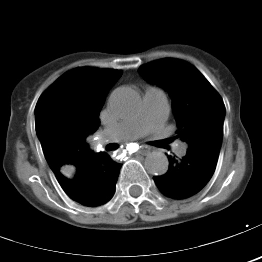
以下是引用hhcckk在2007-3-2 14:51:00的发言:[br]考虑结核球可能性大,依据[br]1病灶在下叶背段,结核的好发部位[br]2病灶内有大量的钙化,纵隔内有大量的淋巴结钙化[br]3重要的是半年前与现在相比无变化,假如是肿瘤的话不会这么‘善良’[br]4病灶周围卫星灶不明显,病灶有毛刺,胸膜凹陷,肿瘤不能完全排除,有条件的话最好做个活检
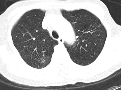
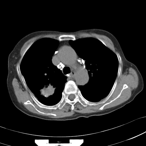
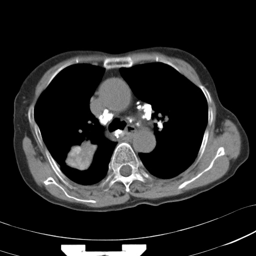
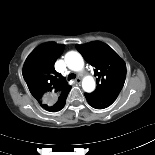
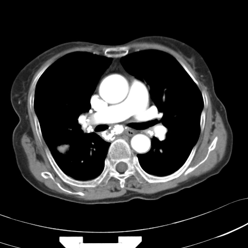
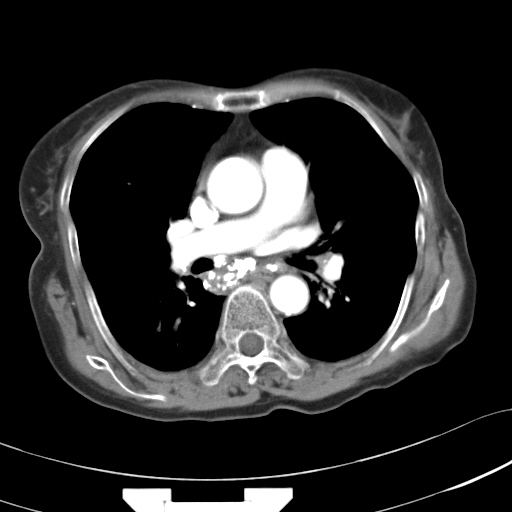
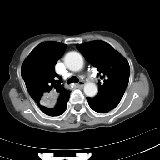
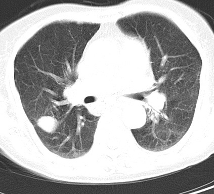
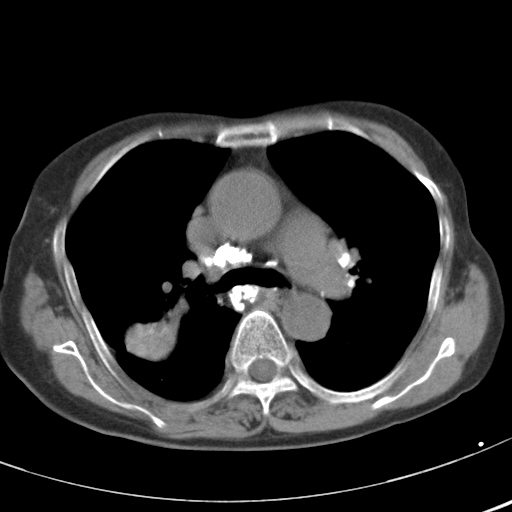
以下是引用liuyue在2007-3-2 17:15:00的发言:[br]1位置:右上叶后段[br]2性质:大分叶、粗长毛刺、条状斑片状钙化、纵隔多发淋巴结钙化,无强化,故考虑:肺结核灶(陈旧)
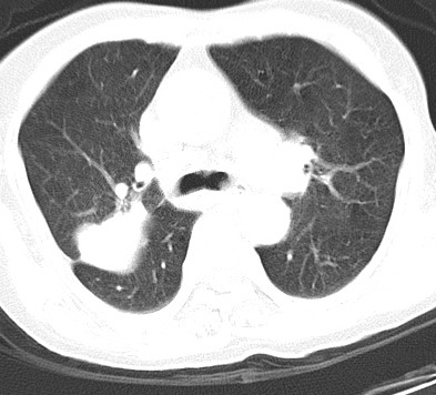
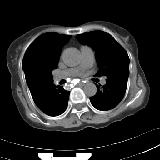
以下是引用hhcckk在2007-3-2 14:51:00的发言:[br]考虑结核球可能性大,依据[br]1病灶在下叶背段,结核的好发部位[br]2病灶内有大量的钙化,纵隔内有大量的淋巴结钙化[br]3重要的是半年前与现在相比无变化,假如是肿瘤的话不会这么‘善良’[br]4病灶周围卫星灶不明显,病灶有毛刺,胸膜凹陷,肿瘤不能完全排除,有条件的话最好做个活检
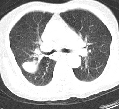
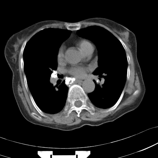
以下是引用hhcckk在2007-3-2 14:51:00的发言:[br]考虑结核球可能性大,依据[br]1病灶在下叶背段,结核的好发部位[br]2病灶内有大量的钙化,纵隔内有大量的淋巴结钙化[br]3重要的是半年前与现在相比无变化,假如是肿瘤的话不会这么‘善良’[br]4病灶周围卫星灶不明显,病灶有毛刺,胸膜凹陷,肿瘤不能完全排除,有条件的话最好做个活检
| 欢迎光临 医影在线 (http://bbs.radida.com/bbs/) | Powered by Discuz! X3.2 |