
















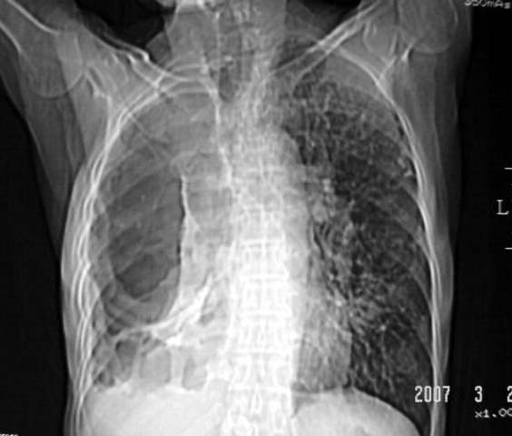
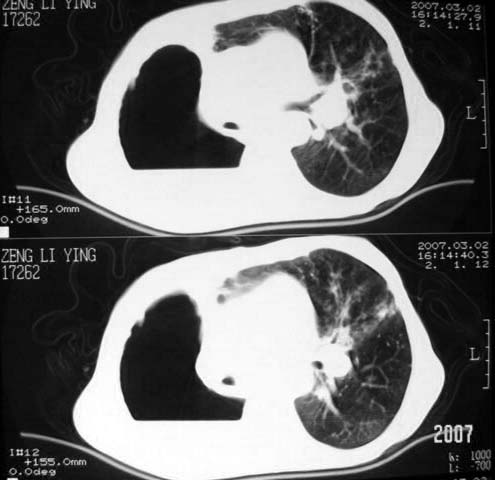
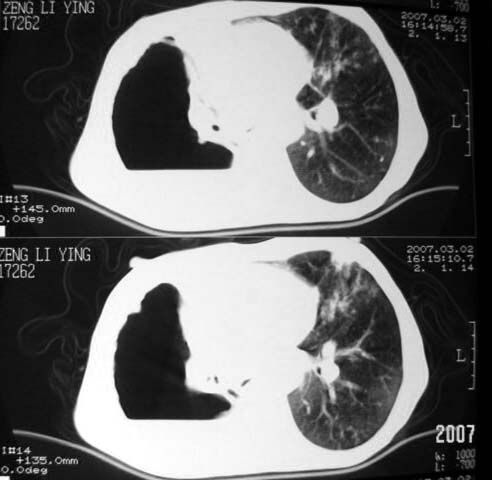
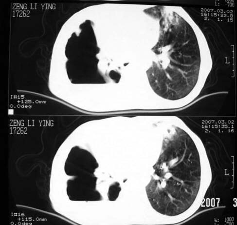
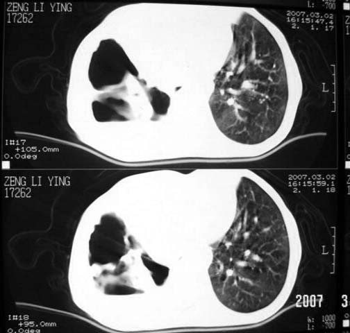
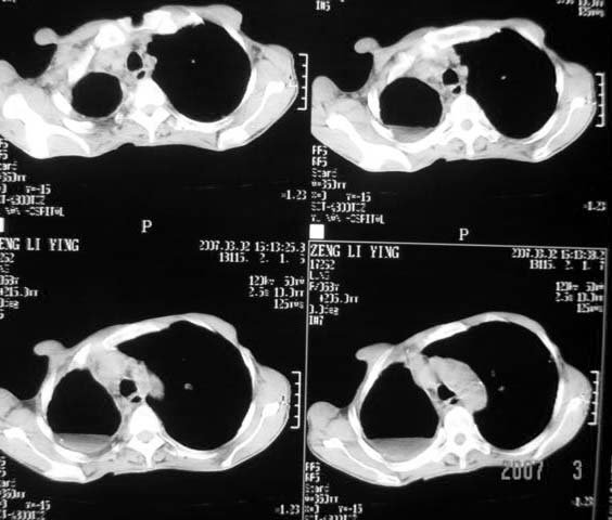
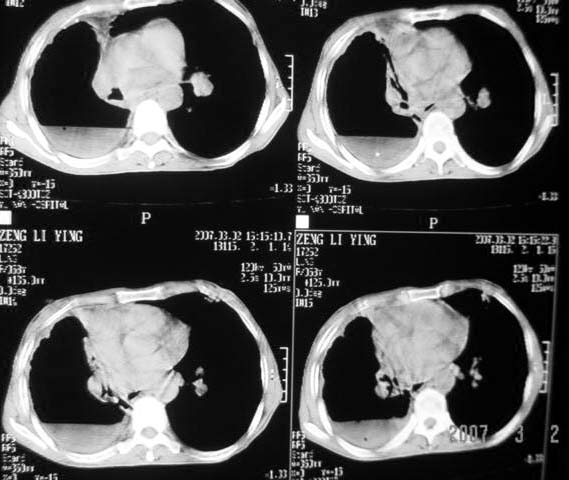
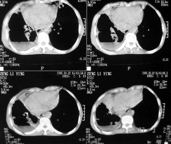
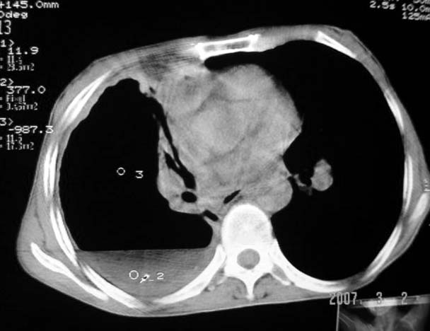
以下是引用dyqct在2007-3-2 22:04:00的发言:[br]考虑:1、右侧毁损肺伴支气管胸膜瘘(多条支气管与胸腔相通、液气胸);[br] 2、左肺浸润型肺结核。[br][br][br][br]
[本贴已被 dyqct 于 2007-3-3 8:29:39 修改过]
以下是引用dyqct在2007-3-2 22:04:00的发言:[br]考虑:1、右侧毁损肺伴支气管胸膜瘘(多条支气管与胸腔相通、液气胸);[br] 2、左肺浸润型肺结核。[br][br][br][br]
[本贴已被 dyqct 于 2007-3-3 8:29:39 修改过]
| 欢迎光临 医影在线 (http://bbs.radida.com/bbs/) | Powered by Discuz! X3.2 |