医影在线

标题: CT6952:T11椎体病变请讨论 [打印本页]

作者: 韦伟    时间: 2007-3-3 05:23
标题: CT6952:T11椎体病变请讨论
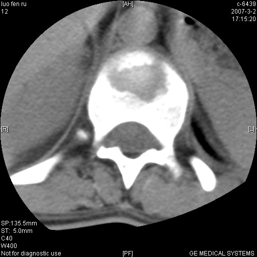
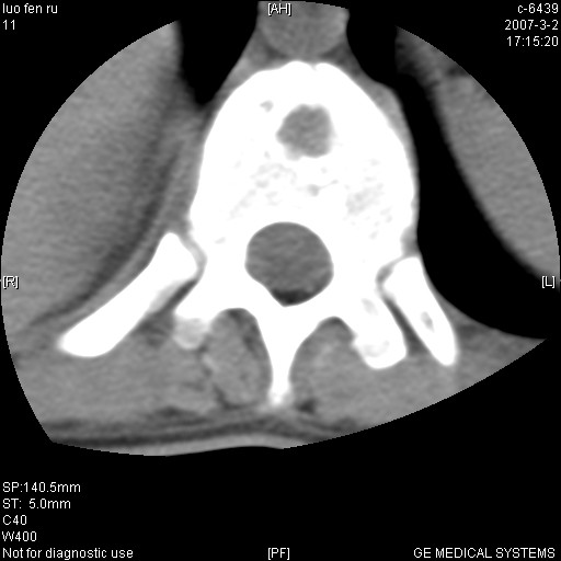
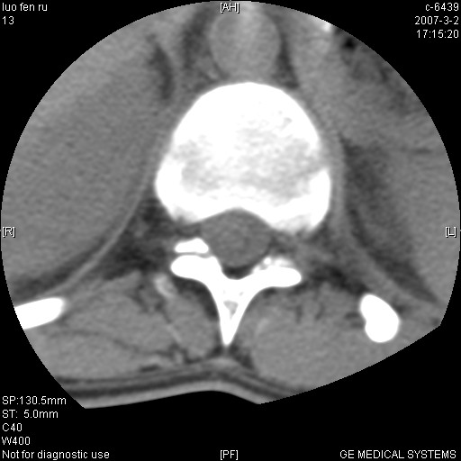
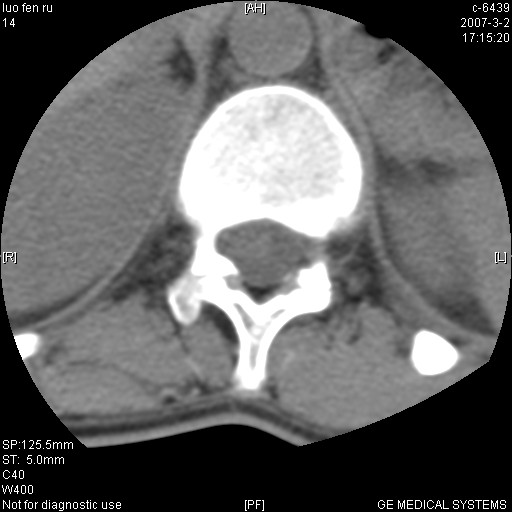
女,19岁.背部疼痛一月余.自诉幼时有个外伤史.



















[本贴已被 翁志蓬 于 2007-3-2 22:55:45 修改过]

作者: 狙击手    时间: 2007-3-3 05:31
陈旧性骨折,有侧位片参考一下更好。
作者: yanggu6869    时间: 2007-3-3 05:34
应该是陈旧性的骨折,不象是骨结核和骨肿瘤.
作者: 韦伟    时间: 2007-3-3 05:43
腰椎平片示,t11椎体呈楔形改变,椎间隙未见异常.
作者: 狙击手    时间: 2007-3-3 05:55
当是应是椎体(前半部较厉害)压缩性骨折,这就印证了这就是陈旧性骨折。
作者: dyqct    时间: 2007-3-3 06:06
支持胸11椎体中央型结核。
作者: CZL    时间: 2007-3-3 07:09
病人病史不长,病变表现比较明显,如果是结核,病史不支持,椎间隙不窄,临近椎体正常,椎旁无冷浓疡,但从病变本身硬化也较多,均不太支持结核。慎重考虑的话,可以问一下病人有无结核病史。如果没有,更多的应该考虑陈旧性骨折,伴有慢性椎间盘炎可能。确诊后记着告知啊!
作者: 风随意    时间: 2007-3-3 07:32
第一感觉就像嗜酸性肉芽肿,骨折及tb不能解释表现
作者: zhw974247    时间: 2007-3-3 17:46
1、陈旧性的骨折。2、嗜酸性肉芽肿。
作者: 卜一    时间: 2007-3-3 17:50
支持:陈旧性的骨折
作者: wansheng    时间: 2007-3-3 18:00
结合病史及x线平片.考虑陈旧性骨折.
作者: 余辉    时间: 2007-3-3 18:04
这是长什么东西吧,骨样骨瘤?嗜酸性肉芽肿?结核?或者是椎缘骨?
作者: chmb    时间: 2007-3-3 18:31
支持椎体陈旧性骨折
作者: haha215315    时间: 2007-3-3 18:44
支持:陈旧性的骨折
作者: shuhuang2007    时间: 2007-3-3 21:23
支持:嗜酸性细胞肉芽肿。
作者: 宝天曼    时间: 2007-3-3 21:30
应该是陈旧性的骨折,不象是骨结核和骨肿瘤
作者: 黑金    时间: 2007-3-4 01:42
陈旧性骨折
作者: zhiqiang    时间: 2007-3-4 02:08
边缘硬化、增生复合陈旧性骨折。
结核:好发于胸椎,其次为腰椎,相邻椎体受侵,椎间隙变窄,椎体变扁,椎旁或腰大肌冷脓肿形成。
作者: ZHWW    时间: 2007-3-4 03:29
许莫氏结节形成
作者: jinning    时间: 2007-3-4 04:23
给张侧位片看看
作者: 拾荒者    时间: 2007-3-4 06:17
t11椎体前缘不规则形骨质破坏,周围有硬化边,软组织肿块不明显,首先考虑:骨嗜酸性肉芽肿 。期待随访结果。
作者: jinguoji    时间: 2007-4-10 04:03
支持椎体陈旧性骨折
作者: 悬壶济世    时间: 2007-4-10 04:09
结核可能




欢迎光临 医影在线 (http://bbs.radida.com/bbs/) Powered by Discuz! X3.2