医影在线

标题: CT4408:(续)肝癌术后CT表现 [打印本页]

作者: wnlyq8688    时间: 2007-3-3 05:41
标题: CT4408:(续)肝癌术后CT表现
原ct图片ct4408: (http://www.radida.com/bbs/forum.php?mod=viewthread&tid=15217)
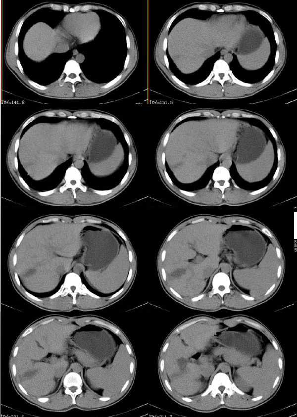
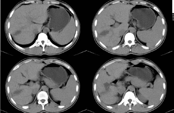
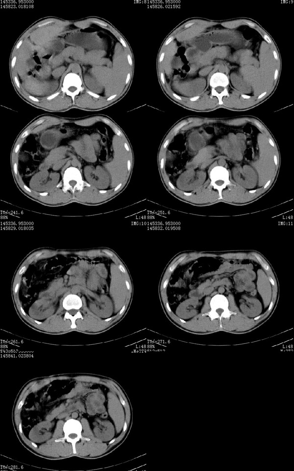
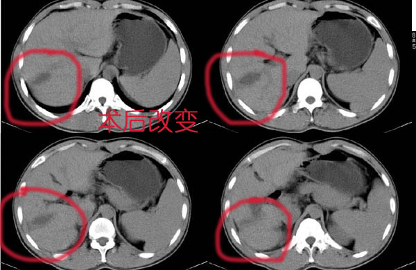
肝癌术后3个月(该患者硕士研究生,在四川开了一个宾馆.于做ct后第三天便在四军大西京医院做了手术,手术顺利.病人恢复良好.病理结果:肝细胞癌.最后诊断:原发性肝癌.)

10mm层厚扫描:






[本贴已被 jiajie 于 2007-3-3 6:44:58 修改过]

作者: 狙击手    时间: 2007-3-3 05:49
得此病,真是可惜……
作者: 拾荒者    时间: 2007-3-3 06:11
疾病面前,人人平等。让我们祝他好运吧!!
作者: dyqct    时间: 2007-3-3 06:12
支持肝癌术后改变。
作者: wansheng    时间: 2007-3-3 18:04
支持肝癌术后改变.
作者: 余辉    时间: 2007-3-3 18:10
yoxi
作者: zhaochen    时间: 2007-3-3 19:14
支持肝癌术后改变.
作者: qian    时间: 2007-3-3 21:12
要注意随访哦。
作者: 宝天曼    时间: 2007-3-3 21:20
我们祝他好运吧!!
作者: lcgyy030    时间: 2007-3-4 01:03
标题: 回复:ct4408:(续)肝癌术后ct表现
术后改变
作者: sunjianting    时间: 2007-3-4 01:40
为什么没做栓塞啊 .
作者: jinguoji    时间: 2007-4-10 04:36
支持肝癌术后改变。




欢迎光临 医影在线 (http://bbs.radida.com/bbs/) Powered by Discuz! X3.2