

以下是引用jiajie在2007-3-4 18:52:00的发言:[br]局部骨皮纸增厚,骨髓腔密度增高,骨膜增厚,一月前右小腿有外伤史,考虑外伤诱发骨髓炎。
以下是引用jiajie在2007-3-4 18:52:00的发言:[br]局部骨皮纸增厚,骨髓腔密度增高,骨膜增厚,一月前右小腿有外伤史,考虑外伤诱发骨髓炎。
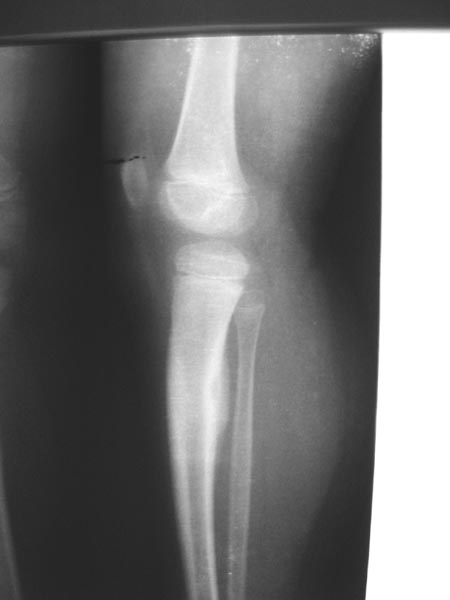
以下是引用岩光蛋在2007-3-4 23:41:00的发言:[br]右胫骨上段骨干后侧骨皮质增厚,中心部位可见一小椭圆形透亮区,考虑为瘤巢,故考虑骨样骨瘤,如果服用水杨酸类药物可解除疼痛则进一步验证此诊断。
| 欢迎光临 医影在线 (http://bbs.radida.com/bbs/) | Powered by Discuz! X3.2 |