医影在线

标题: CT6969:腹部,某男 34岁,腹痛治疗半月无效 [打印本页]

作者: dragon81125    时间: 2007-3-5 08:11
标题: CT6969:腹部,某男 34岁,腹痛治疗半月无效






















[本贴已被 jiajie 于 2007-3-5 19:59:52 修改过]

作者: 龙在野    时间: 2007-3-5 14:55
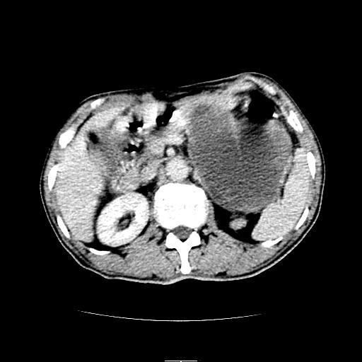
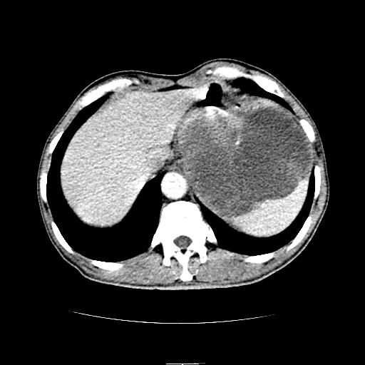
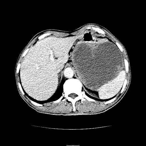
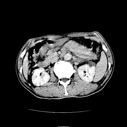
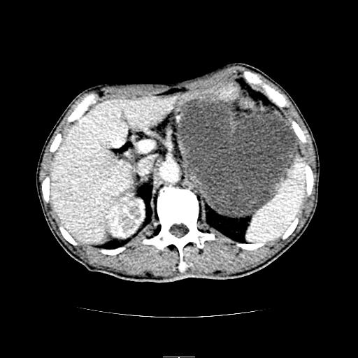
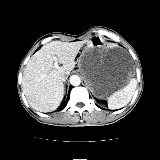
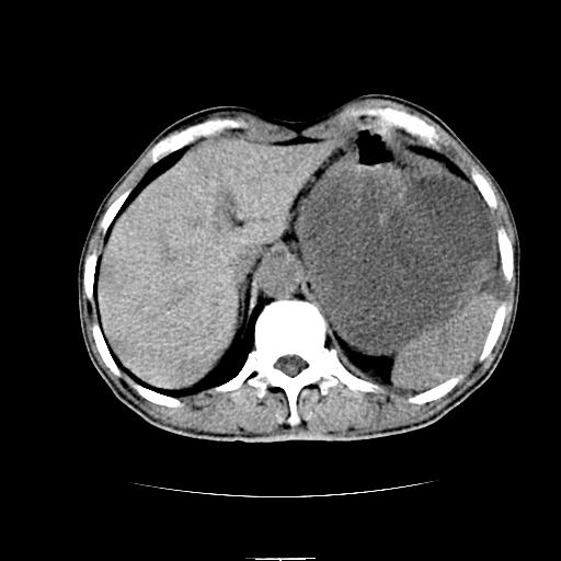
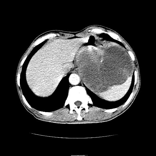
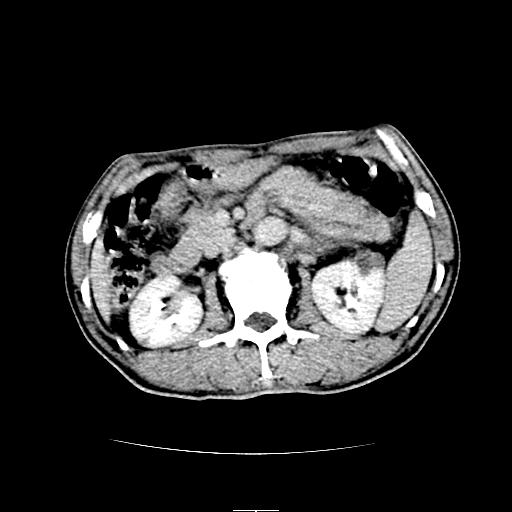
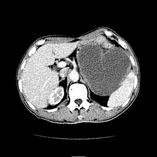
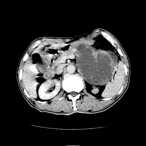
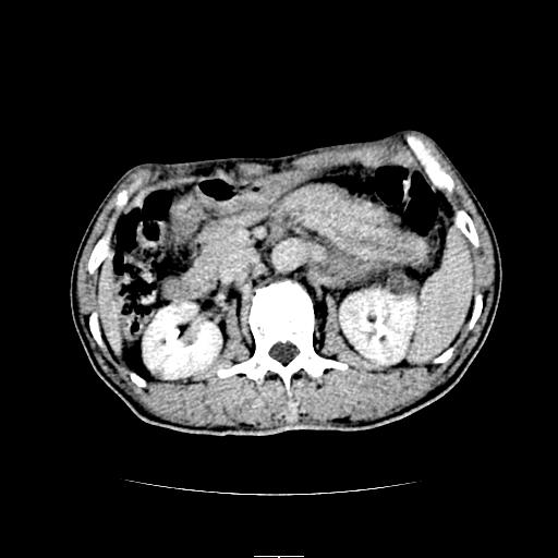
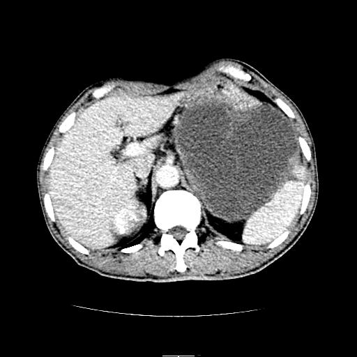
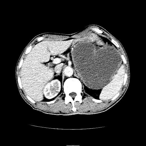
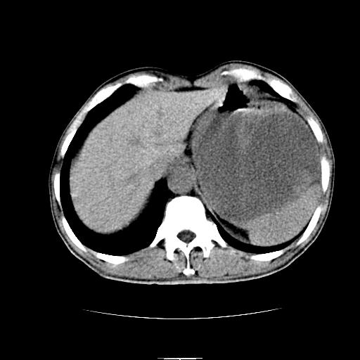
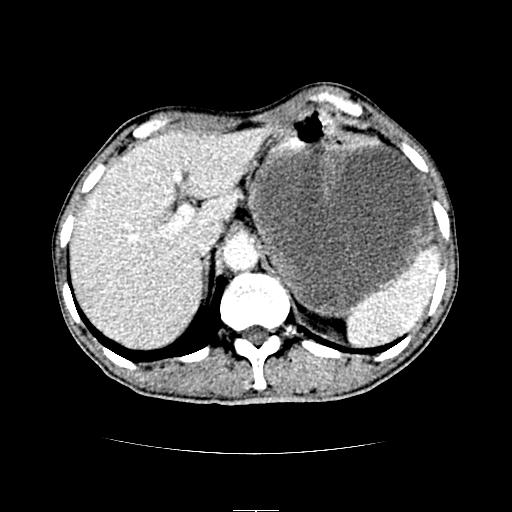
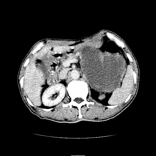
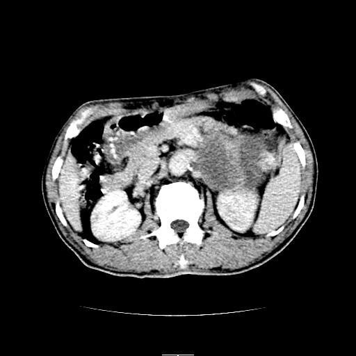
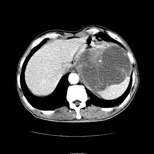
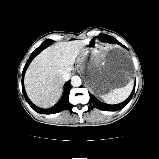
胰尾部巨大囊性病变,胰腺体积增大.左肾吉氏筋膜增厚.1慢性胰腺炎伴随假性囊肿2左肾囊肿
作者: dyqct    时间: 2007-3-5 16:43
左上腹胃、脾及胰腺间巨大囊性占位性病变,内见多数薄隔,有轻度强化,明显占位效应。左肾见一小囊肿。
考虑:1、左上腹巨大囊肿(可能来源于胰腺)。
      2、左肾小囊肿。
作者: 国窖1573    时间: 2007-3-5 17:08
支持3楼楼主意见
作者: 卜一    时间: 2007-3-5 17:08
左上腹胃、脾及胰腺间巨大囊性占位性病变,内见多数薄隔,有轻度强化,明显占位效应,胰腺及左肾结构清楚,明显向后下方推压 移位。左肾见一小囊肿.多考虑:1 网膜巨大囊肿。2 左肾小囊肿。
作者: qwj1120714    时间: 2007-3-5 17:19
应考虑小网膜囊肿
作者: liaoqiang    时间: 2007-3-5 17:27
1胃脾胰之间一巨大囊性影,胃明显向前推移,胰体尾部似肥大,考虑囊性影来源于胰腺(假性囊肿?)2左肾小囊肿。
作者: jone-baby    时间: 2007-3-5 17:47
左上腹囊性占位,与胰腺分界不清,考虑起源于胰腺可能。
作者: 郭凯    时间: 2007-3-5 17:56
支持3楼意见,不能除外来源于网膜。
作者: sjing    时间: 2007-3-5 18:03
左上腹囊性占位,虽与胰腺分界不清,胰尾似乎受压前移,病灶最大截面并不在胰腺水平,考虑来源于网膜可能性大吧,应再详细追问病史.
作者: haha215315    时间: 2007-3-5 18:08
考虑小网膜囊肿
作者: fumaogui    时间: 2007-3-5 18:33
支持胰腺炎并假囊肿形成.左肾囊肿.
作者: jinning    时间: 2007-3-5 18:40
考虑胰腺巨大囊肿,左肾低密度灶从形态和强化方式看不象囊肿,应考虑肿瘤。
作者: 天南地北    时间: 2007-3-5 20:28
胃脾胰之间一巨大囊性影,内可见间隔,应为囊实性占位:多考虑:1 网膜巨囊腺瘤?。2 左肾小囊肿
作者: liuyue    时间: 2007-3-6 00:09
胰尾部巨大囊性病变,胰腺体积增大.左肾吉氏筋膜增厚.1慢性胰腺炎伴随假性囊肿2左肾囊肿
作者: YUHG    时间: 2007-3-6 01:27
胃间质瘤
作者: 3351277    时间: 2007-3-6 02:09
建议追加病史:巩膜有无黄染等
作者: zhanghua2086    时间: 2007-3-6 02:14
会不会是脾脏病变
作者: 宝天曼    时间: 2007-3-6 02:59
考虑来源于网膜可能性大吧,应再详细追问病史.
作者: 拾荒者    时间: 2007-3-6 04:53
标题: 回复:ct6969:腹部,某男 34岁,腹痛治疗半月无效
以下是引用dyqct在2007-3-5 8:43:00的发言:[br]左上腹胃、脾及胰腺间巨大囊性占位性病变,内见多数薄隔,有轻度强化,明显占位效应。左肾见一小囊肿。[br]考虑:1、左上腹巨大囊肿(可能来源于胰腺)。[br]      2、左肾小囊肿。

支持!
作者: 汪涛同志    时间: 2007-3-6 17:39
跟胰腺关系不大,肿物在胰腺后上方。考虑胃间质瘤或小网膜囊原发肿瘤。
作者: jinguoji    时间: 2007-4-6 21:10
1胃脾胰之间一巨大囊性影,胃明显向前推移,胰体尾部似肥大,考虑囊性影来源于胰腺(假性囊肿?)2左肾小囊肿。
作者: qc80012345    时间: 2007-4-7 02:13
左上腹胃、脾及胰腺间巨大囊性占位性病变,其内见多数薄隔,有轻度强化,明显占位效应。左肾见一小囊性变。
左肾囊肿;网膜巨大囊肿。




欢迎光临 医影在线 (http://bbs.radida.com/bbs/) Powered by Discuz! X3.2