医影在线
标题: DSA0086:双下肢动脉DSA [打印本页]
作者: lzdyjg 时间: 2007-3-5 09:37
标题: DSA0086:双下肢动脉DSA
患者男性,73岁.
因糖尿病合并肺部感染住院.
临床为了解下肢血管情况,申请dsa检查.
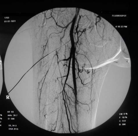
右下肢:






左下肢:






造影方法:取仰卧位,在局麻下,经右股动脉入路,采用改良seldingers技术,置入5f cobra导管于左髂外动脉行dsa,采集速度为2幅/秒,注射速率为6ml/秒,分节段造影;再将导管采用成襻技术放置于右侧髂外动脉,采用左侧同样的方法行dsa,术毕拔管、压迫止血约15分钟,包扎后嘱返病房,术后右足背动脉可扪及搏动。
[本贴已被 lzdyjg 于 2007-3-5 17:52:05 修改过]
[本贴已被 jiajie 于 2007-3-15 12:46:14 修改过]
作者: zjzjr 时间: 2007-3-15 21:51
右侧股浅动脉上、中段多处狭窄,下段闭塞。左侧股浅动脉多处狭窄,国动脉起始部狭窄。可以用球囊扩张配合动脉内溶栓或股浅动脉支架置入。多为糖尿病所致。
作者: 石光 时间: 2007-3-17 00:32
学习了
作者: qiuleiyu 时间: 2007-3-20 19:04
图片好清晰,只做检查,不进一步治疗吗?
作者: haiyei 时间: 2007-3-21 21:19
学习了!谢谢!
作者: lifumin 时间: 2007-3-23 18:38
血管弥漫性病变,可用球囊治疗,但效果不理想
作者: zyx168 时间: 2007-3-26 00:11
学习了!谢谢
作者: jssqcdm 时间: 2007-3-26 06:43
可以用球囊扩张配合动脉内溶栓或用血管内旋切吸治疗。
作者: 火中金 时间: 2007-4-3 05:08
患者多发下肢动脉血栓,似乎只能溶栓啦!
作者: qc80012345 时间: 2007-4-8 11:38
真漂亮
作者: lihongwei 时间: 2007-4-9 05:59
进一步治疗方案说一说,谢谢
作者: 海风轻轻吹 时间: 2007-4-23 23:55
双侧股动脉及腘动脉多发狭窄,右股动脉下段闭塞并侧支形成。病变较广泛,球囊可试试,如病人经济不好,最好还是以药物治疗为主。个人意见。
作者: drzhang8888 时间: 2007-6-1 07:07
学习了
作者: jinguoji 时间: 2007-6-8 22:33
学习了,谢谢!
作者: dr.yang 时间: 2012-9-23 22:26
学习了,一般是球囊、支架手术
| 欢迎光临 医影在线 (http://bbs.radida.com/bbs/) |
Powered by Discuz! X3.2 |