














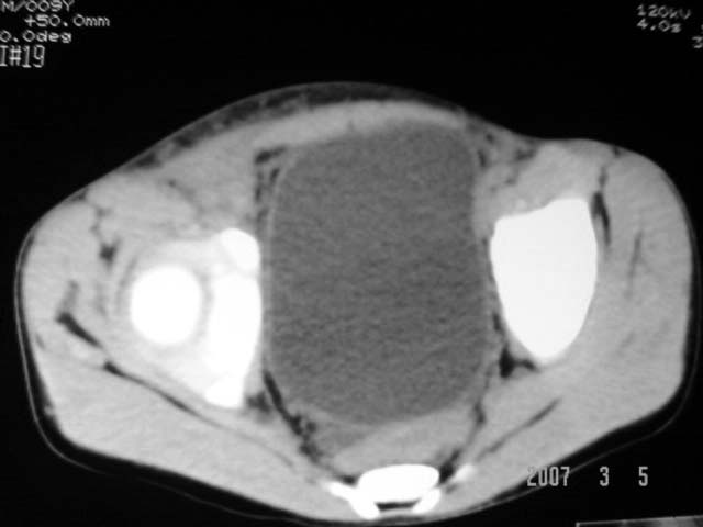
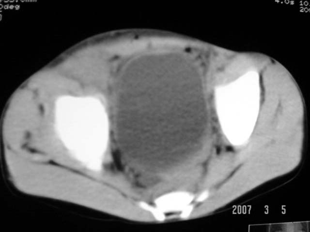
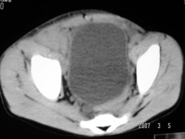
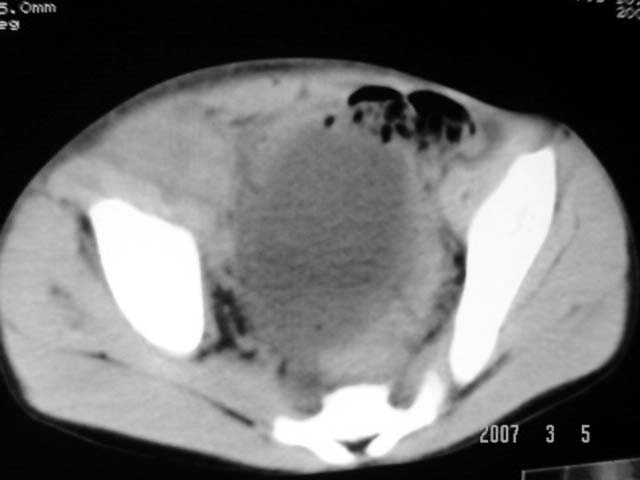
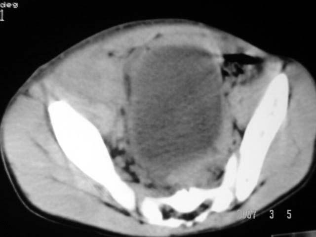
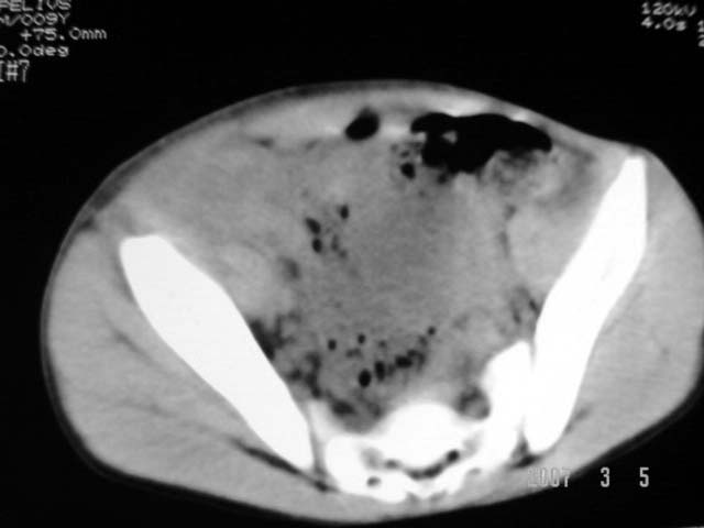
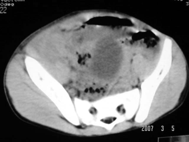
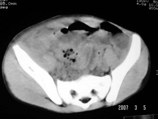
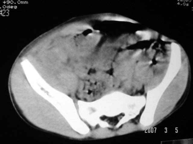
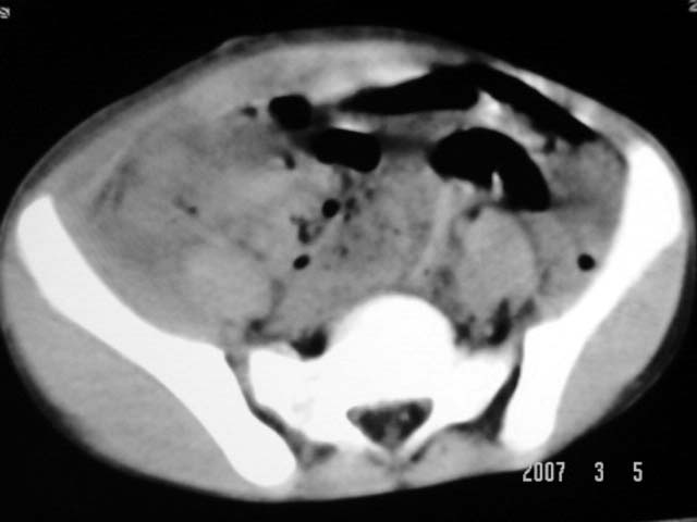
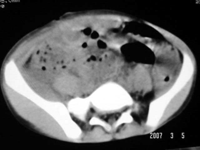
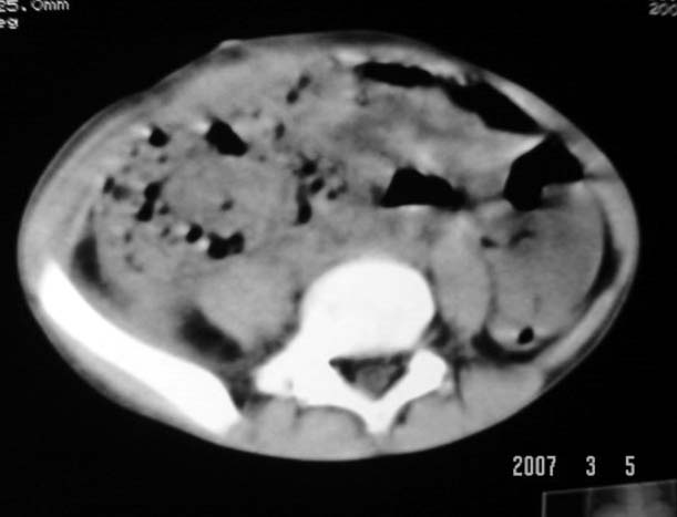
以下是引用dyqct在2007-3-5 10:28:00的发言:[br]右髂窝肿块。[br][br][br][br]
[本贴已被 dyqct 于 2007-3-5 10:28:33 修改过]
以下是引用dyqct在2007-3-5 10:28:00的发言:[br]右髂窝肿块。[br][br][br][br]
[本贴已被 dyqct 于 2007-3-5 10:28:33 修改过]
| 欢迎光临 医影在线 (http://bbs.radida.com/bbs/) | Powered by Discuz! X3.2 |