医影在线

标题: CT6977:[原创]胸部病变,请分析!谢谢! [打印本页]

作者: mlxq3086    时间: 2007-3-6 00:24
标题: CT6977:[原创]胸部病变,请分析!谢谢!
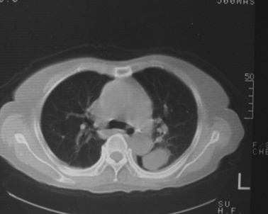
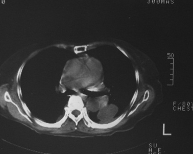
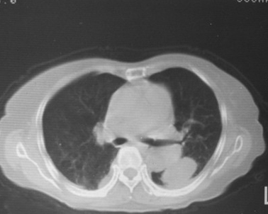
女,80岁,10天前胸片示双下肺感染,正规治疗后复查。体温不高,有脓痰,无臭味。
















请大家踊跃发言,谢谢大家!


[本贴已被 jiajie 于 2007-3-5 20:15:24 修改过]

作者: mlxq3086    时间: 2007-3-6 00:27
左肺下叶块影约为17hu!
作者: liuzheng_9326    时间: 2007-3-6 00:36
女,80岁,10天前胸片示双下肺感染,正规治疗后复查。体温不高,有脓痰,无臭味。
肺癌,有下腔静脉包绕,该部位占位胸片常漏诊!
作者: mlxq3086    时间: 2007-3-6 00:43
我不考虑肿瘤,我首先考虑感染,疑有肺脓肿形成!
作者: sunxb1010    时间: 2007-3-6 00:44
左下肺感染
作者: ctkz987    时间: 2007-3-6 00:45
左下肺炎并包裹积液
作者: YUHG    时间: 2007-3-6 00:56
活检吧
作者: zjzjr    时间: 2007-3-6 01:00
我首先考虑感染,疑有肺脓肿形成!
作者: dongjianchun    时间: 2007-3-6 01:21
建议增强考虑肺脓肿
作者: sunjianting    时间: 2007-3-6 01:28
左下肺片状及块状密度增高影,其内见液化密度影及充气支气管影.考虑炎性病灶,肺脓肿形成
作者: 天南地北    时间: 2007-3-6 01:32
支持:左下肺肺脓肿形成
作者: 裴德医生    时间: 2007-3-6 01:32
病史明确
作者: 3351277    时间: 2007-3-6 01:37
支持左下肺炎性变浓肿行成
作者: fumaogui    时间: 2007-3-6 01:45
左下肺炎症并脓肿形成.
作者: ZENGWEILIANG197    时间: 2007-3-6 02:08
考虑炎性病灶,肺脓肿形成
作者: zhanghua2086    时间: 2007-3-6 02:15
图象质量太差 不能诊断
作者: 宝天曼    时间: 2007-3-6 02:37
建议增强考虑肺脓肿
作者: dyqct    时间: 2007-3-6 03:10
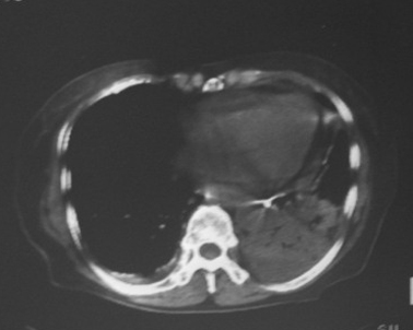
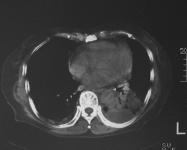
左肺下叶大部实变,内可见含气支气管征。后部见长椭圆形低密度区,周围坏一薄壁。
考虑:左下肺炎症,包裹性胸腔积液。
作者: 同    时间: 2007-3-6 03:38
考虑感染 伴脓肿形成可能性大
作者: 边生丽    时间: 2007-3-6 03:43
我考虑炎症
作者: jone-baby    时间: 2007-3-6 04:29
考虑炎性病灶,肺脓肿形成
作者: jinguoji    时间: 2007-3-6 04:50
考虑感染伴脓肿形成可能性大
作者: xulianj    时间: 2007-3-6 05:15
炎症吧。
作者: 拾荒者    时间: 2007-3-6 06:24
支持:左肺下叶大部实变,内可见含气支气管征。后部见长椭圆形低密度区,周围环一薄壁,局部胸膜增厚。结合病史考虑:左下肺炎症,包裹性胸腔积液。
作者: jiangjing    时间: 2007-3-6 07:46
左肺下叶大部实变,内可见含气支气管征。后部见长椭圆形低密度区,周围坏一薄壁。
考虑:左下肺炎症,包裹性胸腔积液
作者: jinning    时间: 2007-3-6 18:17
左肺下叶炎症并脓肿形成,双侧胸膜炎
作者: 红樱枪    时间: 2007-3-7 01:26
1、左下肺囊肿;
2、左下肺感染,脓肿开成。
作者: zxczxc    时间: 2007-3-7 01:38
左下肺脓肿伴左下胸腔包裹性积液。




欢迎光临 医影在线 (http://bbs.radida.com/bbs/) Powered by Discuz! X3.2