医影在线

标题: CT6981:[原创]胸12及腰1椎体病变 [打印本页]

作者: fumaogui    时间: 2007-3-6 01:08
标题: CT6981:[原创]胸12及腰1椎体病变
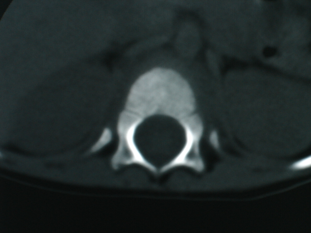
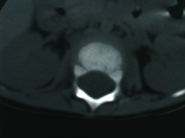
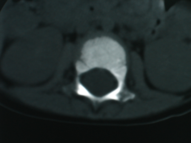
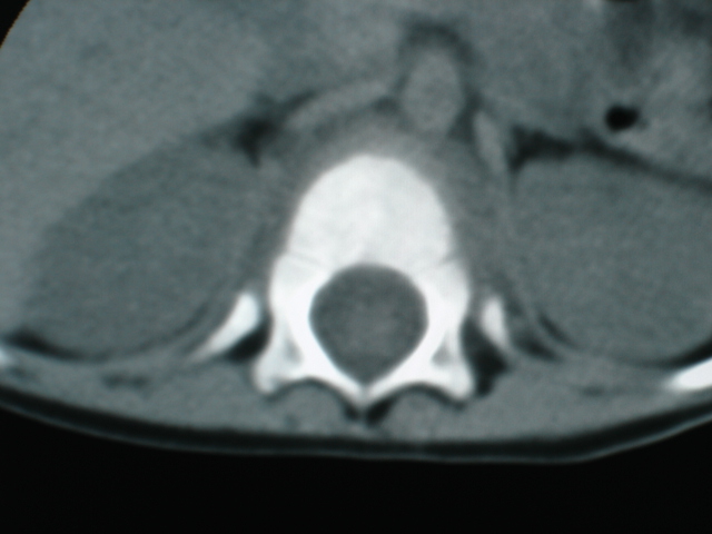
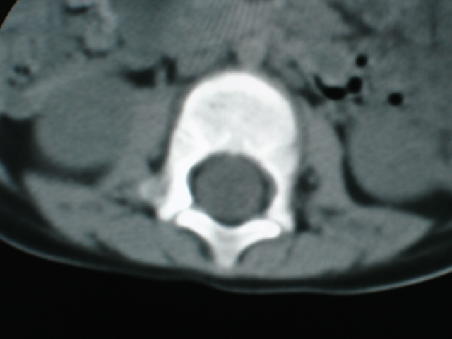
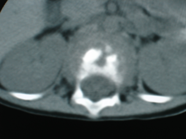
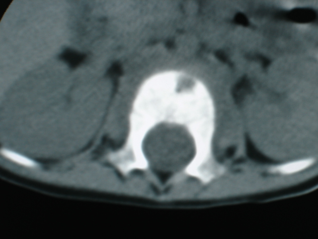
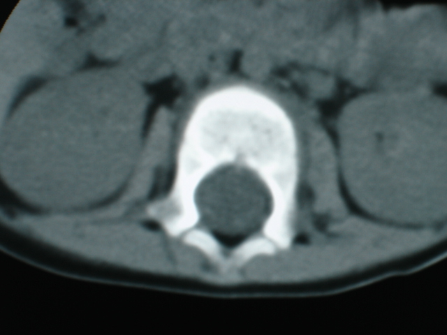
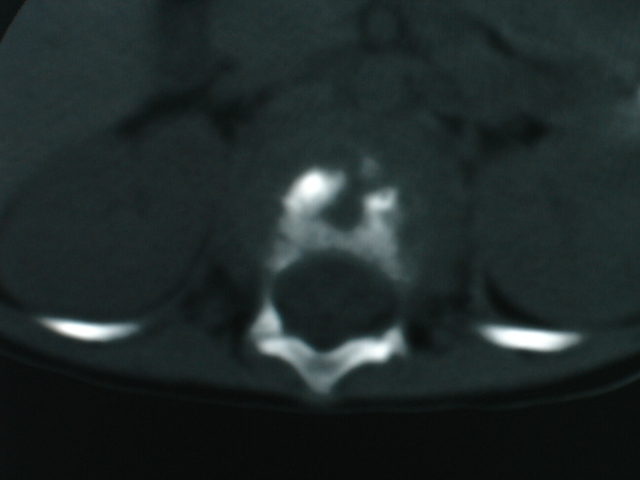
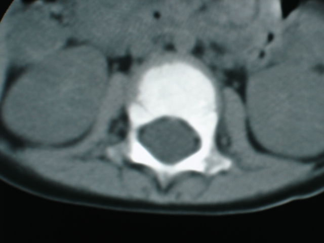
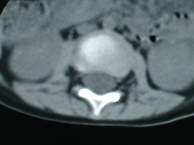
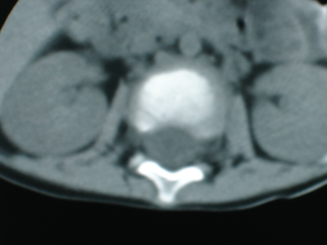
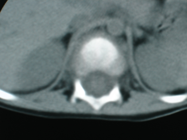
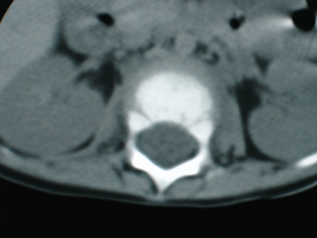
病人男性,一岁半.外伤后腰痛两天.外院x片报腰1压缩性骨折.追问病史,一年前曾有过持续高烧史.血常规及血沉结果未出.



























[本贴已被 jiajie 于 2007-3-5 20:22:22 修改过]

作者: YUHG    时间: 2007-3-6 01:12
结核,建议msct
作者: 狙击手    时间: 2007-3-6 01:16
椎体周围见类软组织密度影,椎体见虫蚀样破坏,考虑tb.性。
作者: ctkz987    时间: 2007-3-6 01:17
定位像及平片呢?看不到椎间隙及相邻椎体上下缘情况
作者: sunjianting    时间: 2007-3-6 01:23
椎体骨质破坏,椎体周围见软组织密度影.椎体结核
作者: 裴德医生    时间: 2007-3-6 01:29
支持楼上
作者: 天南地北    时间: 2007-3-6 01:46
标题: 回复:[原创]胸12及腰1椎体病变

作者: 3351277    时间: 2007-3-6 01:51
椎体破坏明显,周围软组织肿胀,椎间盘未见明显受累.结核
作者: zhanghua2086    时间: 2007-3-6 02:24
转移瘤
作者: syfszcw    时间: 2007-3-6 02:40
应该是比较典型的结核!
作者: 宝天曼    时间: 2007-3-6 02:49
椎体破坏明显,周围软组织肿胀,椎间盘未见明显受累.考虑结核
作者: qiuleiyu    时间: 2007-3-6 03:04
标题: 回复:[原创]胸12及腰1椎体病变
以下是引用宝天曼在2007-3-5 18:49:00的发言:[br]椎体破坏明显,周围软组织肿胀,椎间盘未见明显受累.考虑结核

作者: dyqct    时间: 2007-3-6 03:22
椎体结核合并冷脓肿形成。
作者: wqs571018    时间: 2007-3-6 03:28
影像学上支持结核,单一岁半的孩子一年前病史发烧,病理改变,是否太小了?
作者: 胡生启    时间: 2007-3-6 03:36
椎体破坏明显,周围软组织肿胀,椎间盘未见明显受累.考虑结核
作者: jone-baby    时间: 2007-3-6 03:48
椎体结核合并冷脓肿形成。(这么小孩腰椎结核还第一次见啊!)
作者: 同    时间: 2007-3-6 03:50
应该是比较典型的结核
作者: qinwei260    时间: 2007-3-6 04:05
典型的椎体结核!
作者: 拾荒者    时间: 2007-3-6 04:10
椎体破坏明显,周围软组织肿胀,椎间盘未见明显受累.考虑结核。病儿年龄太小,还须结合临床进一步检查确诊。
作者: fumaogui    时间: 2007-3-6 04:16
我本人也考虑椎体结核,但这么小的年龄的还是第一次见.这个小孩的父母不在家,父母是否有结核也不清楚.
作者: jinguoji    时间: 2007-3-6 04:35
椎体破坏明显,周围软组织肿胀,椎间盘未见明显受累.考虑椎体结核合并冷脓肿形成。
作者: xulianj    时间: 2007-3-6 04:56
应该考虑为结核吧。
作者: 山丹丹花    时间: 2007-3-6 06:05
注意淋巴瘤的可能.
作者: jiangjing    时间: 2007-3-6 07:28
体破坏明显,周围软组织肿胀,椎间盘未见明显受累.考虑椎体结核合并冷脓肿形成.注意排除嗜酸性肉芽肿
作者: mlxq3086    时间: 2007-3-6 16:00
同意结核
作者: jinning    时间: 2007-3-6 17:46
考虑椎体结核并冷脓肿形成,期待结果
作者: sjing    时间: 2007-3-6 17:57
支持椎体结核
作者: liaoqiang    时间: 2007-3-6 18:20
考虑椎体结核合并冷脓肿形成。
作者: 红樱枪    时间: 2007-3-7 00:52
支持结核
作者: zxczxc    时间: 2007-3-7 01:52
椎体骨质破坏及椎体周围软组织肿胀考虑椎体结核。




欢迎光临 医影在线 (http://bbs.radida.com/bbs/) Powered by Discuz! X3.2