





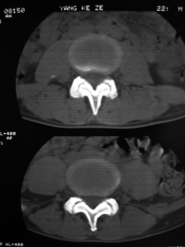
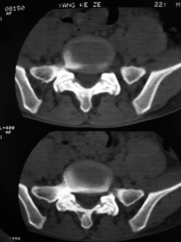
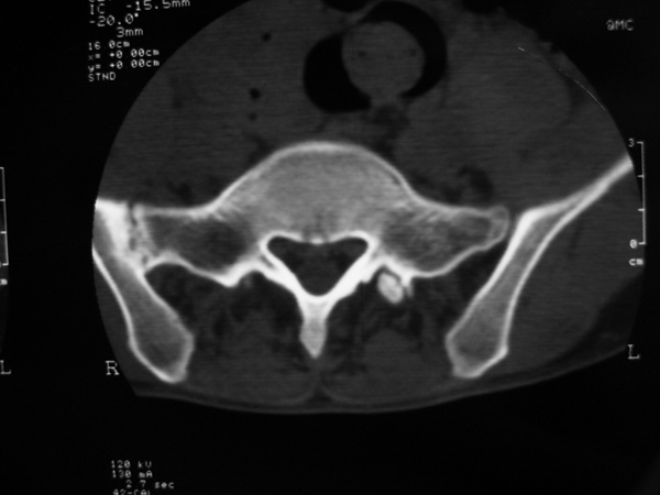
以下是引用w_jianhua在2007-3-8 11:14:00的发言:[br]椎小关节及右侧骶髂关节关节面毛糙,间隙不规则狭窄,骨皮质增生硬化,支持强直性脊柱炎,并椎间盘膨出
以下是引用fumaogui在2007-3-8 8:40:00的发言:[br]腰椎椎间关节增生硬化,关节间隙变窄,右侧骶髂关节间隙变窄,关节面硬化[br]考虑强直性脊柱炎.建议结合化验查:c--反应蛋白和类风湿因子.
| 欢迎光临 医影在线 (http://bbs.radida.com/bbs/) | Powered by Discuz! X3.2 |