医影在线

标题: CT7032:[讨论][分享]右下颌骨肿瘤。 [打印本页]

作者: ayi    时间: 2007-3-9 20:05
标题: CT7032:[讨论][分享]右下颌骨肿瘤。
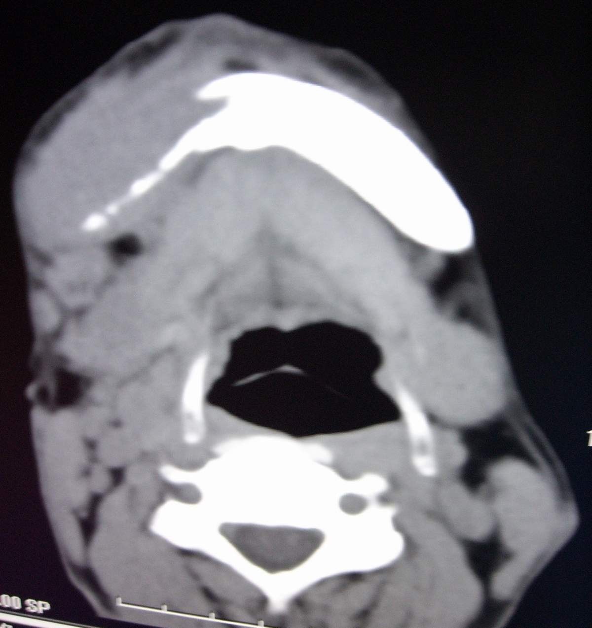
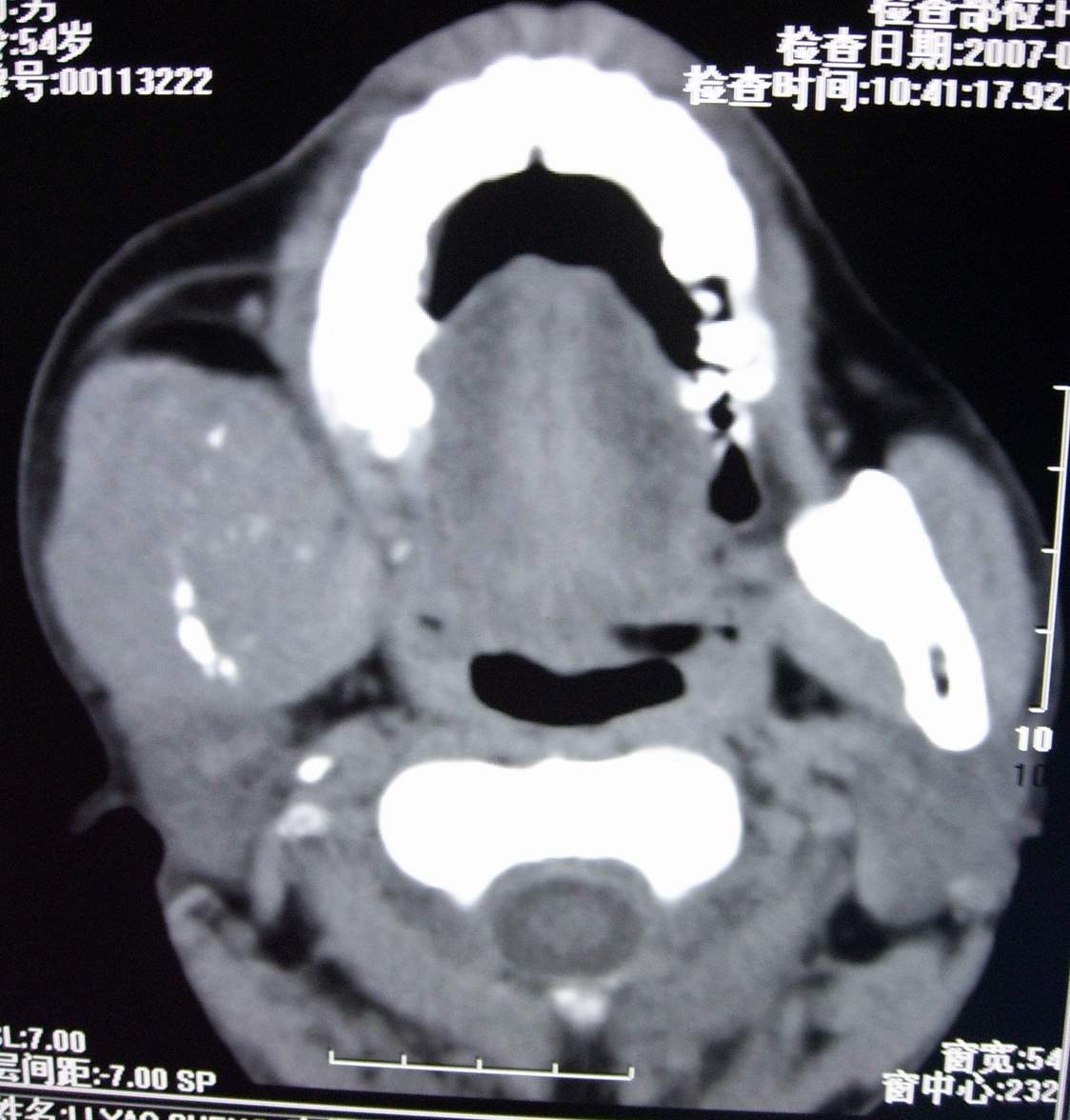
男,54岁,右下颌肿痛1月余。













[本贴已被 jiajie 于 2007-3-9 12:25:02 修改过]

作者: 天南地北    时间: 2007-3-9 20:50
考虑右下颌骨恶性肿瘤
1:转移瘤
2:右下颌骨原发肿瘤:1):恶性成釉细胞瘤或成釉细胞癌2:成釉细胞纤维肉瘤。
期待病理结果
作者: 宝天曼    时间: 2007-3-9 21:14
右下颌骨原发恶性肿瘤
建议做活检
作者: shuhuang2007    时间: 2007-3-9 21:27
右下颌骨溶骨性破坏,并见软组织形成。应考虑恶性肿瘤或转移瘤。
作者: zjzjr    时间: 2007-3-9 21:30
考虑右下颌骨转移瘤或原发恶性肿瘤,右颈部淋巴结转移.
作者: 卜一    时间: 2007-3-9 22:06
右下颌骨溶骨性破坏,并见软组织肿块。应考虑恶性肿瘤或转移瘤。
支持!
作者: jinning    时间: 2007-3-9 22:41
支持二楼
作者: dyqct    时间: 2007-3-9 22:46
右侧下颌骨水平部及升支呈溶骨性破坏,无明显膨胀,周围见软组织肿块。
考虑:右侧下颌骨恶性肿瘤或转移瘤。
作者: duguo    时间: 2007-3-10 00:53
恶性病变.
作者: qiuleiyu    时间: 2007-3-10 03:26
标题: 回复:ct7032:[讨论][分享]右下颌骨肿瘤。
以下是引用zjzjr在2007-3-9 13:30:00的发言:[br]考虑右下颌骨转移瘤或原发恶性肿瘤,右颈部淋巴结转移.

作者: zxczxc    时间: 2007-3-10 03:42
右下颌骨恶性骨肿瘤伴右颈部淋巴结转移。
作者: 求知若渴    时间: 2007-3-10 04:31
右下颌骨溶骨性破坏,并见软组织肿块。应考虑恶性肿瘤或转移瘤。
支持!
作者: 一片云    时间: 2007-3-10 05:52
考虑恶性肿瘤或转移瘤
作者: 拾荒者    时间: 2007-3-11 02:15
右下颌骨溶骨性破坏,代之以团块状软组织影,内有斑片状瘤骨,边缘骨质有少量骨膜反应,考虑:右下颌骨骨肉瘤。期待病理。
作者: jinguoji    时间: 2007-4-4 06:08
右下颌骨溶骨性破坏,并见软组织肿块。应考虑恶性肿瘤或转移瘤。




欢迎光临 医影在线 (http://bbs.radida.com/bbs/) Powered by Discuz! X3.2