医影在线
标题: CT7057:[讨论]胸CT [打印本页]
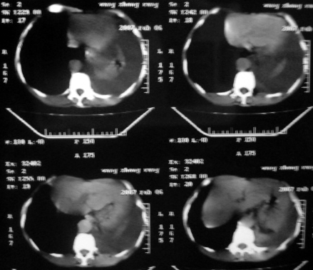
作者: liuzheng_9326 时间: 2007-3-10 22:22
标题: CT7057:[讨论]胸CT
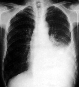
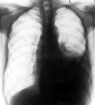
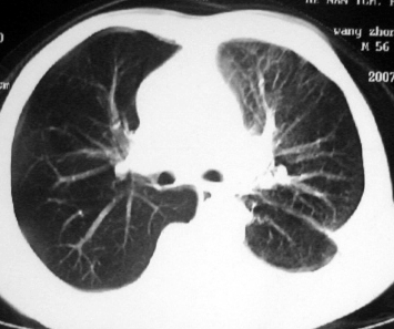
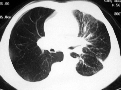
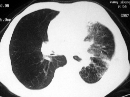
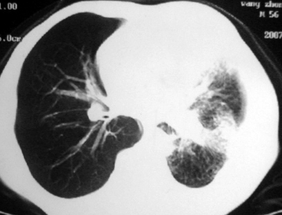
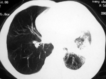
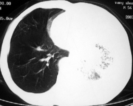
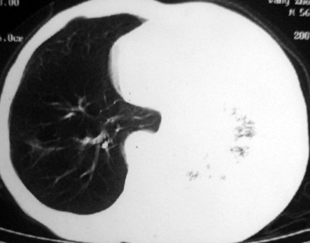
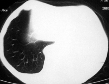
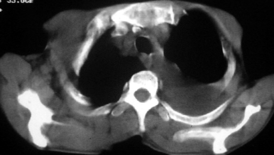
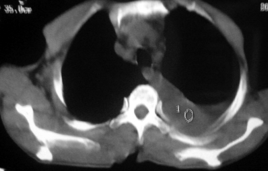
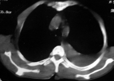
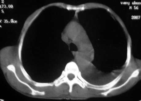
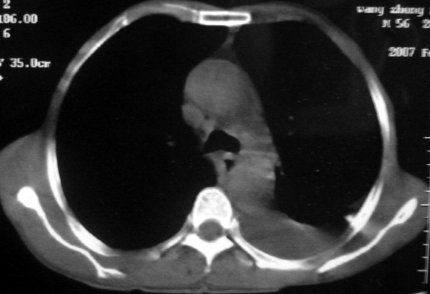
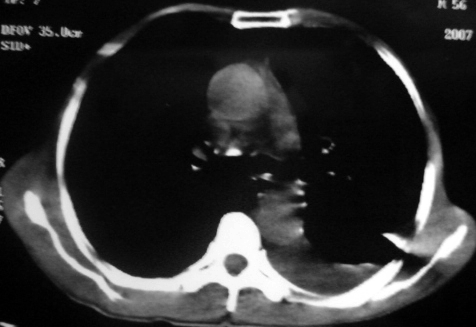
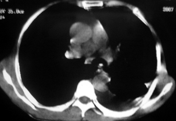
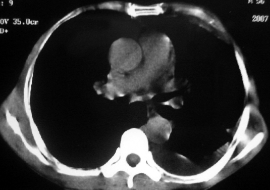
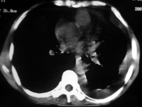
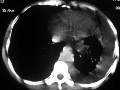
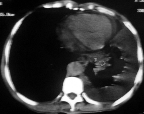
男,54岁,咳嗽,气喘半年,胸痛一月.







































血性胸水
[本贴已被 liuzheng_9326 于 2007-3-10 14:27:59 修改过]
[本贴已被 jiajie 于 2007-3-10 16:58:54 修改过]
作者: xizhong 时间: 2007-3-10 23:16
左侧胸腔积液 斜裂积液 心包积液 左肺不张 考虑左肺ca并胸膜心包转移。
作者: xulianj 时间: 2007-3-10 23:25
1左侧胸腔积液。2慢支肺气肿伴感染。3左下肺支气管肺癌?建议作纤支镜检查。
作者: dyqct 时间: 2007-3-10 23:25
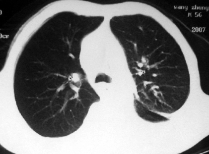
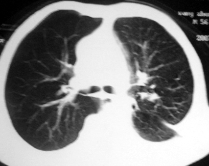
支持左肺下叶中心型肺癌(累及舌叶)伴阻塞性肺炎、膨胀不全、胸腔积液、心包少量积液。
作者: ailuanfei 时间: 2007-3-10 23:50
支持左肺下叶中心型肺癌(累及舌叶)伴阻塞性肺炎、膨胀不全、胸腔积液、心包少量积液
作者: 悟空 时间: 2007-3-11 00:14
考虑左肺下叶中央型肺癌伴阻塞性肺炎及肺不张,纵隔受累可能,胸膜转移。
作者: zjzjr 时间: 2007-3-11 00:42
支持左肺下叶中心型肺癌(累及舌叶)伴阻塞性肺炎、膨胀不全、胸腔积液、心包少量积液。
作者: jinning 时间: 2007-3-11 00:55
支持楼上
作者: duguo 时间: 2007-3-11 01:10
考虑左肺周围型肺癌伴胸膜转移.
作者: wqs571018 时间: 2007-3-11 02:44
左肺下叶中心型肺癌,伴阻塞性肺炎、左胸腔积液、心包少量积液。
作者: shiqingfa 时间: 2007-3-11 03:15
考虑左下叶中心型肺癌,伴阻塞性肺炎,左胸腔积液,心包积液,建议纤支镜检查
作者: jian-5587 时间: 2007-3-11 03:29
支持左肺下叶中心型肺癌(累及舌叶)伴阻塞性肺炎、膨胀不全、胸腔积液、心包少量积液
作者: w_jianhua 时间: 2007-3-11 03:33
支持左肺下叶中心型肺癌(累及舌叶)伴阻塞性肺炎、膨胀不全、胸腔积液、心包少量积液。
作者: zbx160 时间: 2007-3-11 03:40
支持左肺下叶中心型肺癌(累及舌叶)伴阻塞性肺炎、膨胀不全、胸腔积液、心包少量积液。
作者: 123zhangming 时间: 2007-3-11 03:44
左肺下叶中心型肺癌,伴阻塞性肺炎、左胸腔积液、心包少量积液.支持
作者: wnq 时间: 2007-3-11 04:03
1.左肺下叶中心性肺癌伴阻塞性肺炎,肺不张.
2.左侧胸腔积液,心包积液
作者: sjing 时间: 2007-3-11 04:22
标题: 回复:ct7057:[讨论]胸ct
以下是引用dyqct在2007-3-10 15:25:00的发言:[br]支持左肺下叶中心型肺癌(累及舌叶)伴阻塞性肺炎、膨胀不全、胸腔积液、心包少量积液。
作者: zhanghua2086 时间: 2007-3-11 04:26
水
作者: lcgyy030 时间: 2007-3-11 04:36
标题: 回复:ct7057:[讨论]胸ct
以下是引用dyqct在2007-3-10 15:25:00的发言:[br]支持左肺下叶中心型肺癌(累及舌叶)伴阻塞性肺炎、膨胀不全、胸腔积液、心包少量积液。
作者: 天南地北 时间: 2007-3-11 05:16
支持左肺下叶中心型肺癌(累及舌叶)伴阻塞性肺炎、膨胀不全、胸腔积液、心包少量积液。
作者: 求知若渴 时间: 2007-3-11 05:23
左肺下叶中心型肺癌,伴阻塞性肺炎、左胸腔积液、心包少量积液。
作者: 王守平 时间: 2007-3-11 06:27
左侧中心型肺癌并阻塞性肺炎、肺膨胀不全,左胸腔、心包积液
作者: 念羊经 时间: 2007-3-11 06:59
肺下叶中心型肺癌,伴阻塞性肺炎、左胸腔积液、心包少量积液。
作者: 红樱枪 时间: 2007-3-11 07:08
支持左肺下叶中心型肺癌(累及舌叶)伴阻塞性肺炎、膨胀不全、胸腔积液、心包少量积液。
作者: jw-830 时间: 2007-3-11 07:22
左肺下叶中心型肺癌并阻塞性肺炎左肺膨胀不全伴左侧胸腔积液
作者: sunxb1010 时间: 2007-3-11 07:22
胸膜间皮瘤可能
作者: 蜂儿 时间: 2007-3-11 07:44
支持左肺下叶中心型肺癌(累及舌叶)伴阻塞性肺炎、膨胀不全、胸腔积液、心包少量积液。
作者: 拾荒者 时间: 2007-3-12 03:15
支持:左肺下叶中心型肺癌伴阻塞性肺炎、膨胀不全、胸腔积液、心包少量积液。建议纤支镜检查。
作者: jinguoji 时间: 2007-4-3 19:11
支持左肺下叶中心型肺癌伴阻塞性肺炎、膨胀不全、胸腔积液、心包少量积液。
| 欢迎光临 医影在线 (http://bbs.radida.com/bbs/) |
Powered by Discuz! X3.2 |