医影在线

标题: PED0024:新生儿肝脏MR [打印本页]

作者: lzdyjg    时间: 2007-3-10 22:50
标题: PED0024:新生儿肝脏MR
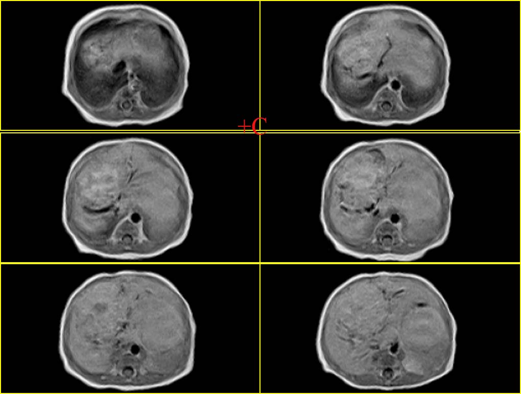
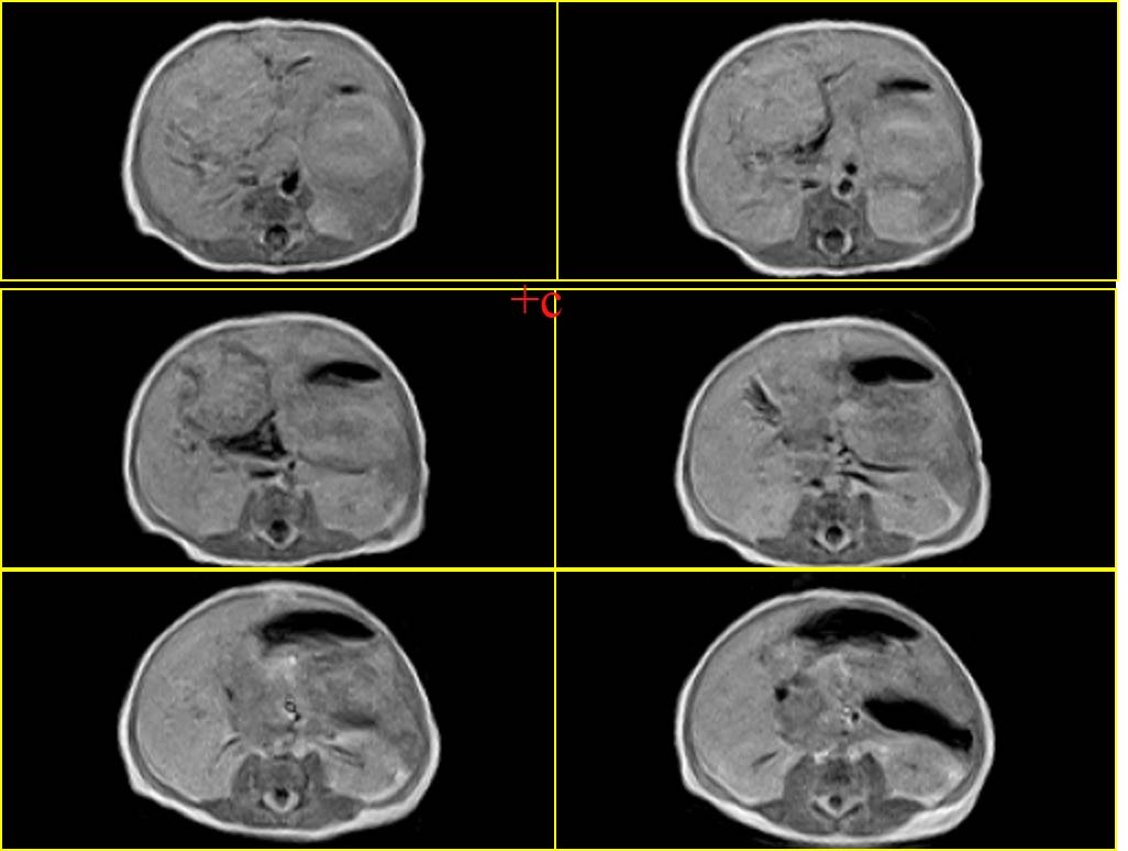
患者男性,3天.
因生育前b超发现肝脏占位,怀疑血管瘤而行mr检查.
请分析您的诊断是否与b超诊断相同?









[本贴已被 jiajie 于 2007-3-10 17:30:55 修改过]

作者: hkf506    时间: 2007-3-13 19:24
血管内皮瘤,建议补充临床资料,如血常规,尤其血小板情况,有无充血性心衰,主要与肝母鉴别.
作者: jinning    时间: 2007-3-17 06:19
考虑肝母




欢迎光临 医影在线 (http://bbs.radida.com/bbs/) Powered by Discuz! X3.2