

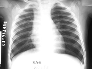
以下是引用听蝉观竹在2007-3-11 18:44:00的发言:[br]左侧支气管异物。[br][br]吸气时,由于异物活瓣式,双侧肺通气几乎相等,所以双肺透亮度一样,纵隔居中;呼气时,健侧呼气通畅,肺缩小,而患侧呼气受阻,肺部气体明显较健侧多,所以透亮度明显增强,呼气受阻非压力较健侧增高,所以纵隔向健侧移位,如果在透视下可以看到纵隔摆动。[br]
以下是引用听蝉观竹在2007-3-11 18:44:00的发言:[br]左侧支气管异物。[br][br]吸气时,由于异物活瓣式,双侧肺通气几乎相等,所以双肺透亮度一样,纵隔居中;呼气时,健侧呼气通畅,肺缩小,而患侧呼气受阻,肺部气体明显较健侧多,所以透亮度明显增强,呼气受阻非压力较健侧增高,所以纵隔向健侧移位,如果在透视下可以看到纵隔摆动。[br]
| 欢迎光临 医影在线 (http://bbs.radida.com/bbs/) | Powered by Discuz! X3.2 |