医影在线

标题: CT7125:中央性肺Ca. [打印本页]

作者: 青莲居士    时间: 2007-3-14 06:55
标题: CT7125:中央性肺Ca.



















[本贴已被 jiajie 于 2007-3-14 19:25:58 修改过]

作者: gyybzj    时间: 2007-3-14 07:01
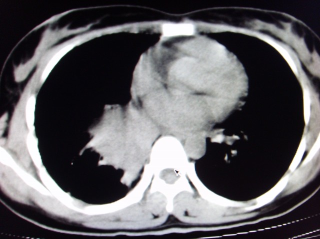
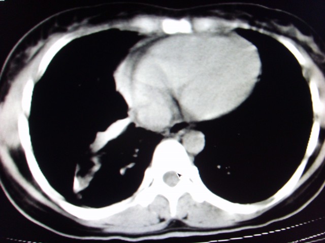
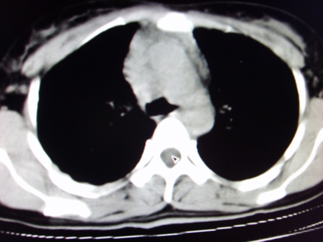
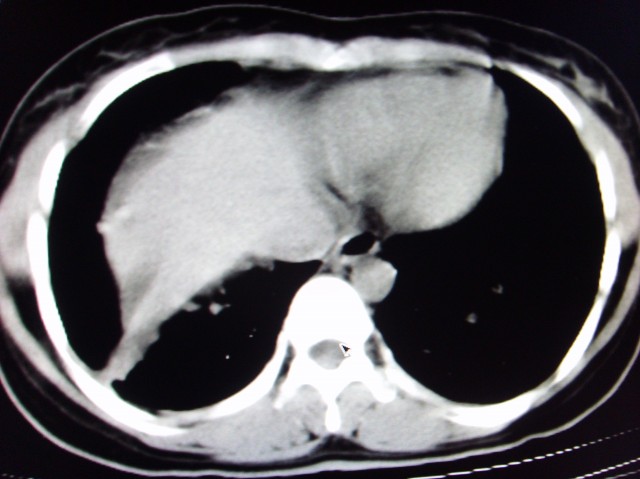
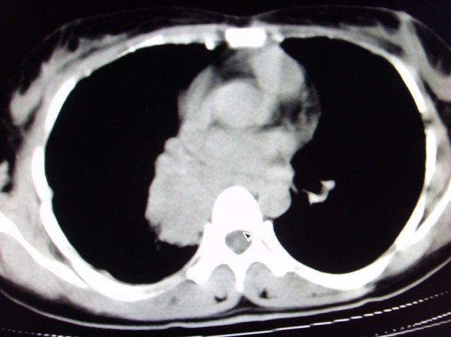
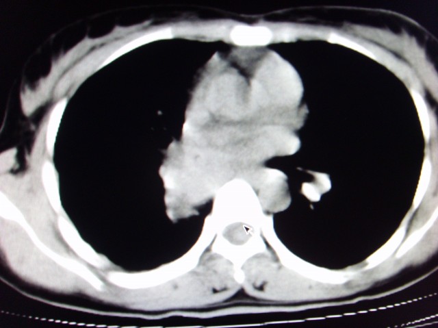
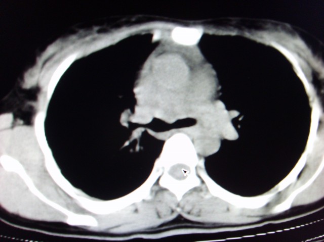
典型 中央型ca伴双肺、淋巴结转移
作者: zjzjr    时间: 2007-3-14 07:04
典型 中央型ca伴双肺、淋巴结转移
作者: 9876543210    时间: 2007-3-14 07:08
还有肺不张
作者: 天南地北    时间: 2007-3-14 07:09
典型 中央型ca伴双肺、淋巴结、胸膜转移
作者: liuyue    时间: 2007-3-14 09:19
右下中心型肺癌伴双肺转移、纵隔淋巴结转移,癌性淋巴管炎可能性大
作者: fanxuebin    时间: 2007-3-14 12:57
中央型肺癌伴阻塞性肺炎
作者: 宝天曼    时间: 2007-3-14 14:42
中央型肺癌伴阻塞性肺炎
作者: yytbzjw    时间: 2007-3-14 15:40
标题: 回复:中央性肺ca.
以下是引用zjzjr在2007-3-13 23:04:00的发言:[br]典型 中央型ca伴双肺、淋巴结转移

作者: kbzyycm    时间: 2007-3-14 16:18
典型 中央型ca伴双肺、淋巴结转移
作者: hhcckk    时间: 2007-3-14 16:40
支持楼主的中央型肺癌,肺内,纵隔内淋巴结转移
作者: zyx168    时间: 2007-3-14 16:45
典型 中央型ca伴双肺、淋巴结转移
作者: ctkz987    时间: 2007-3-14 16:47
标题: 回复:中央性肺ca.
典型 中央型ca伴双肺、淋巴结转移
作者: dyqct    时间: 2007-3-14 17:16
典型的中央型ca伴双肺、纵隔淋巴结转移.
作者: jinning    时间: 2007-3-14 19:36
支持楼上
作者: 文莱    时间: 2007-3-14 21:34
典型 中央型ca伴双肺、淋巴结转移
作者: 拾荒者    时间: 2007-3-15 04:26
支持楼主诊断:中央型肺癌,肺内,纵隔内淋巴结转移。
作者: 朱磊    时间: 2007-3-15 04:38
典型--右下中心型肺癌伴双肺转移、纵隔淋巴结转移,癌性淋巴管炎可能性大
作者: jinguoji    时间: 2007-4-3 07:11
中央型ca伴双肺、淋巴结转移
作者: 青莲居士    时间: 2007-8-30 06:53
谢谢大家的参与
我在找找ct申请单看看
因为是以前做的,所以记的不太清楚了
对不起!!!!!!!!!!!!!!!!!!!!!!!!!
作者: 夏春秋    时间: 2007-8-30 08:21
中心型肺癌伴双肺转移及纵隔淋巴结转移,癌性淋巴管炎
作者: 巴黎世家    时间: 2007-8-30 10:21
经典病历,肿块。肺内转移、淋巴结转移。胸膜仗义
作者: gf83804008    时间: 2007-9-3 04:08
典型的中央型ca,肿快和肺门分界不清,肿快边界模糊,呈毛刺状。伴淋巴结转移。
作者: 雪山飞狐    时间: 2007-9-3 05:38
首先考虑中央型肺癌伴阻塞性肺炎双肺、淋巴结转移,可以正规抗炎治疗一周后复查




欢迎光临 医影在线 (http://bbs.radida.com/bbs/) Powered by Discuz! X3.2