医影在线

标题: PED0031:[原创]脑挫伤 [打印本页]

作者: ojh114    时间: 2007-3-15 04:55
标题: PED0031:[原创]脑挫伤
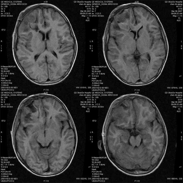
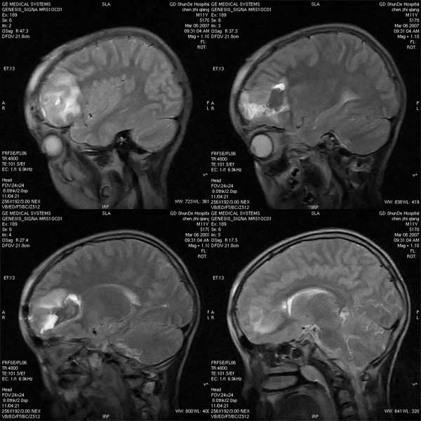
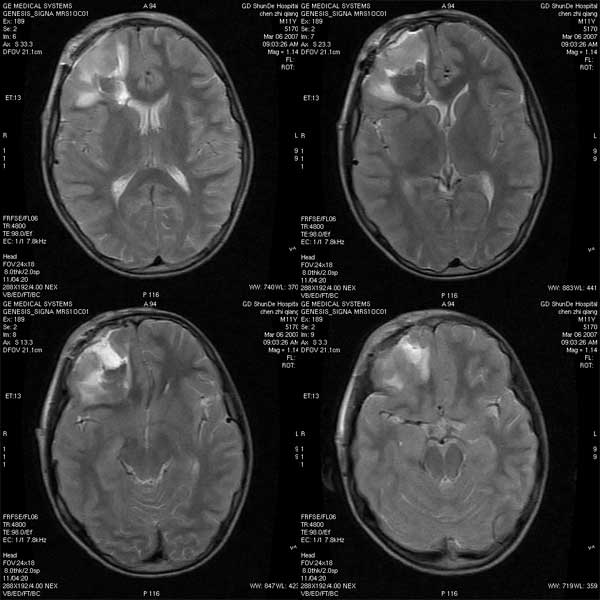
性别:m
年龄:11
病历摘要:右颞开放性颅脑损伤治疗后复查






[本贴已被 jiajie 于 2007-3-14 21:01:04 修改过]

作者: zyx168    时间: 2007-3-16 19:20
支持楼主意见
作者: jinning    时间: 2007-3-17 01:31
支持
作者: jinguoji    时间: 2007-3-18 06:35
支持楼主意见
作者: shiqingfa    时间: 2007-3-20 02:55
支持楼主意见
作者: yuhongjun    时间: 2010-11-7 06:36
支持楼主意见




欢迎光临 医影在线 (http://bbs.radida.com/bbs/) Powered by Discuz! X3.2